Sự thật điếng người xác ướp nam "mang thai 7 tháng": Chuyên gia đã nhầm!

Sự thật điếng người xác ướp nam "mang thai 7 tháng": Chuyên gia đã nhầm!

Các nhà khảo cổ Ba Lan phát hiện một xác ướp Ai Cập bị nhầm giới tính. Trong nhiều năm, thi hài được cho là của nam giới nhưng thực chất là xác ướp thai phụ.

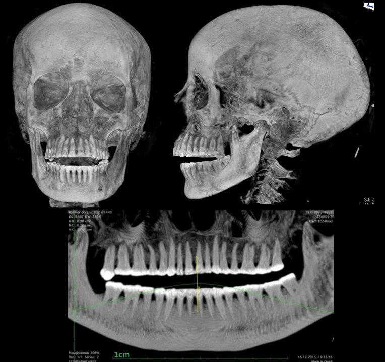
Sau khi chụp X-quang và thực hiện một số xét nghiệm, các nhà khảo cổ Ba Lan phát hiện bí mật "động trời" về một xác ướp Ai Cập cổ đại. Trong suốt nhiều năm, thi hài được biết đến là của một thầy tu nam giới. Tuy nhiên, kết quả kiểm tra mới đây cho thấy đó là một xác ướp thai phụ.
Sau khi chụp X-quang và thực hiện một số xét nghiệm, các nhà khảo cổ Ba Lan phát hiện bí mật "động trời" về một xác ướp Ai Cập cổ đại. Trong suốt nhiều năm, thi hài được biết đến là của một thầy tu nam giới. Tuy nhiên, kết quả kiểm tra mới đây cho thấy đó là một xác ướp thai phụ.
Cụ thể, các chuyên gia cho hay xác ướp là của một phụ nữ đang mang thai 7 tháng. Với phát hiện này, đây là xác ướp thai phụ đầu tiên trên thế giới được bảo quản rất tốt.
Cụ thể, các chuyên gia cho hay xác ướp là của một phụ nữ đang mang thai 7 tháng. Với phát hiện này, đây là xác ướp thai phụ đầu tiên trên thế giới được bảo quản rất tốt.
Theo các chuyên gia, xác ướp Ai Cập được đưa đến Warsaw, Ba Lan vào năm 1826. Dòng chữ trên quan tài có khắc tên một thầy tu nam giới. Chính vì vậy, trong suốt nhiều năm, xác ướp bên trong quan tài được cho là của một người đàn ông.
Theo các chuyên gia, xác ướp Ai Cập được đưa đến Warsaw, Ba Lan vào năm 1826. Dòng chữ trên quan tài có khắc tên một thầy tu nam giới. Chính vì vậy, trong suốt nhiều năm, xác ướp bên trong quan tài được cho là của một người đàn ông.
Nhà nhân chủng học và khảo cổ học Marzena Ozarek-Szilke chia sẻ về phát hiện mới: “Điều ngạc nhiên đầu tiên của chúng tôi là xác ướp không có dương vật mà thay vào đó xác ướp có ngực và tóc dài".
Nhà nhân chủng học và khảo cổ học Marzena Ozarek-Szilke chia sẻ về phát hiện mới: “Điều ngạc nhiên đầu tiên của chúng tôi là xác ướp không có dương vật mà thay vào đó xác ướp có ngực và tóc dài".
Tiếp đến, nhóm chuyên gia không khỏi bất ngờ khi phát hiện có hai bàn chân, bàn tay nhỏ bé của bào thai. Từ đó, họ bàng hoàng nhận ra xác ướp bị nhầm giới tính suốt nhiều thập kỷ.
Tiếp đến, nhóm chuyên gia không khỏi bất ngờ khi phát hiện có hai bàn chân, bàn tay nhỏ bé của bào thai. Từ đó, họ bàng hoàng nhận ra xác ướp bị nhầm giới tính suốt nhiều thập kỷ.
Kết quả các kiểm tra cho thấy xác ướp này thuộc về một phụ nữ qua đời khi khoảng 20 - 30 tuổi. Kích thước hộp sọ của bào thai cho thấy người này đang mang thai từ 26 - 28 tuần. Người phụ nữ mang thai có mái tóc xoăn dài đến vai. Việc tìm thấy xác ướp phụ nữ mang thai hứa hẹn sẽ giúp giới khoa học nghiên cứu quá trình mang thai và nghi thức mai táng liên quan đến nhóm đối tượng này.
