Top các bệnh răng miệng nguy hiểm dễ tấn công người già

Top các bệnh răng miệng nguy hiểm dễ tấn công người già

(Kiến Thức) - Hình ảnh móm mém ở các cụ già có thể dễ dàng được cải thiện bằng cách phòng tránh các bệnh về răng miệng dưới đây.

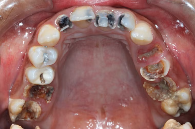
Sâu răng. Người cao tuổi thường dễ bị sâu răng do sử dụng nhiều đồ ngọt, ngại thăm khám răng miệng hay hạn chế trong việc tìm hiểu thông tin về các vấn đề nha khoa.
Sâu răng. Người cao tuổi thường dễ bị sâu răng do sử dụng nhiều đồ ngọt, ngại thăm khám răng miệng hay hạn chế trong việc tìm hiểu thông tin về các vấn đề nha khoa.
Đáng lưu ý, không phải cứ ăn nhiều thực phẩm ngọt như đường, bánh kẹo mới gây tác động xấu. Việc ăn nhiều trái ngọt, ăn vặt lắt nhắt cả ngày cũng làm răng bị sâu. Vấn đề bắt nguồn từ lượng đường và axit có trong chúng gây hình thành mảng bám quanh răng và dần dần phá hủy chúng. Bạn nên súc miệng sau mỗi lần ăn sẽ mang lại tác dụng ngăn ngừa đáng kể. Ngoài ra, bạn cũng nên giảm lượng tiêu thụ đường và duy trì đánh răng hai lần một ngày.
Đáng lưu ý, không phải cứ ăn nhiều thực phẩm ngọt như đường, bánh kẹo mới gây tác động xấu. Việc ăn nhiều trái ngọt, ăn vặt lắt nhắt cả ngày cũng làm răng bị sâu. Vấn đề bắt nguồn từ lượng đường và axit có trong chúng gây hình thành mảng bám quanh răng và dần dần phá hủy chúng. Bạn nên súc miệng sau mỗi lần ăn sẽ mang lại tác dụng ngăn ngừa đáng kể. Ngoài ra, bạn cũng nên giảm lượng tiêu thụ đường và duy trì đánh răng hai lần một ngày.
Đau răng. Hiện tượng đau răng xuất phát từ việc các mô thần kinh bị chết do nhiễm khuẩn. Để điều trị tình trạng này cách tốt nhất là tác động trực tiếp vào chân răng. Một số trường hợp sẽ được kê đơn sử dụng thuốc giảm đau, amoxicillin hoặc thuốc kháng sinh. Nếu người bệnh bị dị ứng với nhóm penicillin, lựa chọn metronidazole cũng có thể được chấp nhận.
Đau răng. Hiện tượng đau răng xuất phát từ việc các mô thần kinh bị chết do nhiễm khuẩn. Để điều trị tình trạng này cách tốt nhất là tác động trực tiếp vào chân răng. Một số trường hợp sẽ được kê đơn sử dụng thuốc giảm đau, amoxicillin hoặc thuốc kháng sinh. Nếu người bệnh bị dị ứng với nhóm penicillin, lựa chọn metronidazole cũng có thể được chấp nhận.
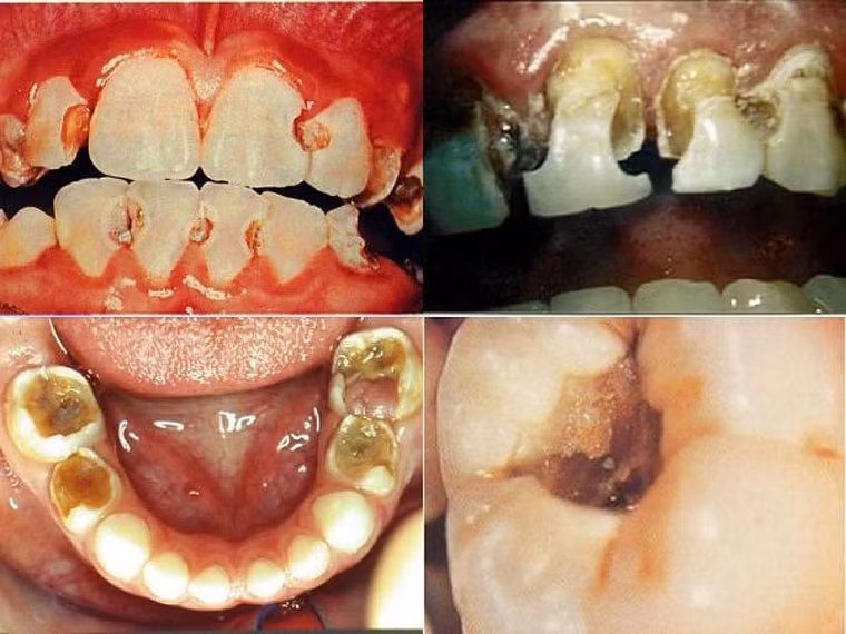
Mẻ răng. Vấn đề này bao gồm răng bị hư hỏng, mòn hoặc các vết hàn trước đây bị bong ra. Một trong những trường hợp gây đau đớn nhất là vụn răng cắm vào các mô mềm trong khoang miệng, gây viêm loét. Cảm giác nhức nhối này sớm được loại bỏ khi bạn đến các phòng khám nha khoa để gắp chúng ra. Nếu là mảnh răng nhỏ, đôi khi nó sẽ tự bung ra và vết loét sẽ lành.
