7 sự thật gây sốc về ung thư não

7 sự thật gây sốc về ung thư não

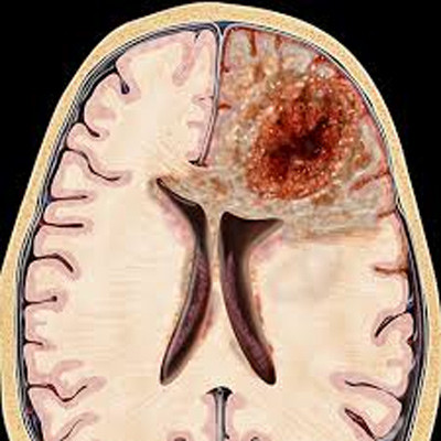
(Kiến Thức) -  Bệnh ung thư não Gliobalastoma là loại ung thư nguy hiểm nhất từng ghi nhận. Các khối u não không thể cắt bỏ và bệnh nhân có thể chết trong vòng 2 năm.

Dấu hiệu thông thường cũng có thể là triệu chứng của ung thư não. Các dấu hiệu phổ biến như đau đầu, đặc biệt là đau đầu vào buổi sáng, động kinh, tay chân yếu...Những triệu chứng này có thể do u não gây ra nhưng cũng có thể do các bệnh khác gây ra. Chỉ có bác sĩ mởi có thể đưa ra chẩn đoán.
Dấu hiệu thông thường cũng có thể là triệu chứng của ung thư não. Các dấu hiệu phổ biến như đau đầu, đặc biệt là đau đầu vào buổi sáng, động kinh, tay chân yếu...Những triệu chứng này có thể do u não gây ra nhưng cũng có thể do các bệnh khác gây ra. Chỉ có bác sĩ mởi có thể đưa ra chẩn đoán.
Ung thư não thứ cấp. Đây là dạng phổ biến nhất của ung thư não. Trong ung thư não thứ cấp, tế bào ung thư lây lan từ bất kỳ phần nào của cơ thể lên não.
Ung thư não thứ cấp. Đây là dạng phổ biến nhất của ung thư não. Trong ung thư não thứ cấp, tế bào ung thư lây lan từ bất kỳ phần nào của cơ thể lên não.
Bệnh ung thư não phổ biến thứ hai là Gliobalastoma, mà phổ biến nhất là ung thư não nguyên phát. Gliobalastoma là căn bệnh ung thư não nguy hiểm nhất từ trước tới nay mà các nhà khoa học đã ghi nhận được.
Bệnh ung thư não phổ biến thứ hai là Gliobalastoma, mà phổ biến nhất là ung thư não nguyên phát. Gliobalastoma là căn bệnh ung thư não nguy hiểm nhất từ trước tới nay mà các nhà khoa học đã ghi nhận được.
Glioblastoma tấn công vào bộ não vốn đang khỏe mạnh của con người và tạo ra các khối u không thể cắt bỏ khiến cho bệnh nhân có thể tử vong trong vòng 2 năm kể từ khi mắc bệnh.
Glioblastoma tấn công vào bộ não vốn đang khỏe mạnh của con người và tạo ra các khối u không thể cắt bỏ khiến cho bệnh nhân có thể tử vong trong vòng 2 năm kể từ khi mắc bệnh.
Hiến tặng nội tạng. Nếu là ung thư não nguyên phát, thì người bệnh có thể hiến tặng các cơ quan khác, còn nếu là bệnh ung thư não thứ cấp, bệnh nhân không thể hiến tặng các cơ quan cơ thể.
Hiến tặng nội tạng. Nếu là ung thư não nguyên phát, thì người bệnh có thể hiến tặng các cơ quan khác, còn nếu là bệnh ung thư não thứ cấp, bệnh nhân không thể hiến tặng các cơ quan cơ thể.
Đau đầu kinh niên. Đau nhức đầu là một trong những triệu chứng của u não. Nhưng quan trọng nhất lại là cường độ đau và tần số đau đầu. Nhức đầu vào buổi sáng sớm là một trong những triệu chứng đặc trưng của bệnh này.
Đau đầu kinh niên. Đau nhức đầu là một trong những triệu chứng của u não. Nhưng quan trọng nhất lại là cường độ đau và tần số đau đầu. Nhức đầu vào buổi sáng sớm là một trong những triệu chứng đặc trưng của bệnh này.
Tiếp xúc với bức xạ được xem là một trong những nguyên nhân hàng đầu gây bệnh ung thư não.
Tiếp xúc với bức xạ được xem là một trong những nguyên nhân hàng đầu gây bệnh ung thư não.
Tiền sử gia đình. Tiền sử bệnh tật của gia đình cũng đóng một vai trò quan trọng, có tính quyết định trong bệnh ung thư não. Nếu bất kỳ thành viên nào trong gia đình bạn bị u não hoặc ung thư, bạn nên tiến hành tầm soát ung thư thường xuyên.
Tiền sử gia đình. Tiền sử bệnh tật của gia đình cũng đóng một vai trò quan trọng, có tính quyết định trong bệnh ung thư não. Nếu bất kỳ thành viên nào trong gia đình bạn bị u não hoặc ung thư, bạn nên tiến hành tầm soát ung thư thường xuyên.

GALLERY MỚI NHẤT

Hàng nghìn người hưởng ứng “Hành động Xanh - Chọn tương lai Xanh”

Hàng nghìn người hưởng ứng “Hành động Xanh - Chọn tương lai Xanh”

Sáng 4/4, hàng nghìn người dân và thanh niên trên khắp cả nước cùng tham gia hoạt động dọn dẹp vệ sinh khu phố và thu gom đồ dùng cũ, hưởng ứng lời kêu gọi “Hành động Xanh - Chọn tương lai Xanh” do Quỹ Vì Tương lai xanh do Tập đoàn Vingroup phát động. Đây là một trong những hoạt động tiêu biểu mở màn cho chuỗi chiến dịch “Thứ 4 Ngày Xanh” được Quỹ triển khai xuyên suốt năm 2026 với thông điệp “Hành động Xanh - Chọn tương lai Xanh”.