9 căn bệnh di truyền thường gặp ở người

9 căn bệnh di truyền thường gặp ở người

Bài viết này đề cập đến các bệnh và tật di truyền ở người, các bệnh mang tính chất di truyền từ thế hệ trước sang thế hệ sau.

 Bệnh di truyền là gì? Bệnh di truyền hay cụ thể hơn là các bệnh di truyền ở người xảy ra do nguyên nhân từ những bất thường về gen hoặc nhiễm sắc thể. Bệnh di truyền là những bệnh do bố mẹ truyền sang cho con cái do những bất thường về gen. Bệnh về nhiễm sắc thể (NST) là bệnh được gây ra do mất NST, bất thường hoặc thừa NST.
Bệnh di truyền là gì? Bệnh di truyền hay cụ thể hơn là các bệnh di truyền ở người xảy ra do nguyên nhân từ những bất thường về gen hoặc nhiễm sắc thể. Bệnh di truyền là những bệnh do bố mẹ truyền sang cho con cái do những bất thường về gen. Bệnh về nhiễm sắc thể (NST) là bệnh được gây ra do mất NST, bất thường hoặc thừa NST.
1. Bệnh mù màu: Bệnh rối loạn sắc giác hay loạn sắc giác thường được gọi là bệnh mù màu. Đây là căn bệnh có nguyên nhân chủ yếu là di truyền. Bệnh nhân không thể phân biệt được màu sắc, có thể là không phân biệt được màu đỏ, xanh hoặc không biệt được tất cả màu sắc.
1. Bệnh mù màu: Bệnh rối loạn sắc giác hay loạn sắc giác thường được gọi là bệnh mù màu. Đây là căn bệnh có nguyên nhân chủ yếu là di truyền. Bệnh nhân không thể phân biệt được màu sắc, có thể là không phân biệt được màu đỏ, xanh hoặc không biệt được tất cả màu sắc.
2. Bệnh tan máu huyết tán Thalassemia: Là một trong những căn bệnh di truyền ở người, liên quan đến máu và có thể gây ra các biến chứng nguy hiểm cho người bệnh. Nguyên nhân gây ra căn bệnh này là do các gen lặn ở bố và mẹ, nếu cả bố mẹ đều mang gen bệnh thì 75% trẻ sinh ra bị mắc bệnh này. Bệnh kéo dài đến suốt cuộc đời bệnh nhân và họ sẽ phải truyền máu cả đời. Một số triệu chứng của bệnh như là thiếu máu thường xuyên và thừa sắt. Nếu ở thể bệnh nặng, trẻ thường tử vong sau khi sinh khoảng 4 tháng.
2. Bệnh tan máu huyết tán Thalassemia: Là một trong những căn bệnh di truyền ở người, liên quan đến máu và có thể gây ra các biến chứng nguy hiểm cho người bệnh. Nguyên nhân gây ra căn bệnh này là do các gen lặn ở bố và mẹ, nếu cả bố mẹ đều mang gen bệnh thì 75% trẻ sinh ra bị mắc bệnh này. Bệnh kéo dài đến suốt cuộc đời bệnh nhân và họ sẽ phải truyền máu cả đời. Một số triệu chứng của bệnh như là thiếu máu thường xuyên và thừa sắt. Nếu ở thể bệnh nặng, trẻ thường tử vong sau khi sinh khoảng 4 tháng.
3. Hội chứng Down (tên tiếng Anh là Down Syndrome) là một rối loạn về di truyền xảy ra khi sự phân chia tế bào bất thường dẫn đến việc có thêm một hoặc một phần bản sao của nhiễm sắc thể số 21. Vật chất di truyền tăng thêm này gây ra những thay đổi trong sự phát triển và biểu hiện về thể chất của hội chứng Down.
3. Hội chứng Down (tên tiếng Anh là Down Syndrome) là một rối loạn về di truyền xảy ra khi sự phân chia tế bào bất thường dẫn đến việc có thêm một hoặc một phần bản sao của nhiễm sắc thể số 21. Vật chất di truyền tăng thêm này gây ra những thay đổi trong sự phát triển và biểu hiện về thể chất của hội chứng Down.
4. Bệnh máu khó đông di truyền (Hemophilie A): Đây là một trong những bệnh có tính di truyền liên quan đến nhiễm sắc thể giới tính X do gen sản xuất ra yếu tố đông máu chỉ nằm trên nhiễm sắc thể này. Vì thế, bé trai (bộ sắc thể XY) khi nhận sắc thể X bị bệnh từ mẹ thì chắc chắn sẽ có biểu hiện bệnh. Còn đối với bé gái (bộ nhiễm sắc thể XX) chỉ biểu hiện thành bệnh khi cả hai bố mẹ đều có nhiễm sắc thể mang gen bệnh.
4. Bệnh máu khó đông di truyền (Hemophilie A): Đây là một trong những bệnh có tính di truyền liên quan đến nhiễm sắc thể giới tính X do gen sản xuất ra yếu tố đông máu chỉ nằm trên nhiễm sắc thể này. Vì thế, bé trai (bộ sắc thể XY) khi nhận sắc thể X bị bệnh từ mẹ thì chắc chắn sẽ có biểu hiện bệnh. Còn đối với bé gái (bộ nhiễm sắc thể XX) chỉ biểu hiện thành bệnh khi cả hai bố mẹ đều có nhiễm sắc thể mang gen bệnh.
