Người cao tuổi và các bệnh răng miệng thường gặp

Người cao tuổi và các bệnh răng miệng thường gặp

(Kiến Thức) - Ngoài vấn đề sức khỏe như thiếu máu não, đột quỵ, viêm khớp… người già còn dễ đối diện với các bệnh về răng miệng.

Răng đổi màu, đen xỉn. Hiện tượng răng trở nên đen xỉn có thể bắt nguồn từ sự mỏng đi của lớp men răng bên ngoài. Bên cạnh đó, sự thay đổi này còn do thói quen ăn trầu, thưởng chè đặc hay socola. Với những người nghiện thuốc, lượng nicotin trong chúng dễ dàng bám vào răng tạo thành một màu vàng xỉn, thâm đen; thậm chí là hôi miệng.
Răng đổi màu, đen xỉn. Hiện tượng răng trở nên đen xỉn có thể bắt nguồn từ sự mỏng đi của lớp men răng bên ngoài. Bên cạnh đó, sự thay đổi này còn do thói quen ăn trầu, thưởng chè đặc hay socola. Với những người nghiện thuốc, lượng nicotin trong chúng dễ dàng bám vào răng tạo thành một màu vàng xỉn, thâm đen; thậm chí là hôi miệng.
Khô miệng. Khô miệng bắt nguồn tự sự giảm lưu lượng nước bọt. Nguyên nhân gây khô miệng có thể do tác dụng phụ khi thực hiện bức xạ vùng đầu cổ hoặc quá trình sử dụng thuốc. Một vài người không chịu quá nhiều phiền phức từ hiện tượng này song không ít trường hợp thiếu nước bọt khiến môi trở nên nóng bỏng, lưỡi nứt, niêm mạc miệng khô, dày trắng và hôi, nhai nuốt khó khăn, sâu và nướu răng.
Khô miệng. Khô miệng bắt nguồn tự sự giảm lưu lượng nước bọt. Nguyên nhân gây khô miệng có thể do tác dụng phụ khi thực hiện bức xạ vùng đầu cổ hoặc quá trình sử dụng thuốc. Một vài người không chịu quá nhiều phiền phức từ hiện tượng này song không ít trường hợp thiếu nước bọt khiến môi trở nên nóng bỏng, lưỡi nứt, niêm mạc miệng khô, dày trắng và hôi, nhai nuốt khó khăn, sâu và nướu răng.
Giảm vị giác. Giảm vị giác dẫn đến tình trạng người già cảm thấy ăn không ngon, mất hứng thú trong chuyện ăn uống. Lý giải điều này, các nhà khoa học cho rằng nó có thể bắt nguồn từ yếu tố tuổi tác, ảnh hưởng của các cơn bạo bệnh và lượng thuốc đã sử dụng.
Giảm vị giác. Giảm vị giác dẫn đến tình trạng người già cảm thấy ăn không ngon, mất hứng thú trong chuyện ăn uống. Lý giải điều này, các nhà khoa học cho rằng nó có thể bắt nguồn từ yếu tố tuổi tác, ảnh hưởng của các cơn bạo bệnh và lượng thuốc đã sử dụng.
Đau răng. Đau răng xuất phát từ việc các mô thần kinh bị chết do nhiễm khuẩn. Để điều trị tình trạng này cách tốt nhất là tác động trực tiếp vào chân răng. Một số trường hợp sẽ được kê đơn sử dụng thuốc giảm đau, amoxicillin hoặc thuốc kháng sinh.
Đau răng. Đau răng xuất phát từ việc các mô thần kinh bị chết do nhiễm khuẩn. Để điều trị tình trạng này cách tốt nhất là tác động trực tiếp vào chân răng. Một số trường hợp sẽ được kê đơn sử dụng thuốc giảm đau, amoxicillin hoặc thuốc kháng sinh.
Sâu răng. Ở người lớn tuổi, sâu răng thường đi kèm với tụt nướu do tác động của vi khuẩn lên thực phẩm, tạo ra axit phá hủy cấu trúc răng. Để ngăn ngừa, nên súc miệng sau mỗi lần ăn. Bên cạnh đó, bạn cũng nên giảm lượng tiêu thụ đường và duy trì đánh răng hai lần mỗi ngày.
Sâu răng. Ở người lớn tuổi, sâu răng thường đi kèm với tụt nướu do tác động của vi khuẩn lên thực phẩm, tạo ra axit phá hủy cấu trúc răng. Để ngăn ngừa, nên súc miệng sau mỗi lần ăn. Bên cạnh đó, bạn cũng nên giảm lượng tiêu thụ đường và duy trì đánh răng hai lần mỗi ngày.
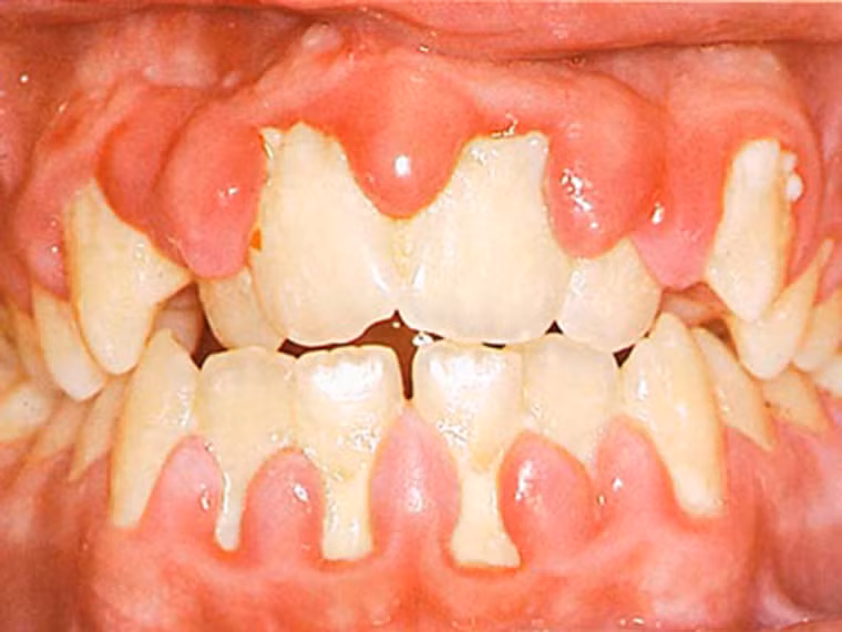
