Thường xuyên đau đầu, khó ngủ, ít tiếp xúc với mọi người, sau đó la hét, kích động, tự cắn lưỡi, bóp cổ mình,... bé gái được chuẩn đoán mắc bệnh viêm não tự miễn, bệnh hiếm dễ nhầm lẫn với các bệnh rối loạn tâm thần.
Bé gái bỗng nhiên rối loạn nhận thức và ngôn ngữ, xuất hiện ảo thanh, gia đình tưởng con bị "bệnh tâm linh" nên dự định mời thầy cúng, không ngờ con bệnh viêm não tự miễn hiếm gặp.
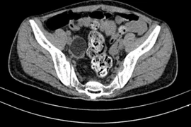
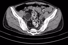
Viêm não tự miễn dễ chẩn đoán nhầm với trầm cảm, tự kỷ. Biểu hiện ban đầu của bệnh thường là những rối loạn tâm thần, co giật. Bệnh do tự cơ thể sinh ra từ các khối u ở buồng trứng, tử cung,... của phụ nữ trẻ.
Nhiều bệnh nhân trẻ bị viêm não tự miễn do kháng thể MMDAR liên quan đến u quái buồng trứng. Người bệnh có thể mất đi cơ hội làm mẹ và điều trị hormon sinh học cả đời.
Mới đây, Khoa Nội thần kinh, Bệnh viện Quân y 175 đã phối hợp cùng các chuyên khoa: Tâm thần, Hồi sức tích cực và Sản phụ khoa điều trị thành công một trường hợp viêm não tự miễn.
Viêm não tự miễn là dạng viêm não xảy ra khi hệ thống miễn dịch của cơ thể tấn công các tế bào khoẻ mạnh ở não bộ, là nguyên nhân đứng hàng thứ 3 gây viêm não.
Viêm não tự miễn là dạng viêm não xảy ra khi hệ thống miễn dịch của cơ thể tấn công các tế bào khoẻ mạnh ở não bộ, là nguyên nhân đứng hàng thứ 3 trong các nguyên nhân gây viêm não.
Viêm não tự miễn là bệnh lý còn xa lạ đối với nhiều người, được đặc trưng bởi các tổn thương não do chính hệ miễn dịch của cơ thể gây ra. Những tổn thương này mang tính chất phức tạp và để lại khiếm khuyết thần kinh nghiêm trọng.
Nữ sinh 22 tuổi co giật liên tục, hôn mê sâu, thở máy ròng rã 2 tháng vì mắc viêm não tự miễn. Viêm não tự do kháng thể kháng thụ thể NMDA chủ yếu gặp ở người nữ trẻ tuổi và thường có liên quan đến các khối u.