Mới đây, Khoa Nội Thần kinh Tổng quát Bệnh viện Nhân dân 115 TP HCM đã tiếp nhận một bệnh nhân nam 66 tuổi, (Hóc Môn, TP HCM), bệnh nhân nhập viện trong tình trạng đau đầu dữ dội, co giật méo miệng, yếu nhẹ nửa người phải.
Qua khai thác tiền căn bệnh nhân đã có những triệu chứng âm thầm kéo dài nhiều tháng như mệt mỏi, đau cơ, tiêu phân lỏng, nôn ói kéo dài, sụt cân, hồi hộp đánh trống ngực, rối loạn nhịp tim, thậm chí đã từng bị ngất.
![]() |
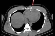
| Sán xuất hiện khắp cơ thể người bệnh. Ảnh: BVCC |
Tại bệnh viện, sau khi được thăm khám lâm sàng, bệnh nhân được chụp cộng hưởng từ (MRI) sọ não ghi nhận tổn thương não nhiều vị trí, phù não.
Theo TS.BS Trần Thanh Hùng, Phó trưởng khoa Nội thần kinh tổng quát, Bệnh viện Nhân dân 115, bác sĩ nghi ngờ bệnh nhân nhiễm ký sinh trùng ở não nên tiếp tục thực hiện xét nghiệm huyết thanh học xác nhận kết quả dương tính với ấu trùng sán dải lợn Cysticercus.
Bệnh nhân được chụp Xquang xương đùi, CT-scan ngực để tầm soát tổn thương ở cơ quan khác, phát hiện vô số nang sán dải còn sống hoặc đã bị hóa vôi “ẩn nấp” trong não, nhu mô phổi, và trong da, cơ trên toàn bộ cơ thể người bệnh.
Qua điều tra dịch tễ, bác sĩ ghi nhận bệnh nhân có thói quen hay ăn gỏi thịt lợn tái sống và uống nước không đun sôi trong nhiều năm và đã từng có thời gian chăn nuôi gia súc, trong đó có lợn giống.
Trường hợp này được chẩn đoán viêm não do nang sán dải lợn và nhiễm nang sán dải ở đa cơ quan, nổi bật nhất là ở não, mô dưới da và ở cơ. Người bệnh nhanh chóng được điều trị bằng thuốc chống ký sinh trùng, chống viêm, phòng ngừa co giật cùng với chăm sóc tích cực. May mắn, bệnh nhân hồi phục tốt sau quá trình điều trị và được xuất viện.
Nang sán dải lợn - “những hạt gạo” đáng sợ
Bệnh sán dải lợn, do ký sinh trùng Taenia solium gây ra, có hai dạng phổ biến: sán dải trưởng thành sống trong ruột non và ấu trùng sán dải ký sinh tại các cơ quan trong cơ thể. Đây là bệnh nguy hiểm, đặc biệt tại những khu vực có thói quen ăn uống không đảm bảo vệ sinh.
![]() |
| Hiểm họa từ món tái sống. Ảnh minh họa |
Người ăn phải thịt lợn có nang chứa ấu trùng sán dải còn sống (heo gạo), khi vào ruột non sẽ nở ra thành con sán trưởng thành. Trường hợp người nuốt phải trứng sán dải lợn thì sẽ phát triển thành bệnh nang sán dải lợn. Trứng sán dải lợn xâm nhập vào cơ thể qua đường tiêu hóa, nở thành ấu trùng. Sau đó ấu trùng di chuyển qua hệ tuần hoàn và "định cư" tại các cơ quan như não, cơ hoặc mắt, gây tổn thương nghiêm trọng.
Nguồn lây nhiễm phổ biến là từ những món ăn như nem chua, thịt lợn tái sống, rau sống, hoặc do vệ sinh tay kém.
Phòng ngừa nang sán dải lợn
Bệnh nang sán dải lợn có thể gây ra nhiều triệu chứng thần kinh nghiêm trọng như co giật, đau đầu kéo dài, rối loạn ý thức. Do đó, việc chẩn đoán sớm và chính xác đóng vai trò quan trọng trong điều trị và phòng ngừa các biến chứng nguy hiểm.
Thông thường, trứng và ấu trùng sán dải sẽ chết khi ở trong nhiệt độ trên 75 độ C trong vòng 5 phút hoặc đun sôi liên tục với 100 độ C trong 2 phút. Do đó người dân cần
Ăn chín, uống sôi, thịt lợn cần được nấu chín kỹ ở nhiệt độ trên 75°C trong 5 phút hoặc sôi ở 100°C trong 2 phút
Không ăn thịt tái, tiết canh, hoặc nem sống
Rửa tay sạch trước khi ăn và sau khi đi vệ sinh
Chỉ mua thịt có nguồn gốc rõ ràng và được kiểm dịch
Lợn cần được nuôi nhốt và chăm sóc đúng cách, không thả rông

