Báo Tri thức và Cuộc sống - TIN TỨC PHỔ BIẾN KIẾN THỨC 24H
Hà Nội

KHDS VNDAILY DoiSong TamNhin
  • Trang chủ
  • Trending
  • Vusta - Tri thức KH&CN
  • Nhà khoa học
  • Kiến thức cần biết
  • Thời sự 24h
    Chính trị Xã hội Thế giới Kinh doanh Bất động sản Sống xanh Bạn đọc Doanh nghiệp
  • Khoa học & Công nghệ
    Nhà khoa học Kho tri thức Giải mã Quân sự Số hóa Xe Sống đạo
  • Đời sống & Giải trí
    Sống Khỏe Đời sống Giải trí Thể thao Du lịch Cộng đồng trẻ Sốt mạng
  • Spotlight
    Gallery Video Podcast e-Magazine
  • Xem thêm
Trending Vusta & Trí thức KH&CN Nhìn thẳng - Nói thật Kiến thức cần biết Cải chính Đọc Báo in KH&ĐS
Thời sự 24h Chính trị Xã hội Thế giới Kinh doanh Bất động sản Sống xanh Bạn đọc Doanh nghiệp
Khoa học & Công nghệ Nhà khoa học Kho tri thức Giải mã Quân sự Số hóa Xe Sống đạo
Đời sống & Giải trí Sống Khỏe Đời sống Giải trí Thể thao Du lịch Cộng đồng trẻ Sốt mạng
Spotlight Gallery Video Podcast e-Magazine

Từ khóa: U màng não

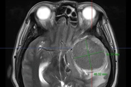
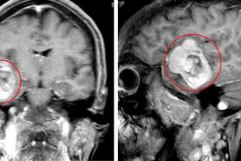
Phẫu thuật thành công u màng não lớn cho cụ bà 73 tuổi

Phẫu thuật thành công u màng não lớn cho cụ bà 73 tuổi

Bệnh nhân đau đầu nhẹ kéo dài, chụp CT và MRI, các bác sĩ phát hiện khối u màng não lớn, vị trí sàn sọ phức tạp cần can thiệp phẫu thuật.
Người phụ nữ vô tình phát hiện u màng não to như quả quýt

Người phụ nữ vô tình phát hiện u màng não to như quả quýt

U màng não lành tính không di căn, nếu được can thiệp cắt bỏ khối u kịp thời người bệnh sẽ có khoảng 80% tỷ lệ khỏi bệnh hoàn toàn.
Người đàn ông phát hiện u màng não, dấu hiệu cảnh báo bệnh

Người đàn ông phát hiện u màng não, dấu hiệu cảnh báo bệnh

Theo các bác sĩ Bệnh viện K Hà Nội, u màng não là khối u phát triển từ lớp màng nhện của màng não, chiếm 15% trong số các loại u não.
Người đàn ông bất ngờ phát hiện u màng não, dấu hiệu cảnh báo bệnh

Người đàn ông bất ngờ phát hiện u màng não, dấu hiệu cảnh báo bệnh

Các dấu hiệu của bệnh u màng não trở nên rõ ràng hơn khi kích thước khối u lớn dần và ảnh hưởng tới chức năng của não bộ cũng như hoạt động của nhiều cơ quan khác...
Lo âu, mất ngủ... tưởng trầm cảm sau sinh hoá u màng não

Lo âu, mất ngủ... tưởng trầm cảm sau sinh hoá u màng não

Mất ngủ, đau đầu bệnh nhân nữ 37 tuổi tưởng trầm cảm sau sinh, đi khám bất ngờ phát hiện khối u não to 8 cm.
Lo âu, mất ngủ... tưởng trầm cảm sau sinh hoá u màng não "khổng lồ"

Lo âu, mất ngủ... tưởng trầm cảm sau sinh hoá u màng não "khổng lồ"

