Việc chủ động khám sức khỏe sau kỳ nghỉ lễ là vô cùng cần thiết để kịp thời phát hiện và xử lý những bất thường, bảo vệ cơ thể một cách toàn diện. Khám sức khỏe sau kỳ nghỉ là việc làm nhỏ nhưng lợi ích lớn.
Chăm sóc sức khỏe sinh sản thường được xem là trách nhiệm riêng của phụ nữ. Tuy nhiên, thực tế đã chứng minh, chỉ khi nam giới tham gia tích cực, điều này mới có thể được đảm bảo một cách toàn diện và bền vững.
Phòng CSGT Công an TP Hà Nội vừa thông báo danh sách 40 cơ sở khám, chữa bệnh thuộc quản lý của Sở Y tế Hà Nội đủ điều kiện khám và cấp giấy khám sức khỏe lái xe.
Phòng CSGT Công an TP Hà Nội vừa thông báo danh sách 40 cơ sở khám, chữa bệnh thuộc quản lý của Sở Y tế Hà Nội đủ điều kiện khám và cấp giấy khám sức khỏe lái xe.
Kiểm tra sức khỏe tổng quát sau Tết là việc làm vô cùng quan trọng để đảm bảo cơ thể luôn khỏe mạnh, sẵn sàng khởi đầu một năm mới khỏe mạnh và an tâm.
Kiểm tra sức khỏe tổng quát sau Tết sẽ giúp đánh giá toàn diện tình trạng sức khỏe, phát hiện sớm những nguy cơ tiềm ẩn để chủ động phòng ngừa và xử lý kịp thời, đảm bảo sức khỏe trong năm mới.
Trường hợp khám sức khỏe để cấp đổi giấy phép lái xe bắt buộc phải xét nghiệm nồng độ ma túy (xét nghiệm 5 loại ma túy, thông tư cũ là 4 loại). Đồng thời, không bắt buộc xét nghiệm nồng độ cồn 100%.
Rất nhiều người đã phát hiện ra bệnh nguy kịch nhờ kiểm tra sức khỏe tổng quát dù trước đó cơ thể không hề có triệu chứng gì. Chàng trai 21 tuổi đã phát hiện ra hội chứng Marfan tổn thương đa cơ quan khi khám sức khỏe đi xuất khẩu.
Một người ở Quảng Ngãi bị hỏng mắt phải nhưng một phòng khám đa khoa vẫn cấp giấy khám sức khỏe công nhận thị lực hai mắt 10/10, đủ sức khỏe lái xe hạng C.
Một người ở Quảng Ngãi bị hỏng mắt phải nhưng một phòng khám đa khoa vẫn cấp giấy khám sức khỏe công nhận thị lực hai mắt 10/10, đủ sức khỏe lái xe hạng C.
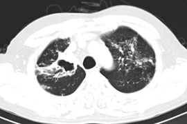
Lao phổi là bệnh truyền nhiễm nguy hiểm, có tỷ lệ tử vong cao. Việt Nam là nước có gánh nặng bệnh lao cao nhất trên thế giới. Bệnh có thể điều trị khỏi hoàn toàn, không để lại di chứng nếu được phát hiện và điều trị kịp thời.
Khi nhận được kết quả kiểm tra, anh Trương bất ngờ vì thấy có mục khám về tử cung . Nhìn kỹ hơn, anh phát hiện giới tính trên bản kết quả lại ghi là nữ.
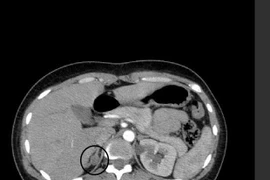
Bệnh nhân 36 tuổi bị co quắp tay chân vào viện khám phát hiện u vỏ tuyến thượng thận phải và u nang buồng trứng. Chỉ một lần phẫu thuật nội soi các bác sĩ đã giải quyết cả 2 loại u cho bệnh nhân.