5. Tật di truyền có túm lông ở tai và dính ngón tay 2, 3: Đây là một dạng tật di truyền ở người, do đột biến gen trên nhiễm sắc thể Y gây ra tật này, nên hai tật chỉ có thể gặp ở nam giới. Người bố có tật này thì chắc chắn sinh ra con trai cũng sẽ bị tật giống như bố.
5. Tật di truyền có túm lông ở tai và dính ngón tay 2, 3: Đây là một dạng tật di truyền ở người, do đột biến gen trên nhiễm sắc thể Y gây ra tật này, nên hai tật chỉ có thể gặp ở nam giới. Người bố có tật này thì chắc chắn sinh ra con trai cũng sẽ bị tật giống như bố.
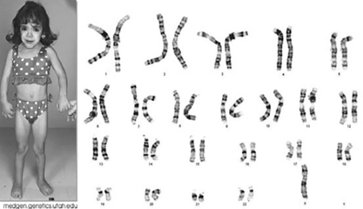
6. Hội chứng Turner: Nguyên nhân bệnh được phát hiện là do mất một phần hoặc toàn bộ một nhiễm sắc thể (NST) giới tính X trong bộ gen người. Đây là rối loạn NST giới tính thường gặp nhất ở nữ, gây rối loạn phát triển thể chất và tâm thần. Người bị HC Turner thường có các đặc điểm như vóc dáng nhỏ, suy buồng trứng, nếp da dầy ở gáy, dị tật bẩm sinh tim, khiếm thính nhẹ...
6. Hội chứng Turner: Nguyên nhân bệnh được phát hiện là do mất một phần hoặc toàn bộ một nhiễm sắc thể (NST) giới tính X trong bộ gen người. Đây là rối loạn NST giới tính thường gặp nhất ở nữ, gây rối loạn phát triển thể chất và tâm thần. Người bị HC Turner thường có các đặc điểm như vóc dáng nhỏ, suy buồng trứng, nếp da dầy ở gáy, dị tật bẩm sinh tim, khiếm thính nhẹ...
7. Hội chứng Edward (tam thể 18): Đây cũng là một dị tật bẩm sinh nặng gây sẩy thai, chết sau sinh. Rất ít trẻ mắc hội chứng Edward sống quá một tuổi. Dị tật bẩm sinh về tim, đầu nhỏ, thoát vị rốn rất hay gặp, trí tuệ và vận động đếu rất kém phát triển. Nếu sống sót, trẻ mắc hội chứng tam thể 18 cũng không có khả năng đi lại, nói, do đó phụ thuộc hoàn toàn vào sự chăm sóc của người khác.
7. Hội chứng Edward (tam thể 18): Đây cũng là một dị tật bẩm sinh nặng gây sẩy thai, chết sau sinh. Rất ít trẻ mắc hội chứng Edward sống quá một tuổi. Dị tật bẩm sinh về tim, đầu nhỏ, thoát vị rốn rất hay gặp, trí tuệ và vận động đếu rất kém phát triển. Nếu sống sót, trẻ mắc hội chứng tam thể 18 cũng không có khả năng đi lại, nói, do đó phụ thuộc hoàn toàn vào sự chăm sóc của người khác.
8. Bệnh tim: Các căn bệnh về tim mạch hiện nay đang dẫn đầu về nguyên nhân gây tử vong ở phụ nữ. Nguy hiểm hơn, bệnh tim mạch còn được chứng minh có nguy cơ di truyền qua thế hệ rất cao. Hãy cân nhắc các biện pháp giảm thiểu nguy cơ ngay từ khi còn trẻ, bao gồm cả việc duy trì thói quen sống lành mạnh, đồng thời thường xuyên khám sức khỏe tim mạch để kiểm tra tình trạng bản thân.
8. Bệnh tim: Các căn bệnh về tim mạch hiện nay đang dẫn đầu về nguyên nhân gây tử vong ở phụ nữ. Nguy hiểm hơn, bệnh tim mạch còn được chứng minh có nguy cơ di truyền qua thế hệ rất cao. Hãy cân nhắc các biện pháp giảm thiểu nguy cơ ngay từ khi còn trẻ, bao gồm cả việc duy trì thói quen sống lành mạnh, đồng thời thường xuyên khám sức khỏe tim mạch để kiểm tra tình trạng bản thân.
9. Hội chứng nhiễm sắc thể X dễ gãy: Hội chứng nhiễm sắc thể X dễ gây ra các khuyết tật tâm thần di truyền và ảnh hưởng đến những người có testosterone cao và suy giảm buồng trứng sơ cấp. Hội chứng này gây ra một loạt các vấn đề phát triển, bao gồm suy giảm nhận thức và khuyết tật trí tuệ ở trẻ em.
9. Hội chứng nhiễm sắc thể X dễ gãy: Hội chứng nhiễm sắc thể X dễ gây ra các khuyết tật tâm thần di truyền và ảnh hưởng đến những người có testosterone cao và suy giảm buồng trứng sơ cấp. Hội chứng này gây ra một loạt các vấn đề phát triển, bao gồm suy giảm nhận thức và khuyết tật trí tuệ ở trẻ em.

GALLERY MỚI NHẤT

Diễn viên Thương Tín qua đời ở tuổi 69

Diễn viên Thương Tín qua đời ở tuổi 69

Diễn viên Thương Tín qua đời vào ngày 8/12 tại nhà riêng ở Khánh Hòa. Ông ra đi ở tuổi 69. Ông để lại dấu ấn sâu đậm qua hàng trăm vai diễn trong lịch sử điện ảnh Việt Nam.