Mất ngủ, đau đầu, tâm tính thay đổi sau sinh, bệnh nhân nữ 37 tuổi tưởng trầm cảm, đi khám bất ngờ phát hiện khối u não to 8 cm.
Đau đầu dai dẳng, đi khám bất ngờ phát hiện u màng não

Đau đầu dai dẳng, đi khám bất ngờ phát hiện u màng não

Đa số đau đầu là lành tính và có thể tự khỏi, tuy nhiên nếu bị đau đầu thường xuyên, bệnh nhân cần đến cơ sở y tế khám, làm các cận lâm sàng cần thiết để phát hiện sớm các nguyên nhân thực thể.
Thực hiện thành công ca phẫu thuật u màng não kích thước khổng lồ

Thực hiện thành công ca phẫu thuật u màng não kích thước khổng lồ

Người bệnh có một khối u màng não sát xương vùng trán với kích thước khổng lồ 12 x 10 x 8cm.
Đau đầu bất ngờ phát hiện u màng não khổng lồ ăn sâu vào não

Đau đầu, bất ngờ phát hiện u màng não khổng lồ ăn sâu vào não

Chưa hề phát hiện bệnh lý về sọ não, đau đầu nhiều uống thuốc không đỡ, bệnh nhân bất ngờ phát hiện u não 50mmx 70mm. Phải 8 tiếng các bác sĩ mới lấy được khối u phát triển sâu vào tổ chức não.
Đi khám đau đầu, phát hiện có u màng não "khủng": Bác sĩ cảnh báo gì?

Đi khám đau đầu, phát hiện có u màng não "khủng": Bác sĩ cảnh báo gì?

Đau đầu, mệt mỏi triền miên, uống thuốc không đỡ, người phụ nữ 68 tuổi (TP HCM) đi khám tại bệnh viện Trưng Vương bất ngờ phát hiện có khối u màng não to hơn quả trứng vịt.
U màng não tủy dễ nhầm với thoát vị đĩa đệm

U màng não tủy dễ nhầm với thoát vị đĩa đệm

(khoahocdoisong.vn) - Có đến 20% các nguyên nhân khác gây triệu chứng giống thoát vị đĩa đệm, trong đó có u trong ống sống. Khác với thoát vị, u có thể gây liệt hẳn.
Hoạt động phức tạp của cơ thể con người khi chết não

Hoạt động phức tạp của cơ thể con người khi chết não

(Kiến Thức) - Một người bị chết não sẽ ra sao, điều gì xảy ra khi bị đột quỵ, tai nạn ở đầu được xử lý thế nào? Câu trả lời có thể nhìn thấy qua những bức ảnh chụp cắt lớp.
Báo Tri thức và Cuộc sống - TIN TỨC PHỔ BIẾN KIẾN THỨC 24H

Hotline: 096 523 77 56/091 181 1111 (Toà soạn Hà Nội)
/ 091 122 12 22 (VPĐD TPHCM)

baotrithuccuocsong@kienthuc.net.vn
tkts@kienthuc.net.vn

Facebook Rss
Trending Vusta - Trí thức KH&CN Nhà khoa học Kiến thức cần biết Thời sự 24h Khoa học & Công nghệ Đời sống & Giải trí Spotlight

CƠ QUAN CHỦ QUẢN: LIÊN HIỆP CÁC HỘI KHOA HỌC VÀ KỸ THUẬT VIỆT NAM

Giấy phép: Số 536/GP-BTTTT ngày 19/11/2020 do Bộ Thông tin và Truyền thông cấp.

Tổng Biên tập: Nhà báo Nguyễn Thị Mai Hương

Phó Tổng Biên tập: Nhà báo Nguyễn Danh Châu

Tòa soạn: Số 70 Trần Hưng Đạo, phường Cửa Nam, Hà Nội.

VPĐD tại TP.HCM: Số 54 Phạm Huy Thông, phường Hạnh Thông, Thành phố Hồ Chí Minh.

DMCA.com Protection Status