Tưởng đột quỵ, không ngờ viêm não tự miễn thể hiếm gặp
Viêm não tự miễn là dạng viêm não xảy ra khi hệ thống miễn dịch của cơ thể tấn công các tế bào khoẻ mạnh ở não bộ, là nguyên nhân đứng hàng thứ 3 gây viêm não.
Thúy Nga
Đây là bệnh lý có thể gây ra các suy giảm nhanh chóng về cả sức khoẻ thể chất lẫn sức khoẻ tinh thần.
7 tháng phát hiện ra bệnh và 3 tháng điều trị
Trung tâm đột quỵ, Bệnh viện Đa khoa Phú Thọ cho biết, vừa điều trị thành công một ca viêm não tự miễn thể hiếm gặp (ANTI BODY – LGI1). Theo đó, bệnh nhân nam, 57 tuổi (Tân Sơn, Phú Thọ) vào viện với lý do rối loạn tâm thần, co giật.
Bệnh sử trước khi vào viện 7 tháng bệnh nhân xuất hiện triệu chứng yếu tay, chân trái kèm theo biểu hiện loạn thần nhẹ vào bệnh viện huyện được chụp CT sọ não và chẩn đoán và điều trị theo hướng nhồi máu não. Sau điều trị 7 ngày sức cơ cải thiện nhanh chóng, tình trạng lâm sàng bệnh nhân có cải thiện rõ rệt ra viện mRS: 1 điểm.
Sau 7 tháng, bệnh nhân xuất hiện có cơn co giật, sau cơn có trạng thái kích động, bệnh nhân được chuyển ra Trung tâm Đột quỵ – BVĐK tỉnh Phú Thọ trong tình trạng: Ý thức rối loạn tâm thần, kích động, hoang tưởng, ảo giác, mất nhận thức người thân. Co giật toàn thân, co giật liên tục, không liệt mặt, không rối loạn nuốt, không rối loạn cơ tròn. Không sốt, hội chứng màng não âm tính .
Bệnh nhân được khảo sát cộng hưởng từ sọ não, xét nghiệm dịch não tủy và các xét nghiệm cơ bản sàng lọc độc chất, bệnh chuyển hóa.
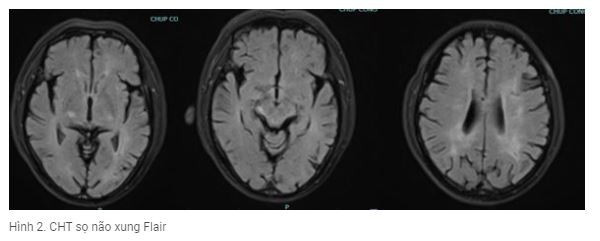
Kết quả CHT sọ : tổn thương tăng tín hiệu trên xung khuyết tán tổn thương chủ yếu vùng vỏ não thùy chẩm, đỉnh 2 bên ( hình 1); trên xung Flair tổn thương tăng tín hiệu vùng cuống não phải, dưới đồi phải, tổn thương chất trắng cạnh não thất 2 bên ( Hình 2).
Kết quả chụp cộng hưởng từ não.
Kết quả dịch não tủy: Tế bào: 03 tế bào, protein dịch não tủy: 0,9 g/l (tăng nhẹ); HSV dịch não tủy âm tính; PCR Lao dịch não tủy âm tính; cấy khuẩn dịch não tủy âm tính.
Với tình trạng lâm sàng rối loạn tâm thần 3 ngày, co giật liên tục nhiều cơn trong 3 ngày đầu kèm theo những bất thường về hình ảnh học và xét nghiệm dịch não tủy ban đầu các bác sỹ hội chẩn đã đưa ra hướng chẩn đoán theo dõi viêm não căn nguyên chưa xác định và bệnh nhân được điều trị triệu chứng: thuốc cắt cơn giật, dinh dưỡng bảo vệ tế bào thần kinh, thuốc chống loạn thần.
Sau 5 ngày điều trị lâm sàng bệnh nhân có cải thiện hơn hết loạn thần, còn rối loạn trí nhớ, trả lời còn lẫn lộn thiếu chính xác, cơn co giật được kiểm soát, bệnh nhân được chụp lại CHT sọ não đánh giá tổn thương và xét nghiệm dịch não tủy lần 2 kết quả tổn thương trên flair không thay đổi, nhưng tổn thương mới trên DWI hiện rõ ràng hơn; protein dịch não tủy 0,84 g/l; tế bào : 03 tế bào .
