Bắt bệnh nhanh qua biểu hiện của răng miệng

Bắt bệnh nhanh qua biểu hiện của răng miệng

(Kiến Thức) - Không đơn thuần là các bệnh nha khoa thông thường, sức khỏe răng miệng còn phản ánh tình trạng thể lực của bạn.

Thật vậy, tiến sĩ Nader Malik (Australia) cho rằng: “Sức khỏe răng miệng có thể ảnh hưởng nghiêm trọng đến sức khỏe tổng thể của con người. Nó cũng chỉ ra những triệu chứng bất thường. Chẳng hạn, tình trạng mòn răng có liên quan đến trào ngược axit dạ dày, mất cân bằng khoáng chất”.
Thật vậy, tiến sĩ Nader Malik (Australia) cho rằng: “Sức khỏe răng miệng có thể ảnh hưởng nghiêm trọng đến sức khỏe tổng thể của con người. Nó cũng chỉ ra những triệu chứng bất thường. Chẳng hạn, tình trạng mòn răng có liên quan đến trào ngược axit dạ dày, mất cân bằng khoáng chất”.
 Khô miệng. Khô miệng xảy ra khi không có đủ lượng nước bọt trong khoang miệng. Nó không chỉ gây khó khăn trong việc nhai nuốt mà còn có thể đẩy bạn dễ đối diện với nguy cơ sâu răng hàng loạt.
Khô miệng. Khô miệng xảy ra khi không có đủ lượng nước bọt trong khoang miệng. Nó không chỉ gây khó khăn trong việc nhai nuốt mà còn có thể đẩy bạn dễ đối diện với nguy cơ sâu răng hàng loạt.
Rất nhiều trường hợp, khô miệng còn bắt nguồn từ việc sử dụng một số loại thuốc; mắc các vấn đề thần kinh, bệnh parkinson hoặc tiểu đường.
Rất nhiều trường hợp, khô miệng còn bắt nguồn từ việc sử dụng một số loại thuốc; mắc các vấn đề thần kinh, bệnh parkinson hoặc tiểu đường.
 Nghiến răng. Đôi khi, nghiến răng đơn giản xuất phát từ việc hàm răng của bạn mọc lệch. Tuy nhiên, những người trong trạng thái căng thẳng thần kinh, tức giận thái quá, thiếu hụt chất dinh dưỡng, mất nước hoặc lạm dụng thuốc cũng dễ có tật nghiến răng.
Nghiến răng. Đôi khi, nghiến răng đơn giản xuất phát từ việc hàm răng của bạn mọc lệch. Tuy nhiên, những người trong trạng thái căng thẳng thần kinh, tức giận thái quá, thiếu hụt chất dinh dưỡng, mất nước hoặc lạm dụng thuốc cũng dễ có tật nghiến răng.
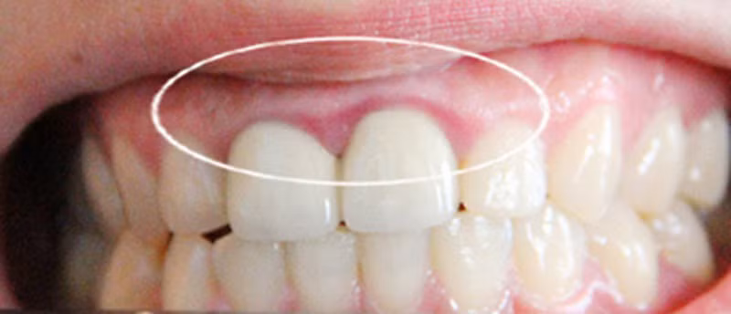
Nướu răng. Chứng nướu răng là một trong những vấn đề dễ xử lý về sức khỏe răng miệng. Dù vậy, nếu không điều trị kịp thời, nó có thể dẫn đến các bệnh nha chu nghiêm trọng hơn như hơi thở hôi, chảy máu, sưng nướu và gãy răng.
Nướu răng. Chứng nướu răng là một trong những vấn đề dễ xử lý về sức khỏe răng miệng. Dù vậy, nếu không điều trị kịp thời, nó có thể dẫn đến các bệnh nha chu nghiêm trọng hơn như hơi thở hôi, chảy máu, sưng nướu và gãy răng.
Bên cạnh đó, nhà nghiên cứu Steven James đến từ Hội Tiểu đường Australia cũng khẳng định: “Sâu răng, nướu răng có thể là dấu hiệu cảnh báo cơ thể chứa lượng đường trong máu quá cao. Thông thường, người mắc tiểu đường thường có vấn đề về răng miệng. Chính vì vậy, cần đặc biệt chú ý khi cơ thể mắc một trong hai vấn đề này”.
Bên cạnh đó, nhà nghiên cứu Steven James đến từ Hội Tiểu đường Australia cũng khẳng định: “Sâu răng, nướu răng có thể là dấu hiệu cảnh báo cơ thể chứa lượng đường trong máu quá cao. Thông thường, người mắc tiểu đường thường có vấn đề về răng miệng. Chính vì vậy, cần đặc biệt chú ý khi cơ thể mắc một trong hai vấn đề này”.
Loét miệng. Vết loét có dấu hiệu giống như vết cắn và chúng chỉ xuất hiện một vài ngày. Không quá nghiêm trọng song loét miệng có thể báo hiệu những vấn đề sức khỏe nghiêm trọng khác như giang mai, ung thư môi hoặc các bệnh tự miễn dịch.
Loét miệng. Vết loét có dấu hiệu giống như vết cắn và chúng chỉ xuất hiện một vài ngày. Không quá nghiêm trọng song loét miệng có thể báo hiệu những vấn đề sức khỏe nghiêm trọng khác như giang mai, ung thư môi hoặc các bệnh tự miễn dịch.
Đặc biệt, những người có thói quen sử dụng thuốc lá, nghiện rượu, có người thân từng mắc ung thư môi nếu trong khoang miệng xuất hiện các bản vá lỗi màu đỏ, trắng, sờ vào thấy tê cứng và kéo dài trong thời gian dài thì rất có thể đây là triệu chứng của căn bệnh nguy hiểm.
Đặc biệt, những người có thói quen sử dụng thuốc lá, nghiện rượu, có người thân từng mắc ung thư môi nếu trong khoang miệng xuất hiện các bản vá lỗi màu đỏ, trắng, sờ vào thấy tê cứng và kéo dài trong thời gian dài thì rất có thể đây là triệu chứng của căn bệnh nguy hiểm.

GALLERY MỚI NHẤT

Công nghệ Wi-Fi xuyên tường gây lo ngại

Công nghệ Wi-Fi xuyên tường gây lo ngại

Dự án Wifi-densepose của Trung Quốc có thể lập bản đồ tư thế cơ thể người xuyên tường bằng tín hiệu Wi-Fi, mở ra ứng dụng mới nhưng dấy lên lo ngại riêng tư.