Mẻ răng. Vấn đề này bao gồm răng bị hư hỏng, mòn hoặc các vết hàn trước đây bị bong ra. Một trong những trường hợp gây đau đớn nhất là vụn răng cắm vào các mô mềm trong khoang miệng, gây viêm loét. Cảm giác nhức nhối này sớm được loại bỏ khi bạn đến các phòng khám nha khoa để gắp chúng ra. Nếu là mảnh răng nhỏ, đôi khi nó sẽ tự bung ra và vết loét sẽ lành.
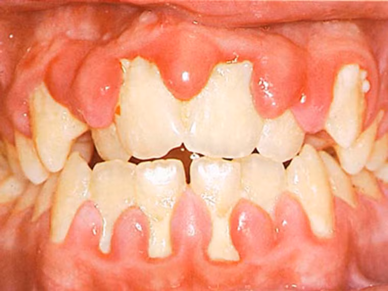
Viêm lợi và hiện tượng chảy máu chân răng. Viêm lợi không chỉ xuất hiện ở người cao tuổi, nó còn “quấy rầy” nhiều lứa tuổi khác. Ngoài viêm lợi, bệnh nướu răng cũng khá phổ biến. Đây là tình trạng viêm của mô mềm (nướu) và tiêu bất thường ổ xương bao quanh và nâng đỡ răng. Độc tố được tiết ra từ vi khuẩn trong có mảng bám là thủ phạm chính gây bệnh. Mảng bám này được hình thành từ hỗn hợp thức ăn, nước bọt và vi khuẩn.
Viêm lợi và hiện tượng chảy máu chân răng. Viêm lợi không chỉ xuất hiện ở người cao tuổi, nó còn “quấy rầy” nhiều lứa tuổi khác. Ngoài viêm lợi, bệnh nướu răng cũng khá phổ biến. Đây là tình trạng viêm của mô mềm (nướu) và tiêu bất thường ổ xương bao quanh và nâng đỡ răng. Độc tố được tiết ra từ vi khuẩn trong có mảng bám là thủ phạm chính gây bệnh. Mảng bám này được hình thành từ hỗn hợp thức ăn, nước bọt và vi khuẩn.
Các triệu chứng sớm của bệnh nướu bao gồm chảy máu nướu không đau. Nếu thấy đau, rất có thể bệnh đã tiến triển đến mức mất xương vùng xung quanh răng, dẫn đến sự hình thành túi nướu. Vi khuẩn trong các túi nướu gây nhiễm trùng, sưng, đau, và phá hủy xương, răng trên diện rộng. Thậm chí nó có thể gây mất răng. Song khoảng 90% các vấn đề về nướu dễ dàng được ngăn ngừa bằng việc vệ sinh răng miệng sạch sẽ.
Các triệu chứng sớm của bệnh nướu bao gồm chảy máu nướu không đau. Nếu thấy đau, rất có thể bệnh đã tiến triển đến mức mất xương vùng xung quanh răng, dẫn đến sự hình thành túi nướu. Vi khuẩn trong các túi nướu gây nhiễm trùng, sưng, đau, và phá hủy xương, răng trên diện rộng. Thậm chí nó có thể gây mất răng. Song khoảng 90% các vấn đề về nướu dễ dàng được ngăn ngừa bằng việc vệ sinh răng miệng sạch sẽ.
Vấn đề ở các mô mềm. Hiện tượng dễ dàng được nhận diện bởi các cục, vết loét màu trắng hoặc bản vá lỗi có trong miệng. Thông thường sự xuất hiện của các vết loét là phổ biến hơn cả. Tuy nhiên, nếu nó không được chữa lành trong vòng hai tuần hoặc không xác định được nguyên nhân thì bạn nên tiến hành kiểm tra. Tương tự, nếu các bản vá lỗi gây chảy máu hoặc có xu hướng lan rộng thì bạn cần cảnh giác cao bởi nó rất có thể là dấu hiệu của một dạng ung thư miệng di căn. Các vấn đề về mô mềm thường xảy ra ở đối tượng thường xuyên hút thuốc, uống rượu. Đáng báo động, nguy cơ mắc bệnh ở những người này thường cao gấp mười sáu lần so với những người không “dính dáng” đến nó.
