Cận cảnh khoan răng, đính đá làm đẹp

Cận cảnh khoan răng, đính đá làm đẹp

(Kiến Thức) - Gắn đá vào răng hiện đang được xem như một trào lưu để... “khẳng định đẳng cấp” của các teen girl chịu chơi.

Ngày nay, nhiều bạn trẻ muốn “khẳng định đẳng cấp” bằng cách khoan răng, đính đá lên "bộ nhá".
Ngày nay, nhiều bạn trẻ muốn “khẳng định đẳng cấp” bằng cách khoan răng, đính đá lên "bộ nhá".
Thông thường, để gắn đá vào răng, các nha sĩ phải tuân thủ theo một quy trình nhất định. Đầu tiên, để tránh gây đau đớn cho khách hàng nha sĩ sẽ tiêm thuốc gây tê.
Thông thường, để gắn đá vào răng, các nha sĩ phải tuân thủ theo một quy trình nhất định. Đầu tiên, để tránh gây đau đớn cho khách hàng nha sĩ sẽ tiêm thuốc gây tê.
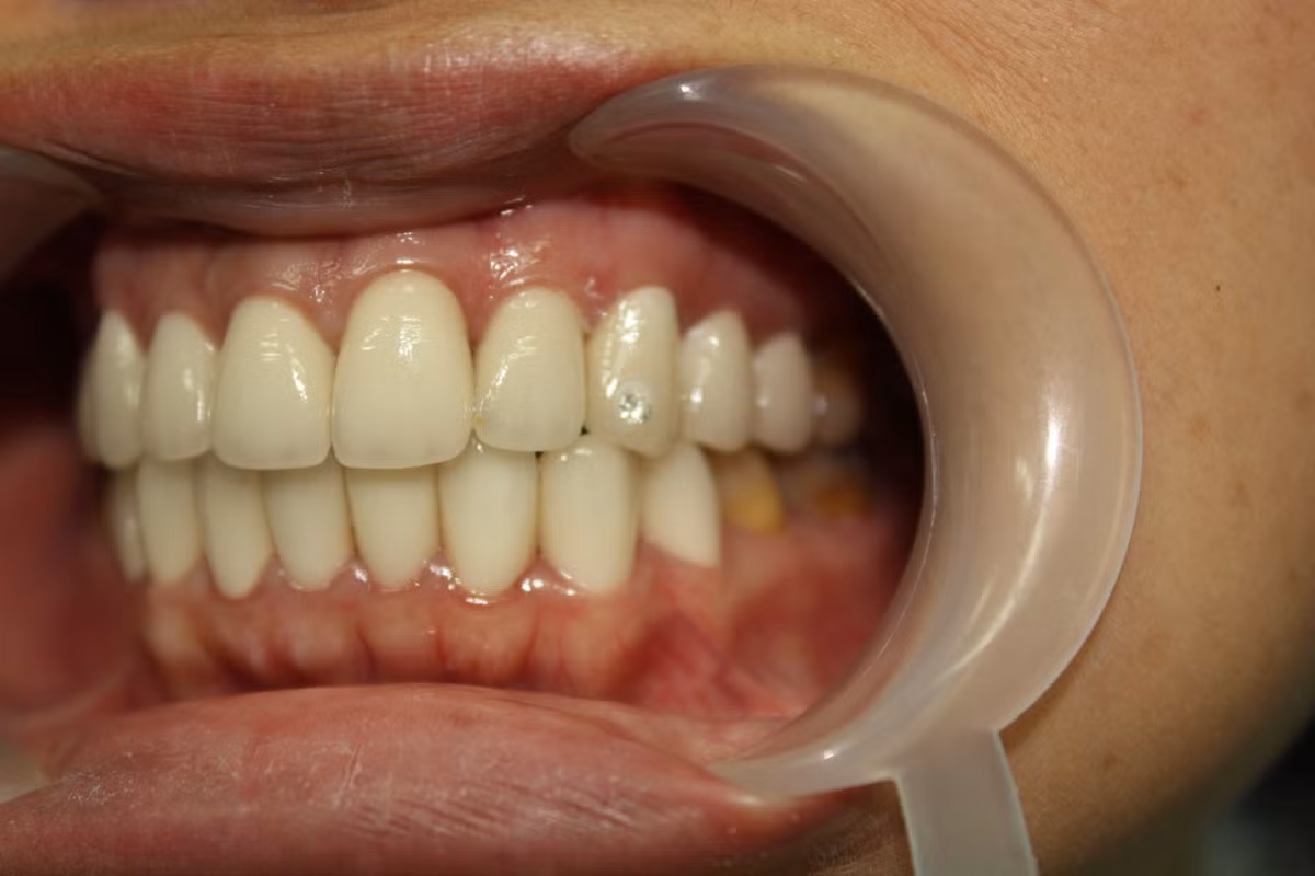
Sau đó sẽ dùng khoan chuyên dụng để khoan một hoặc vài lỗ nhỏ trên răng đúng bằng đường kính của viên đá (tùy theo nhu cầu gắn một viên hay nhiều viên).
Sau đó sẽ dùng khoan chuyên dụng để khoan một hoặc vài lỗ nhỏ trên răng đúng bằng đường kính của viên đá (tùy theo nhu cầu gắn một viên hay nhiều viên).
Với các loại đá dùng để gắn vào răng nguồn gốc từ Thái Lan hoặc Mỹ thường có giá dao động khoảng 100.000-500.000 đồng/một viên. Loại đá này có đủ màu sắc: Tím nhạt, đỏ, hồng, xanh mắt mèo, trắng... để “thượng đế trẻ” tha hồ chọn lựa.
Với các loại đá dùng để gắn vào răng nguồn gốc từ Thái Lan hoặc Mỹ thường có giá dao động khoảng 100.000-500.000 đồng/một viên. Loại đá này có đủ màu sắc: Tím nhạt, đỏ, hồng, xanh mắt mèo, trắng... để “thượng đế trẻ” tha hồ chọn lựa.
Ngoài ra còn có những viên kim cương dạng nhỏ, có kích thước từ 2-3 ly, với giá khoảng 800.000 đồng đến 5 triệu đồng/1viên. Mức giá này không phải là mức giá sàn bởi giá tại các cơ sở dịch vụ gắn đá bình dân thường thấp hơn so với các trung tâm lớn.
