Các bác sĩ khoa Ngoại thần kinh, Bệnh viện Việt Nam – Thụy Điển Uông Bí (Quảng Ninh) vừa tiến hành phẫu thuật cho một trường hợp khó, người bệnh cao tuổi, kích thước khối u lớn, vị trí nguy hiểm, buộc phải tiến hành phẫu thuật loại bỏ khối u.
Người bệnh Đ.T.L. 62 tuổi (Liên Vị, Quảng Yên) trước khi vào viện xuất hiện chóng mặt, đau đầu, ngã xuống nền đất cứng và ngất. Sau khi tỉnh lại người bệnh được gia đình đưa đến cấp cứu tại Bệnh viện Việt Nam – Thụy Điển Uông Bí.
 |
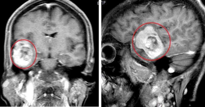
| Hình ảnh khối u của người bệnh. Ảnh BVCC |
Sau khi thăm khám và chụp cắt lớp vi tính, MRI phát hiện có khối u màng não lớn kích thước 5x4cm, khối u nằm ở vùng hố thái dương dính vào màng cứng. Các bác sĩ đã nhanh chóng tiến hành phẫu thuật vi phẫu bóc tách và loại bỏ khối u.
 |
| Sức khỏe người bệnh ổn định và đã được xuất viện. Ảnh BVCC |
Ca phẫu thuật diễn ra thành công, toàn bộ khối u được loại bỏ, bảo tồn các chức năng thần kinh quan trọng, hạn chế mất máu tối đa cho người bệnh. Hiện, sức khỏe người bệnh ổn định và đã được xuất viện.
Triệu chứng bệnh u màng não
Theo các bác sĩ Bệnh viện K (Hà Nội), u màng não là khối u phát triển từ lớp màng nhện của màng não, chiếm 15% trong số các loại u não. U màng não đa số tiến triển chậm, biểu hiện lâm sàng khi u phát triển kích thước đủ lớn chèn ép vào cấu trúc não hoặc dây thần kinh sọ, cần theo dõi các triệu chứng để có thể điều trị dứt điểm, cải thiện chất lượng sức khỏe.
Các dấu hiệu của bệnh trở nên rõ ràng hơn khi kích thước khối u lớn dần và ảnh hưởng tới chức năng của não bộ cũng như hoạt động của nhiều cơ quan khác. Đa số bệnh nhân sẽ đối mặt với những cơn đau nhức đầu, tình trạng này khiến họ không thể tập trung làm việc, sinh hoạt như bình thường.
Bên cạnh đó, người bệnh có dấu hiệu suy giảm về trí nhớ, rối loạn cảm xúc, đồng thời ngủ không ngon giấc,… Những triệu chứng kể trên rất dễ gây nhầm lẫn với các vấn đề sức khỏe khác.
Ngoài ra, một số người bệnh cảm nhận được chức năng của khứu giác, thị giác suy giảm rõ rệt, ví dụ như mắt mờ, hay bị ù tai… Nếu gặp phải tình trạng buồn nôn, khó chịu, mọi người đừng chủ quan, đây là một trong những dấu hiệu thường gặp của bệnh nhân có khối u ở màng não.
Khối u ở màng não thường lành tính, tuy nhiên bệnh nhân thường không phát hiện ở giai đoạn đầu. Chỉ đến khi kích thước khối u lớn, kèm theo các triệu chứng rõ rệt, người bệnh mới đi điều trị. Nếu không may phát hiện khối u màng não nằm ở các vị trí nhạy cảm, ảnh hưởng trực tiếp tới chức năng hệ thần kinh, nên cẩn trọng và điều trị theo hướng dẫn của bác sĩ. Một số người tử vong do khối u hình thành và phát triển ở các vị trí nguy hiểm.
Những khối u có kích thước lớn thường chèn ép, gây áp lực tới nhu mô não. Đó là nguyên nhân vì sao một số bệnh nhân bị liệt nửa người, yếu cơ. Trong trường hợp u màng não nằm ở rãnh thị giác, người bệnh phải đối mặt với tình trạng rối loạn thị giác, tri giác, điều ảnh hưởng hưởng trực tiếp tới sức khỏe cũng như cuộc sống sinh hoạt của người bệnh.
Các bác sĩ khuyến cáo, khi mắc phải u màng não người dân cần theo dõi. Với các khối u có kích thước lớn, người bệnh cần được phẫu thuật để giảm chèn ép, đặc biệt khi có các triệu chứng như: đau đầu, buồn nôn và nôn, mờ mắt, yếu hay liệt nửa người, co giật, rối loạn cảm giác, người dân cần đến ngay các cơ sở y tế có chuyên khoa thần kinh để thăm khám và điều trị kịp thời, hạn chế tối đa biến chứng xảy ra.