Tình trạng của Rachel hiếm đến mức các bác sĩ đã nói với bố mẹ của bé rằng hãy chuẩn bị cho điều tồi tệ nhất. Tín hiệu khả quan duy nhất là các khối u đều lành tính.
Sau khi áp dụng một thử nghiệm tiên phong, bé đã khiến các bác sĩ kinh ngạc về khả năng hồi phục của mình. Bệnh nhi 20 tháng tuổi này hiện hoàn toàn không còn khối u nào.
Katie, mẹ của Rachael, cho biết: “Điều đó cho chúng tôi rất nhiều hy vọng về tương lai mà chúng tôi không nghĩ rằng mình sẽ có".

Katie, 37 tuổi và chồng Simon, 39 tuổi, đã choáng váng khi biết con gái của họ có hơn 100 khối u trong người khi cô bé mới vài ngày tuổi. “Đó là một cú sốc lớn đối với chúng tôi. Tôi đã có một thai kỳ khỏe mạnh nên chúng tôi không biết điều gì sẽ đến”, Katie kể.
“Các bác sĩ nói rằng họ chưa bao giờ thấy trường hợp như vậy trong 40 năm và không biết liệu họ có thể điều trị cho Rachael hay không. Đó là một khởi đầu ảm đạm đối với con gái chúng tôi”.
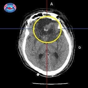
Rachael lần đầu tiên bị ốm khi mới 24 giờ tuổi. Kết quả chụp cắt lớp cho thấy cô bị bệnh u xơ toàn thân bẩm sinh dạng nặng nhất. Rối loạn hiếm gặp khiến các khối u lành tính phát triển ở da, cơ, xương và các cơ quan.
Katie chia sẻ: “Chúng tôi chưa bao giờ nghe nói về căn bệnh đó trước đây. Các bác sĩ nói các khối u nằm trên mọi cơ quan trong cơ thể con tôi. Một số u rất nhỏ nhưng một số khác thì lớn, lên đến vài cm. Các khối u ở tim còn gây viêm”.
“May mắn là các khối u lành tính, không phải ung thư nhưng vì có quá nhiều nên dễ gây nguy hiểm đến tính mạng cho bé. Vì vậy, các bác sĩ quyết định cách chữa tốt nhất là hóa trị”.
Rachael bắt đầu điều trị hóa trị chuyên sâu tại Bệnh viện Addenbrooke ở Cambridge (Anh) khi mới 2 tuần tuổi.
"Con tôi liên tục bị ốm vì hóa trị và bị nhiễm trùng. Bé phải ăn qua ống. Gia đình thật khó khăn, phải xa nhau, và Henry (anh trai Rachel) nhớ em vô cùng”, người mẹ kể.
Vì tình trạng của Rachael quá hiếm, nên các bác sĩ phải tính toán điều trị cho bé từng ngày. Sau 18 tháng ròng rã, cuối cùng họ cũng có tin vui cho gia đình.
Các bác sĩ thông báo tất cả các khối u của Rachael đã biến mất. Chúng cũng khó có khả năng quay trở lại vì đã không phát triển trong suốt 18 tháng chữa bệnh.
Rachael được tặng một hạt thủy tinh cho mỗi phiên hóa trị. Cuối cùng, bé có gần 1.000 hạt. Bệnh viện tặng hạt thủy tinh cho các bệnh nhi vì đã dũng cảm trong các buổi điều trị khó khăn.
Không chỉ làm dậy vị món ăn, thì là và rau mùi còn được ví như “vị thuốc xanh”, giúp giữ ấm cơ thể, hỗ trợ tiêu hóa và tăng đề kháng mùa lạnh.
Một nồi bò kho ngon là sự kết hợp hài hòa giữa thịt bò giàu dinh dưỡng, nguyên liệu tươi và kỹ thuật tẩm ướp tinh tế, tạo nên hương vị đậm đà khó quên.
Bánh mì tiện lợi nhưng nếu ăn sai cách, lạm dụng hoặc kết hợp thiếu khoa học có thể gây rối loạn tiêu hóa, tăng cân và tiềm ẩn nhiều nguy cơ cho sức khỏe.
Tết Dương lịch là dịp lý tưởng để quây quần bên nồi lẩu nghi ngút khói. Lẩu ốc, gà lá é, bò mắm ruốc hay cua đồng đều dễ ăn, hợp mọi miền.
