Dấu hiệu buổi sáng cảnh báo ung thư phổi, khám ngay kẻo hối hận

Dấu hiệu buổi sáng cảnh báo ung thư phổi, khám ngay kẻo hối hận

Có dấu hiệu ung thư phổi, bạn nên đi khám. Việc phát hiện sớm sẽ ảnh hưởng đến hiệu quả điều trị bệnh.

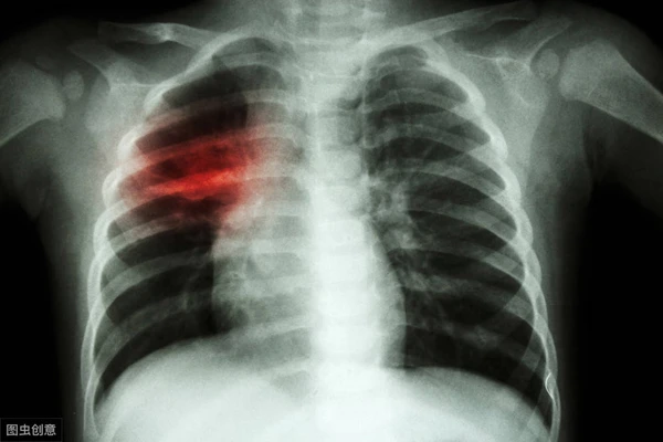
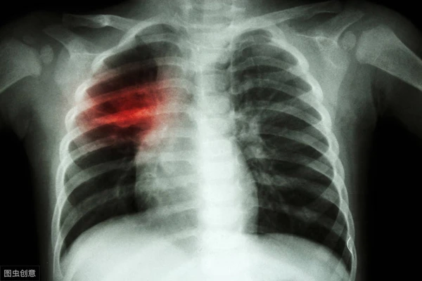
Anh Vương năm nay 43 tuổi nhưng có thời gian hút thuốc lá hơn 20 năm. Gần đây, Vương có triệu chứng tức ngực, khó thở - đặc biệt vào buổi sáng khi mới thức dậy. Kể với người nhà, anh được khuyên nên đến viện khám. Kết quả kiểm tra cho thấy, Vương mắc ung thư phổi giai đoạn cuối. (Ảnh: Sohu, minh họa)
Anh Vương năm nay 43 tuổi nhưng có thời gian hút thuốc lá hơn 20 năm. Gần đây, Vương có triệu chứng tức ngực, khó thở - đặc biệt vào buổi sáng khi mới thức dậy. Kể với người nhà, anh được khuyên nên đến viện khám. Kết quả kiểm tra cho thấy, Vương mắc ung thư phổi giai đoạn cuối. (Ảnh: Sohu, minh họa)
Nhận chẩn đoán của bác sĩ, người nhà đau đớn nhưng không quá bất ngờ. Bản thân Vương có thói quen hút thuốc lá lâu năm. Độ tuổi của Vương lúc này thuộc nhóm có nguy cơ cao mắc bệnh. Đồng thời, bệnh nhân cũng xuất hiện các triệu chứng của ung thư phổi như tức ngực, khó thở khá rõ rệt.
Nhận chẩn đoán của bác sĩ, người nhà đau đớn nhưng không quá bất ngờ. Bản thân Vương có thói quen hút thuốc lá lâu năm. Độ tuổi của Vương lúc này thuộc nhóm có nguy cơ cao mắc bệnh. Đồng thời, bệnh nhân cũng xuất hiện các triệu chứng của ung thư phổi như tức ngực, khó thở khá rõ rệt.
Điều khiến bệnh nhân tiếc nuối là không phát hiện bệnh sớm hơn. Thực tế, có sự khác biệt lớn về hiệu quả điều trị ung thư phổi giai đoạn đầu và giai đoạn cuối. Ung thư phổi giai đoạn đầu có hiệu quả điều trị tương đối tốt, đặc biệt ở những giai đoạn rất sớm như ung thư biểu mô tại chỗ hoặc ung thư biểu mô xâm lấn tối thiểu, hiệu quả chữa khỏi lên tới 100%.
Điều khiến bệnh nhân tiếc nuối là không phát hiện bệnh sớm hơn. Thực tế, có sự khác biệt lớn về hiệu quả điều trị ung thư phổi giai đoạn đầu và giai đoạn cuối. Ung thư phổi giai đoạn đầu có hiệu quả điều trị tương đối tốt, đặc biệt ở những giai đoạn rất sớm như ung thư biểu mô tại chỗ hoặc ung thư biểu mô xâm lấn tối thiểu, hiệu quả chữa khỏi lên tới 100%.
Trong khi đó, tỷ lệ chữa khỏi ung thư giai đoạn cuối không quá 10%. Do vậy, chú ý các dấu hiệu ung thư phổi giai đoạn sớm dưới đây có ý nghĩa rất quan trọng.
Trong khi đó, tỷ lệ chữa khỏi ung thư giai đoạn cuối không quá 10%. Do vậy, chú ý các dấu hiệu ung thư phổi giai đoạn sớm dưới đây có ý nghĩa rất quan trọng.
Tức ngực, khó thở khi thức dậy. Phổi đóng vai trò quan trọng trong hệ hô hấp. Khi phổi tổn thương sẽ xuất hiện các triệu chứng như tức ngực, khó thở. Với người hút thuốc lâu năm hoặc hút lượng lớn thuốc mỗi ngày, xuất hiện các dấu hiệu này buổi sáng đồng nghĩa với việc phổi đang “kêu cứu”, cần hết sức thận trọng.
Tức ngực, khó thở khi thức dậy. Phổi đóng vai trò quan trọng trong hệ hô hấp. Khi phổi tổn thương sẽ xuất hiện các triệu chứng như tức ngực, khó thở. Với người hút thuốc lâu năm hoặc hút lượng lớn thuốc mỗi ngày, xuất hiện các dấu hiệu này buổi sáng đồng nghĩa với việc phổi đang “kêu cứu”, cần hết sức thận trọng.