Nướu răng. Nướu không chỉ xuất hiện ở người cao tuổi, nó còn “quấy rầy” nhiều lứa tuổi khác. Đây là tình trạng viêm của mô mềm (nướu), tiêu bất thường ổ xương bao quanh và nâng đỡ răng. Độc tố được tiết ra từ vi khuẩn trong có mảng bám là thủ phạm chính gây bệnh. Mảng bám này được hình thành từ hỗn hợp thức ăn, nước bọt và vi khuẩn.
Nướu răng. Nướu không chỉ xuất hiện ở người cao tuổi, nó còn “quấy rầy” nhiều lứa tuổi khác. Đây là tình trạng viêm của mô mềm (nướu), tiêu bất thường ổ xương bao quanh và nâng đỡ răng. Độc tố được tiết ra từ vi khuẩn trong có mảng bám là thủ phạm chính gây bệnh. Mảng bám này được hình thành từ hỗn hợp thức ăn, nước bọt và vi khuẩn.
Các triệu chứng sớm của bệnh nướu bao gồm chảy máu nướu không đau. Nếu thấy đau, rất có thể bệnh đã tiến triển đến mức mất xương vùng xung quanh răng, dẫn đến sự hình thành túi nướu. Vi khuẩn trong các túi nướu gây nhiễm trùng, sưng, đau, và phá hủy xương - răng trên diện rộng. Thậm chí nó có thể gây mất răng. Song khoảng 90% các vấn đề về nướu dễ dàng được ngăn ngừa bằng việc vệ sinh răng miệng sạch sẽ.
Các triệu chứng sớm của bệnh nướu bao gồm chảy máu nướu không đau. Nếu thấy đau, rất có thể bệnh đã tiến triển đến mức mất xương vùng xung quanh răng, dẫn đến sự hình thành túi nướu. Vi khuẩn trong các túi nướu gây nhiễm trùng, sưng, đau, và phá hủy xương - răng trên diện rộng. Thậm chí nó có thể gây mất răng. Song khoảng 90% các vấn đề về nướu dễ dàng được ngăn ngừa bằng việc vệ sinh răng miệng sạch sẽ.
Xương hàm không đồng đều. Nguyên nhân chính của tình trạng xương hàm không đồng đều là do sự cố sâu răng, buộc phải nhổ bỏ mà không có răng thay thế. Từ đó, tạo ra một khoảng trống, khiến những chiếc răng khác có xu hướng ngả dần về vị trí này để lấp đầy.
Xương hàm không đồng đều. Nguyên nhân chính của tình trạng xương hàm không đồng đều là do sự cố sâu răng, buộc phải nhổ bỏ mà không có răng thay thế. Từ đó, tạo ra một khoảng trống, khiến những chiếc răng khác có xu hướng ngả dần về vị trí này để lấp đầy.
Viêm miệng. Không giống các vấn đề trên, viêm miệng chủ yếu tấn công người sử dụng răng giả không đảm bảo vệ sinh sạch sẽ. Theo thời gian, các mảng bám thức ăn tạo môi trường lý tưởng cho nấm candida albicans tích tụ, gây tình trạng viêm khó chịu.
Viêm miệng. Không giống các vấn đề trên, viêm miệng chủ yếu tấn công người sử dụng răng giả không đảm bảo vệ sinh sạch sẽ. Theo thời gian, các mảng bám thức ăn tạo môi trường lý tưởng cho nấm candida albicans tích tụ, gây tình trạng viêm khó chịu.
 Ung thư miệng. Đây được xem là vấn đề nghiêm trọng nhất đối với sức khỏe răng miệng. Đặc biệt, khoảng 50% trường hợp mắc bệnh được phát hiện khi tế bào ung thư đã di căn nên tỷ lệ sống sót là khá thấp. Chính vì vậy, để bảo vệ mình ngoài việc vệ sinh răng miệng thường xuyên, bạn cần tránh lạm dụng thuốc lá, ăn trầu và nghiện rượu.
Ung thư miệng. Đây được xem là vấn đề nghiêm trọng nhất đối với sức khỏe răng miệng. Đặc biệt, khoảng 50% trường hợp mắc bệnh được phát hiện khi tế bào ung thư đã di căn nên tỷ lệ sống sót là khá thấp. Chính vì vậy, để bảo vệ mình ngoài việc vệ sinh răng miệng thường xuyên, bạn cần tránh lạm dụng thuốc lá, ăn trầu và nghiện rượu.

GALLERY MỚI NHẤT

Cận cảnh công trình hồ điều hòa Cự Khối gần 1.000 tỷ ở Long Biên

Cận cảnh công trình hồ điều hòa Cự Khối gần 1.000 tỷ ở Long Biên

Dự án mương Việt Hưng - Cầu Bây và hồ điều hòa Cự Khối tại phường Long Biên đang được tăng tốc thi công với nhiều hạng mục đạt tiến độ tích cực. Khi hoàn thành, công trình sẽ góp phần giảm úng ngập, nâng cao năng lực tiêu thoát nước và cải thiện cảnh quan khu vực phía Đông Hà Nội.