Tết Dương lịch là dịp lý tưởng để quây quần bên nồi lẩu nghi ngút khói. Lẩu ốc, gà lá é, bò mắm ruốc hay cua đồng đều dễ ăn, hợp mọi miền.
Bánh mì tiện lợi nhưng nếu ăn sai cách, lạm dụng hoặc kết hợp thiếu khoa học có thể gây rối loạn tiêu hóa, tăng cân và tiềm ẩn nhiều nguy cơ cho sức khỏe.
Không chỉ làm dậy vị món ăn, thì là và rau mùi còn được ví như “vị thuốc xanh”, giúp giữ ấm cơ thể, hỗ trợ tiêu hóa và tăng đề kháng mùa lạnh.
Một nồi bò kho ngon là sự kết hợp hài hòa giữa thịt bò giàu dinh dưỡng, nguyên liệu tươi và kỹ thuật tẩm ướp tinh tế, tạo nên hương vị đậm đà khó quên.
Kích thước vòng 1 không chỉ phụ thuộc di truyền mà còn chịu tác động từ dinh dưỡng và nội tiết. Bổ sung đúng thực phẩm giúp ngực đầy đặn, săn chắc tự nhiên.
Nam bệnh nhân nhập viện trong tình trạng ngừng tim, ngừng tuần hoàn, được các bác sĩ Bệnh viện Đa khoa Hà Tĩnh cấp cứu kịp thời, tái thông mạch vành thành công.
4 công thức tẩy tế bào chết cho môi đơn giản tại nhà, giúp loại bỏ da khô, phục hồi độ ẩm và mang lại đôi môi hồng hào, mềm mịn mùa đông.
Thịt chim bồ câu được xem là thực phẩm bổ dưỡng nhờ giàu protein, ít béo, giúp phục hồi thể lực, tăng cường trí não và nâng cao sức khỏe toàn diện.
Mùa tiệc tùng khiến da dễ nhạy cảm, khô căng. Chỉ với vài bước chăm sóc đơn giản, da sẽ trở lại khỏe mạnh, mềm mịn và dễ chịu.
Người phụ nữ được chẩn đoán mắc choriocarcinoma tại phổi, một dạng ung thư rất hiếm, cần nhận biết sớm để có phương pháp điều trị phù hợp.
Pantone công bố Cloud Dancer sắc trắng ngà cân bằng ấm lạnh là màu của năm 2026, phản ánh xu hướng tối giản, tìm kiếm bình yên giữa thế giới nhiều biến động.
Viêm gân vôi hóa thường gặp ở nữ giới trung niên, gây các cơn đau dữ dội, ảnh hưởng đến sinh hoạt và chất lượng cuộc sống.
Một bệnh nhân ở Đồng Nai tử vong vì bệnh dại sau khi bị chó lạ cắn, do chủ quan không tiêm phòng và không xử lý đúng vết thương.
Một bệnh nhân 63 tuổi ở Thái Nguyên mắc bệnh Whitmore nguy hiểm đã được chữa khỏi sau quá trình điều trị tích cực, nhấn mạnh tầm quan trọng của chẩn đoán sớm.
Bước sang năm 2026, chân váy tối giản, dễ phối và mặc lâu không lỗi mốt được dự báo lên ngôi, trở thành lựa chọn ưu tiên trong tủ đồ phái đẹp.
Một người phụ nữ bị bỏng hóa chất khi đổ bột thông cống, phải nhập viện cấp cứu, bác sĩ cảnh báo về sử dụng hóa chất nguy hiểm.
Một bệnh nhân trẻ tuổi bị nhồi máu cơ tim do thuốc lá, nhấn mạnh tầm quan trọng của khám sức khỏe định kỳ và bỏ thuốc để giảm nguy cơ tử vong.
Gân bò giàu collagen, giúp bảo vệ xương khớp, tăng cường cơ bắp, cải thiện tiêu hóa và sức khỏe tim mạch, thích hợp bổ sung hàng ngày.
Bệnh viện Nội tiết Nghệ An thành công trong việc điều trị ca tăng kali máu nặng, cảnh báo người bệnh thận mạn cần tuân thủ điều trị đúng hướng.
Năm 2025, ẩm thực Việt Nam được vinh danh trên nhiều bảng xếp hạng quốc tế, khi các món ăn vỉa hè, chợ dân sinh lọt top ngon nhất thế giới.