Với bệnh sử từ trước kết hợp với lâm sàng khởi phát bởi co giật và rối loạn tâm thần và bất thường trong dịch não tủy, các bác sĩ trong trung tâm đột quỵ đã hội chẩn và nghĩ nhiều đến viêm não tự miễn và chỉ định xét nghiệm một số xét nghiệm viêm não tự miễn (làm tại bệnh viện Nhi trung ương) và kết quả mẫu huyết thanh của bệnh nhân dương tính với kháng thể kháng LGI1 (Leucine-rich glioma-inactivated 1) (hình 3). Kháng thể LG1 là một trong 6 loại tự kháng thể phổ biến trong bệnh viêm não tự miễn đang được xét nghiệm chẩn đoán tại Việt Nam.
Bệnh nhân được chẩn đoán xác định và điều trị theo hướng viêm não tự miễn với phác đồ cơ bản là corticoid liều cao, thuốc bảo vệ dinh dưỡng thần kinh, thuốc chống cơn giật và tình trạng lâm sàng bệnh nhân cải thiện nhanh chóng.
Sau 2 tuần điều trị được chụp lại CHT sọ não đánh giá lại; xét nghiệm dịch não tủy và ra viện dùng thuốc duy trì và tái khám. Tình trạng ra viện tỉnh hoàn toàn, không loạn thần, không co giật, không yếu chi. Các lần tái khám sau 15 ngày, sau 1,5 tháng, sau 3 tháng bệnh nhân ổn định, không có triệu chứng tái phát.
Miễn dịch cơ thể tấn công các tế bào khỏe mạnh ở não bộ
PGS.TS Phùng Thị Bích Thủy, Trưởng khoa Sinh học phân tử các bệnh truyền nhiễm, bệnh viện Nhi TƯ cho biết, viêm não tự miễn là dạng viêm não xảy ra khi hệ thống miễn dịch của cơ thể tấn công các tế bào khoẻ mạnh ở não bộ, là nguyên nhân đứng hàng thứ 3 trong các nguyên nhân gây viêm não.
Đây là bệnh lý có thể gây ra các suy giảm nhanh chóng về cả sức khoẻ thể chất lẫn sức khoẻ tinh thần. Tự kháng thể liên quan tới viêm não tự miễn có thể được tìm thấy trong máu hoặc dịch não tuỷ của một số bệnh nhân.
Viêm não tự miễn có thể liên quan tới các tình trạng nhiễm vi khuẩn, virus trước đó, các bệnh lý tự miễn hoặc các khối u (khối u buồng trứng, khối u tinh hoàn,…). Trong nhiều trường hợp, bệnh lý này chưa được nhận diện và chẩn đoán chính xác, có thể bị bỏ sót hoặc nhầm lẫn với các rối loạn tâm thần kinh khác.
Ngày nay, sự phát triển của các kỹ thuật chẩn đoán hiện đại, đặc biệt là xét nghiệm phát hiện các tự kháng thể, đã cải thiện tỷ lệ phát hiện bệnh. Chẩn đoán sớm và điều trị kịp thời là yếu tố quan trọng giúp hạn chế tối đa các biến chứng của bệnh như tàn phế và tử vong.
Biểu hiện lâm sàng đa dạng, phụ thuộc vào các yếu tố khởi phát bệnh, thời gian bị bệnh, đặc điểm chức năng vùng não bị tổn thương do viêm mà có các triệu chứng khác nhau, bao gồm:
– Các cơn co giật, động kinh
– Các rối loạn ảo giác (ảo thị, ảo thính)
– Các rối loạn ngôn ngữ hoặc tư duy
– Các thay đổi hành vi hoặc cảm xúc
– Các rối loạn vận động
– Hội chứng tiểu não
– Tê, mất cảm giác
– Rối loạn giấc ngủ
Viêm não tự miễn được phân loại theo các quan điểm khác nhau. Một số trường hợp bệnh được phát hiện liên quan đến hệ miễn dịch kháng lại các khối u hoặc ung thư, cơ thể sản xuất các tự kháng thể có phản ứng chéo với các thành phần của hệ thần kinh trung ương, được gọi là viêm não cận ung thư.
Các tự kháng thể này thường kháng lại các protein bên trong tế bào và thường kém đáp ứng với các liệu pháp miễn dịch, ở những bệnh nhân này đòi hỏi phải điều trị các khối u tiềm ẩn. Các kháng thể có thể gây viêm não thể viền hay viêm não thể limbic với các biểu hiện lâm sàng rối loạn cảm xúc hay khả năng ghi nhớ.