Đại tiện bất thường khi thức dậy. Nhiều người cảm thấy khó hiểu khi đại tiện bất thường liên quan ung thư phổi. Theo quan điểm của y học Trung Quốc, phổi và ruột già có liên quan mật thiết với nhau. Khi phổi có vấn đề sẽ gây ra một số triệu chứng về ruột già. Chẳng hạn, độc tố trong phổi quá nhiều có thể dẫn đến nhu động ruột già kém, táo bón. Thời điểm thức dậy buổi sáng, các triệu chứng sẽ rõ ràng hơn.
Đại tiện bất thường khi thức dậy. Nhiều người cảm thấy khó hiểu khi đại tiện bất thường liên quan ung thư phổi. Theo quan điểm của y học Trung Quốc, phổi và ruột già có liên quan mật thiết với nhau. Khi phổi có vấn đề sẽ gây ra một số triệu chứng về ruột già. Chẳng hạn, độc tố trong phổi quá nhiều có thể dẫn đến nhu động ruột già kém, táo bón. Thời điểm thức dậy buổi sáng, các triệu chứng sẽ rõ ràng hơn.
Da sạm khi thức dậy. Sức khỏe của làn da có liên hệ mật thiết với phổi. Cụ thể, phổi không khỏe dẫn đến tích tụ lượng lớn độc tố trong cơ thể, khiến da bị xỉn màu. Do vậy, nếu thấy da có dấu hiệu xỉn màu khi soi gương buổi sáng bạn nên cảnh giác các vấn đề về phổi.
Da sạm khi thức dậy. Sức khỏe của làn da có liên hệ mật thiết với phổi. Cụ thể, phổi không khỏe dẫn đến tích tụ lượng lớn độc tố trong cơ thể, khiến da bị xỉn màu. Do vậy, nếu thấy da có dấu hiệu xỉn màu khi soi gương buổi sáng bạn nên cảnh giác các vấn đề về phổi.
Để phổi khỏe mạnh, một điều rất quan trọng là cần hạn chế hút thuốc lá. Khói thuốc chứa hàng ngàn độc tố, có thể “uy hiếp” sức khỏe phổi.
Để phổi khỏe mạnh, một điều rất quan trọng là cần hạn chế hút thuốc lá. Khói thuốc chứa hàng ngàn độc tố, có thể “uy hiếp” sức khỏe phổi.
Bên cạnh đó, cần thường xuyên dưỡng ẩm, làm ấm và giải độc phổi bằng các chất có lợi. Chẳng hạn, tận dụng thực phẩm, đồ uống chứa nhiều thành phần ginsenosides. Đây là chất có hoạt tính chống ung thư mạnh, có thể ức chế tế bào ung thư hiệu quả.
Bên cạnh đó, cần thường xuyên dưỡng ẩm, làm ấm và giải độc phổi bằng các chất có lợi. Chẳng hạn, tận dụng thực phẩm, đồ uống chứa nhiều thành phần ginsenosides. Đây là chất có hoạt tính chống ung thư mạnh, có thể ức chế tế bào ung thư hiệu quả.
Tập hít thở sâu rất có lợi cho sức khỏe phổi. Những động tác hít vào thở ra sẽ giúp nâng cao dung tích phổi. Ngoài ra, thực hiện các bài tập aerobic chậm như đi bộ, Thái Cực Quyền cũng giúp tăng dung tích phổi, cải thiện chức năng phổi.
Tập hít thở sâu rất có lợi cho sức khỏe phổi. Những động tác hít vào thở ra sẽ giúp nâng cao dung tích phổi. Ngoài ra, thực hiện các bài tập aerobic chậm như đi bộ, Thái Cực Quyền cũng giúp tăng dung tích phổi, cải thiện chức năng phổi.
Cần giữ thái độ lạc quan, tránh căng thẳng quá mức. Căng thẳng là nguyên nhân hàng đầu gây suy giảm hệ miễn dịch. Theo nhà nghiên cứu miễn dịch học Kathleen Dass: “Khi căng thẳng, cơ thể sẽ tiết cortisol và adrenaline - loại hormone làm giảm mức độ tế bào lympho và phagocytes”.
Cần giữ thái độ lạc quan, tránh căng thẳng quá mức. Căng thẳng là nguyên nhân hàng đầu gây suy giảm hệ miễn dịch. Theo nhà nghiên cứu miễn dịch học Kathleen Dass: “Khi căng thẳng, cơ thể sẽ tiết cortisol và adrenaline - loại hormone làm giảm mức độ tế bào lympho và phagocytes”.
Bên cạnh đó, stress còn gây ra một loạt các hành động không lành mạnh như uống rượu, hút thuốc, mất ngủ và chứng thèm ăn.
Bên cạnh đó, stress còn gây ra một loạt các hành động không lành mạnh như uống rượu, hút thuốc, mất ngủ và chứng thèm ăn.
Mời độc giả xem thêm video: Khuyến cáo khi sử dụng thuốc kháng virus Molnupiravir. (Nguồn: THĐT)

GALLERY MỚI NHẤT