U buồng trứng ở bé gái thường khó phát hiện ở giai đoạn mới hình thành hoặc đang phát triển, bởi triệu chứng bệnh âm thầm, dễ nhầm lẫn với bệnh lý khác.
U buồng trứng là loại bệnh thường gặp ở nữ giới, đặc biệt là người trưởng thành. Bệnh tuy ít gặp ở các bé gái nhưng có thể xảy ra ở bất kỳ lứa tuổi nào.
Khi có các dấu hiệu sức khỏe bất thường, người dân nên đến cơ sở y tế để thăm khám sớm, tránh tâm lý chủ quan hoặc tự điều trị bằng các phương pháp dân gian không rõ nguồn gốc, làm chậm trễ việc chẩn đoán và điều trị.
U buồng trứng xoắn thường xuất hiện ở độ tuổi 20–30, rất hiếm gặp ở trẻ em. Triệu chứng của bệnh thường âm thầm, dễ nhầm lẫn với các bệnh lý khác và có thể gây ảnh hưởng lớn đến khả năng sinh sản sau này của trẻ gái.
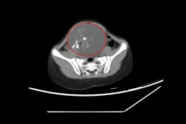
Đau bụng vùng hố chậu phải, kèm theo nôn ói, bệnh nhi được gia đình cho uống thuốc nhưng không cải thiện, đi khám phát hiện khối u buồng trứng trái bị xoắn hiếm gặp.
Xoắn u buồng trứng là một trong những cấp cứu phụ khoa nguy hiểm, chiếm khoảng 2-3% các trường hợp cấp cứu khẩn cấp. Tình trạng này đặc biệt nghiêm trọng đối với phụ nữ mang thai, đe dọa sức khỏe cả mẹ và bé.
Tuyệt đối không sử dụng các bài thuốc không rõ nguồn gốc, làm bỏ lỡ "thời gian vàng" điều trị hiệu quả bệnh, khiến khối u phát triển nặng, mạng sống bị đe dọa.
Các bác sĩ tại Bệnh viện Phụ sản TP. Cần Thơ đã phẫu thuật bóc tách thành công khối u nang buồng trứng có kích thước lớn cho sản phụ đang mang thai tuần thứ 16, đồng thời bảo đảm sức khỏe thai nhi ổn định.
Xoắn buồng trứng hay xoắn tai vòi là một cấp cứu ngoại khoa thường gặp ở bé gái. Tại Bệnh viện Nhi đồng 2, mỗi năm tiếp nhận khoảng hơn 100 ca phẫu thuật cấp cứu liên quan đến xoắn buồng trứng... cha mẹ cần biết cách phát hiện sớm.
Phát hiện bụng của người bệnh có dấu hiệu to bất thường và ngày càng to nhanh, gia đình đưa người bệnh đi khám thì phát hiện khối u nang buồng trứng “khủng”.
Viêm não tự miễn dễ chẩn đoán nhầm với trầm cảm, tự kỷ. Biểu hiện ban đầu của bệnh thường là những rối loạn tâm thần, co giật. Bệnh do tự cơ thể sinh ra từ các khối u ở buồng trứng, tử cung,... của phụ nữ trẻ.