Ê-kíp bác sĩ luân phiên từ TP HCM công tác tại Trung tâm Y tế Quân dân Y Côn Đảo đã phẫu thuật cấp cứu thành công cho nam sinh 15 tuổi bị thủng dạ dày.
Trung tâm Y tế khu vực Thanh Sơn vừa tiếp nhận và điều trị thành công một trường hợp bệnh nhi 6 tuổi bị xuất huyết tiêu hóa do viêm loét dạ dày tá tràng.
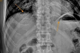
Người đàn ông 61 tuổi đến bệnh viện khám trong tình trạng đau bụng đột ngột dữ dội như dao đâm vùng thượng vị, sau đau lan khắp ổ bụng,... Các bác sĩ chẩn đoán bệnh nhân bị viêm phúc mạc do thủng tạng rỗng.
Người đàn ông đến bệnh viện khám trong tình trạng đau bụng đột ngột dữ dội như dao đâm vùng thượng vị, sau đau lan khắp ổ bụng,... Bệnh nhân được chẩn đoán viêm phúc mạc do thủng tạng rỗng.
Thủng tạng rỗng nếu không được chẩn đoán sớm và xử trí kịp thời sẽ biến chứng đe dọa tính mạng bệnh nhân, đây là tình trạng cấp cứu hết sức nguy hiểm vì ổ bụng bị nhiễm khuẩn do phân gây viêm phúc mạc toàn thể.
Nếu thủng dạ dày không được cấp cứu kịp thời thì có thể gây ra nhiều biến chứng nguy hiểm như tắc ruột, nhiễm trùng máu, suy đa tạng hay rối loạn tri giác.
Chuyên gia phân tích, trong quá trình quay video, người tham gia mukbang có thể mua nhiều thức ăn vượt quá nhu cầu của họ, gây lãng phí thực phẩm. Người tham gia mukbang có thể ăn quá nhiều, ảnh hưởng đến sức khỏe của họ...
Dinh dưỡng đóng vai trò vô cùng quan trọng trong việc duy trì sức khỏe và phòng ngừa các bệnh lý, đặc biệt là trong trường hợp của bệnh viêm ruột thừa.
Những người bị bệnh dạ dày nên tránh các thực phẩm làm giảm tiết acid, giảm bất lợi của acid lên niêm mạc dạ dày, hạn chế hoặc loại bỏ những kích thích có hại để dạ dày nghỉ ngơi và các tổn thương mau lành.