Ngoài ra còn có những viên kim cương dạng nhỏ, có kích thước từ 2-3 ly, với giá khoảng 800.000 đồng đến 5 triệu đồng/1viên. Mức giá này không phải là mức giá sàn bởi giá tại các cơ sở dịch vụ gắn đá bình dân thường thấp hơn so với các trung tâm lớn.
Sau khoảng 3-5 phút khoan lỗ trên răng, bác sĩ chiếu đèn halogen và phun một loại keo nha khoa để gắn chặt viên đá vào răng.
Sau khoảng 3-5 phút khoan lỗ trên răng, bác sĩ chiếu đèn halogen và phun một loại keo nha khoa để gắn chặt viên đá vào răng.
Nghe qua có vẻ đơn giản nhưng để đảm bảo được độ bền của đá cũng như không làm mất vệ sinh, ảnh hưởng đến sức khỏe răng miệng thì nha sĩ buộc phải có những kiến thức cơ bản về công nghệ này.
Nghe qua có vẻ đơn giản nhưng để đảm bảo được độ bền của đá cũng như không làm mất vệ sinh, ảnh hưởng đến sức khỏe răng miệng thì nha sĩ buộc phải có những kiến thức cơ bản về công nghệ này.
Nhiều trường hợp gắn đá vào răng “cười” chưa đủ 1 tuần đã có vấn đề như: Không ăn được đồ cứng, đến lúc đánh răng thì “đá đi, răng ở lại”. Nếu không tiếp tục gắn đá lại, lâu ngày thức ăn rơi vào vết khoan, ứ đọng, gây sâu răng.
Nhiều trường hợp gắn đá vào răng “cười” chưa đủ 1 tuần đã có vấn đề như: Không ăn được đồ cứng, đến lúc đánh răng thì “đá đi, răng ở lại”. Nếu không tiếp tục gắn đá lại, lâu ngày thức ăn rơi vào vết khoan, ứ đọng, gây sâu răng.
Ngoài ra, với những người răng yếu, việc mài, giũa để gắn đá có thể gây tê buốt mỗi khi ăn đồ nóng hoặc lạnh.
Ngoài ra, với những người răng yếu, việc mài, giũa để gắn đá có thể gây tê buốt mỗi khi ăn đồ nóng hoặc lạnh.

GALLERY MỚI NHẤT