Gần đây, nhiều dạng viêm não được phát hiện với các tự kháng thể nhắm đến bề mặt của tế bào thần kinh như viêm não kháng thụ thể NMDA, viêm não LGI1 và viêm não CASPR2 và nhiều dạng khác.
Các dạng viêm não tự miễn này được đặt tên dựa trên các mục tiêu đích của kháng thể và thường đáp ứng tốt với các liệu pháp điều trị miễn dịch. Trong một số trường hợp, chúng cũng kích hoạt khối u, nhưng phần lớn lại không rõ nguyên nhân, có thể do phản ứng nhiễm trùng trước đó đã kích hoạt phản ứng miễn dịch bất thường này.
Chẩn đoán viêm não tự miễn dựa trên các tiêu chuẩn lâm sàng và cận lâm sàng:
- Khởi phát bán cấp (tiến triển dưới 3 tháng) với các triệu chứng suy giảm trí nhớ, thay đổi tinh thần hoặc các triệu chứng về tâm thần.
- Có ít nhất 1 trong các dấu hiệu sau: có dấu hiệu thần kinh khu trú mới; co giật không giải thích được bởi những rối loạn co giật trước đó; tăng bạch cầu trong dịch não tủy (>5 bạch cầu/µl); hình ảnh cộng hưởng từ gợi ý viêm não tự miễn: tăng tín hiệu trên T2, flair ở một hoặc cả hai thùy thái dương (viêm não hệ viền) hoặc các vùng đa ổ bao gồm chất xám, chất trắng hoặc cả hai tương ứng với sự mất myelin hoặc viêm.
Việc khẳng định chẩn đoán xác định viêm não tự miễn sẽ dựa trên việc xác định được các kháng thể đặc hiệu nhắm vào tế bào thần kinh như kháng thể kháng NMDA, LGI1, CASPR2, GABA, AMPA R1/R2, DPPX … trong máu hoặc dịch não tủy, bằng phương pháp miễn dịch huỳnh quang gián tiếp IFT, ELISA hoặc miễn dịch sắc ký thanh giấy.
Kháng thể sẽ bắt cặp đặc hiệu với kháng nguyên được thiết kế sẵn và bắt cặp thứ cấp với kháng thể phát quang và sẽ được quan sát thấy trên các thiết bị xét nghiệm chuyên dụng như kính hiển vi huỳnh quang, máy đọc tín hiệu ELISA
Đôi khi, các kháng thể đặc hiệu sẽ không được xác định thông qua xét nghiệm. Trong trường hợp này bệnh có thể được chẩn đoán dựa trên các tiêu chuẩn lâm sàng, loại trừ các bệnh nhiễm trùng hệ thần kinh trung ương, các tổn thương trên phim phim chụp cộng hưởng từ sọ não hay biến đổi dịch não tủy.
Ghi điện não đồ cũng là một thăm dò được thực hiện ở bệnh nhân viêm não tự miễn, có thể sẽ phát hiện các hoạt động sóng chậm hay các hoạt động kịch phát dạng sóng động kinh. Trong một số ít trường hợp việc sinh thiết não có thể giúp tìm bằng chứng của bệnh.
Giống như các rối loạn miễn dịch và các bệnh lý viêm khác của hệ thần kinh trung ương, viêm não tự miễn cũng sẽ được điều trị một cách kịp thời và toàn diện, cả trong giai đoạn cấp tính và điều trị ngoài giai đoạn cấp tính nhằm ngăn chặn tình trạng viêm đang tiến triển, dự phòng tái phát, các điều trị triệu chứng, phục hồi chức năng. Các liệu pháp điều trị miễn dịch trong giai đoạn cấp tính bao gồm sử dụng liều cao steroid, trao đổi huyết tương (PLEX) hay sử dụng globulin miễn dịch (IVIG). Tùy theo diễn biến lâm sàng, nếu bệnh nhân không cải thiện có thể sử dụng các thuốc ức chế miễn dịch khác như Rituximab, Cyclophosphomide,…..
Bên cạnh đó, tùy tình trạng bệnh nhân có thể cần sử dụng các thuốc an thần, chống động kinh, dự phòng nhiễm trùng,…để làm giảm các triệu chứng lâm sàng của bệnh. Việc đánh giá, chẩn đoán và điều trị bệnh viêm não tự miễn cần được thực hiện bởi các bác sĩ hoặc chuyên gia thần kinh.