Vấn đề ở các mô mềm. Hiện tượng dễ dàng được nhận diện bởi các cục, vết loét màu trắng hoặc bản vá lỗi có trong miệng. Thông thường sự xuất hiện của các vết loét là phổ biến hơn cả. Tuy nhiên, nếu nó không được chữa lành trong vòng hai tuần hoặc không xác định được nguyên nhân thì bạn nên tiến hành kiểm tra. Tương tự, nếu các bản vá lỗi gây chảy máu hoặc có xu hướng lan rộng thì bạn cần cảnh giác cao bởi nó rất có thể là dấu hiệu của một dạng ung thư miệng di căn. Các vấn đề về mô mềm thường xảy ra ở đối tượng thường xuyên hút thuốc, uống rượu. Đáng báo động, nguy cơ mắc bệnh ở những người này thường cao gấp mười sáu lần so với những người không “dính dáng” đến nó.
Các vấn đề liên quan đến răng giả. Một trong những vấn đề có thể xảy ra là hiện tượng loét lợi khi đeo răng giả. Trong trường hợp này cần nhanh chóng chỉnh lại vị trí hàm răng. Theo thời gian, đeo răng giả sẽ trở nên dễ dàng hơn. Bạn lưu ý thường xuyên vệ sinh chúng bằng nước lạnh với kem đánh răng. Lúc về đêm, nên tháo răng ra ngâm vào nước sạch để giúp lợi được nghỉ ngơi.
Các vấn đề liên quan đến răng giả. Một trong những vấn đề có thể xảy ra là hiện tượng loét lợi khi đeo răng giả. Trong trường hợp này cần nhanh chóng chỉnh lại vị trí hàm răng. Theo thời gian, đeo răng giả sẽ trở nên dễ dàng hơn. Bạn lưu ý thường xuyên vệ sinh chúng bằng nước lạnh với kem đánh răng. Lúc về đêm, nên tháo răng ra ngâm vào nước sạch để giúp lợi được nghỉ ngơi.
Giảm chức năng tuyến nước bọt. Tuổi già đôi khi cũng phải đối mặt với hiện tượng giảm chức năng của tuyến nước bọt. Nguyên nhân chủ yếu bắt nguồn từ việc sử dụng thuốc an thần, thuốc chống trầm cảm, thuốc lợi tiểu hay chống động kinh. Tình trạng khiến người già không chỉ gặp khó khăn trong việc nhai nuốt mà còn dễ đối diện với sâu, nướu răng do không đủ lượng nước bọt để làm sạch chúng. Bạn nên sử dụng các loại kẹo cao su không đường, uống nhiều nước và tăng cường đánh răng để kích thích quá trình tiết nước bọt trong cơ thể.
Giảm chức năng tuyến nước bọt. Tuổi già đôi khi cũng phải đối mặt với hiện tượng giảm chức năng của tuyến nước bọt. Nguyên nhân chủ yếu bắt nguồn từ việc sử dụng thuốc an thần, thuốc chống trầm cảm, thuốc lợi tiểu hay chống động kinh. Tình trạng khiến người già không chỉ gặp khó khăn trong việc nhai nuốt mà còn dễ đối diện với sâu, nướu răng do không đủ lượng nước bọt để làm sạch chúng. Bạn nên sử dụng các loại kẹo cao su không đường, uống nhiều nước và tăng cường đánh răng để kích thích quá trình tiết nước bọt trong cơ thể.
myageingparent.com

GALLERY MỚI NHẤT

MacBook Air M2 16GB 2026, món hời khó tin

MacBook Air M2 16GB 2026, món hời khó tin

Trong kỷ nguyên AI bùng nổ, MacBook Air M2 RAM 16GB nổi lên như lựa chọn “đáng tiền” nhờ hiệu năng ổn định, thiết kế mỏng nhẹ và giá bán ngày càng dễ tiếp cận.