Kết quả các kiểm tra cho thấy xác ướp này thuộc về một phụ nữ qua đời khi khoảng 20 - 30 tuổi. Kích thước hộp sọ của bào thai cho thấy người này đang mang thai từ 26 - 28 tuần. Người phụ nữ mang thai có mái tóc xoăn dài đến vai. Việc tìm thấy xác ướp phụ nữ mang thai hứa hẹn sẽ giúp giới khoa học nghiên cứu quá trình mang thai và nghi thức mai táng liên quan đến nhóm đối tượng này.
“Chúng tôi không biết tại sao thai nhi không được đưa ra khỏi bụng người mẹ trong quá trình ướp xác", chuyên gia Wojciech Ejsmond là một trong những thành viên thuộc nhóm nghiên cứu cho biết.
“Chúng tôi không biết tại sao thai nhi không được đưa ra khỏi bụng người mẹ trong quá trình ướp xác", chuyên gia Wojciech Ejsmond là một trong những thành viên thuộc nhóm nghiên cứu cho biết.
Theo các chuyên gia, việc làm trên khiến xác ướp trở nên độc đáo. Họ chưa ghi nhận bất kỳ trường hợp tương tự nào. Điều này có nghĩa là xác ướp thai phụ trên là thi hài duy nhất được ướp xác với bào thai nguyên vẹn trong cơ thể người mẹ sau khi bà qua đời.
Theo các chuyên gia, việc làm trên khiến xác ướp trở nên độc đáo. Họ chưa ghi nhận bất kỳ trường hợp tương tự nào. Điều này có nghĩa là xác ướp thai phụ trên là thi hài duy nhất được ướp xác với bào thai nguyên vẹn trong cơ thể người mẹ sau khi bà qua đời.
Dựa trên phân tích các chữ tượng hình trên quan tài, xác ướp ban đầu được cho là của một thầy tu nam giới sống từ thế kỷ 1 trước Công nguyên đến thế kỷ 1 sau Công nguyên. Tuy nhiên, với phát hiện mới cho thấy xác ướp thuộc về một thai phụ, nhóm nghiên cứu tin rằng, người này có thể qua đời từ trước đó rất lâu.
Dựa trên phân tích các chữ tượng hình trên quan tài, xác ướp ban đầu được cho là của một thầy tu nam giới sống từ thế kỷ 1 trước Công nguyên đến thế kỷ 1 sau Công nguyên. Tuy nhiên, với phát hiện mới cho thấy xác ướp thuộc về một thai phụ, nhóm nghiên cứu tin rằng, người này có thể qua đời từ trước đó rất lâu.
Để tìm ra câu trả lời chính xác về nguyên nhân tử vong của thai phụ trên và những bí ẩn khác, các chuyên gia sẽ cần thêm thời gian.
Để tìm ra câu trả lời chính xác về nguyên nhân tử vong của thai phụ trên và những bí ẩn khác, các chuyên gia sẽ cần thêm thời gian.
Mời độc giả xem video: Ai Cập phát hiện thêm kho báu cổ đại với hơn 100 quan tài chứa xác ướp 2.500 năm. Nguồn: VTV24.

GALLERY MỚI NHẤT

Cận cảnh công trình hồ điều hòa Cự Khối gần 1.000 tỷ ở Long Biên

Cận cảnh công trình hồ điều hòa Cự Khối gần 1.000 tỷ ở Long Biên

Dự án mương Việt Hưng - Cầu Bây và hồ điều hòa Cự Khối tại phường Long Biên đang được tăng tốc thi công với nhiều hạng mục đạt tiến độ tích cực. Khi hoàn thành, công trình sẽ góp phần giảm úng ngập, nâng cao năng lực tiêu thoát nước và cải thiện cảnh quan khu vực phía Đông Hà Nội.