5 câu hỏi về bệnh viêm não virus nguy hiểm ai cũng thắc mắc
Viêm não virus là căn bệnh nguy hiểm có thể gây tử vong. Sau đây là một số câu hỏi chắc hẳn nhiều người thắc mắc về căn bệnh này.
1. Viêm não virus là gì?
Viêm não hiểu theo nghĩa đen thì đó là “tình trạng viêm của não”, có thể do nhiều nguyên nhân khác nhau, bao gồm nhiễm virus, viêm tự miễn, nhiễm vi khuẩn, côn trùng cắn và những nguyên nhân khác. Tình trạng viêm có thể làm tổn thương não, dẫn đến hôn mê hoặc tử vong.
Cảnh giác với biến chứng nguy hiểm của bệnh sởi ở trẻ nhỏ
Trẻ em không được tiêm phòng và suy dinh dưỡng có nguy cơ cao gặp biến chứng nguy hiểm khi mắc sởi như nhiễm trùng tai, viêm phổi, viêm não, thậm chí tử vong.
Trẻ nhỏ có nguy cơ gặp biến chứng nguy hiểm khi mắc bệnh sởi. Ảnh: Sharecare.
Sởi là bệnh truyền nhiễm cấp tính do virus rubeola gây ra. Bệnh rất dễ lây lan và có liên quan đến tỷ lệ tử vong cao ở trẻ em dưới 2 tuổi.
Loại vi khuẩn dễ nhiễm phải khi ăn đồ sống có nguy hiểm?
Gia đình tôi thích ăn đồ sống. Tôi được biết điều này có thể làm tăng nguy cơ nhiễm khuẩn E. coli. Vậy vi khuẩn này có nguy hiểm không và có dấu hiệu gì cảnh báo?
Theo Cơ quan Dịch vụ Y tế Quốc gia Scotland (NHS Inform), Escherichia coli (E. coli) O157, đôi khi được gọi là VTEC, là bệnh nhiễm trùng do vi khuẩn. Nó có thể gây đau bụng dữ dội, tiêu chảy ra máu và suy thận.
E. coli O157 được tìm thấy trong ruột và phân của nhiều loài động vật, đặc biệt là gia súc. Mọi người có thể bị nhiễm vi khuẩn này khi:
Xôi cá chép tạo hình từ xôi gấc, dẻo thơm không chỉ mang ý nghĩa tiễn ông Công ông Táo mà còn giúp mâm cúng ngày 23 tháng Chạp thêm trang trọng, đẹp mắt.
Dịp Tết, sân bay và nhà ga luôn trong tình trạng quá tải. Chỉ một phút chậm trễ hay sai sót nhỏ về giấy tờ, hành lý cũng có thể khiến hành khách lỡ chuyến.
Thoạt nhìn dễ e ngại, nhưng chuột dừa đặc sản miền Tây lại chinh phục thực khách nhờ thịt thơm, săn chắc, vị ngọt tự nhiên và cách chế biến đậm chất miệt vườn.
Thoạt nhìn dễ e ngại, nhưng chuột dừa đặc sản miền Tây lại chinh phục thực khách nhờ thịt thơm, săn chắc, vị ngọt tự nhiên và cách chế biến đậm chất miệt vườn.
Dịp Tết, sân bay và nhà ga luôn trong tình trạng quá tải. Chỉ một phút chậm trễ hay sai sót nhỏ về giấy tờ, hành lý cũng có thể khiến hành khách lỡ chuyến.
Xôi cá chép tạo hình từ xôi gấc, dẻo thơm không chỉ mang ý nghĩa tiễn ông Công ông Táo mà còn giúp mâm cúng ngày 23 tháng Chạp thêm trang trọng, đẹp mắt.
Tết Nguyên đán 2026 cận kề, bánh chưng chay trở thành lựa chọn được nhiều gia đình yêu thích nhờ hương vị thanh đạm, dễ ăn nhưng vẫn giữ trọn hồn Tết cổ truyền.
Ngồi lâu gây hại cho cột sống và tim mạch. Với dân văn phòng, việc ngồi – đứng – vận động xen kẽ đúng thời gian là yếu tố quan trọng để bảo vệ sức khỏe.
Chỉ cần một vài bước chuẩn bị và thói quen makeup đúng cách, bạn hoàn toàn có thể sở hữu lớp trang điểm bền màu, mịn đẹp và không xuống tông suốt ngày dài.