Hoạt động phức tạp của cơ thể con người khi chết não

Hoạt động phức tạp của cơ thể con người khi chết não

(Kiến Thức) - Một người bị chết não sẽ ra sao, điều gì xảy ra khi bị đột quỵ, tai nạn ở đầu được xử lý thế nào? Câu trả lời có thể nhìn thấy qua những bức ảnh chụp cắt lớp.

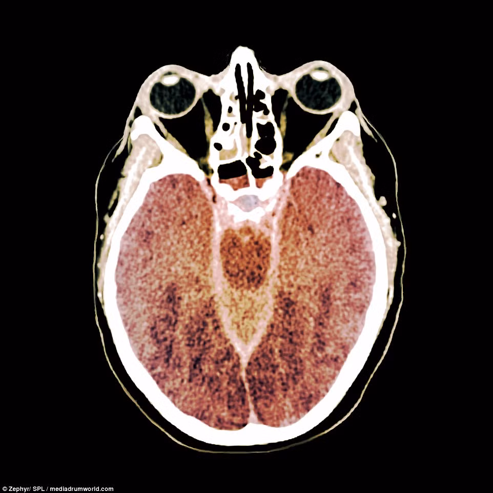
Đây là hình ảnh chụp CT của một bệnh nhân đang chỉ sống nhờ máy móc vì chết não, tức mất đi toàn bộ chức năng của cơ thể. Não chết do thiếu oxy, hay còn gọi là thiếu oxy huyết, mặc dù bệnh nhân đã được hồi sức sau tai nạn lặn. Ảnh cho thấy mật độ não bị giảm trên toàn bộ khối não, điều thường thấy ở những người bị thiếu oxy huyết.
Đây là hình ảnh chụp CT của một bệnh nhân đang chỉ sống nhờ máy móc vì chết não, tức mất đi toàn bộ chức năng của cơ thể. Não chết do thiếu oxy, hay còn gọi là thiếu oxy huyết, mặc dù bệnh nhân đã được hồi sức sau tai nạn lặn. Ảnh cho thấy mật độ não bị giảm trên toàn bộ khối não, điều thường thấy ở những người bị thiếu oxy huyết.
Đây là hình ảnh của não trong cơn đột quỵ. Ảnh chụp CT cho thấy vùng não bên phải của bệnh nhân đã bị liệt sau khi bị đột quỵ. Đột quỵ xảy ra khi lượng máu cung cấp cho một vùng não nào đó bị thiếu hoặc hoàn toàn không có khiến các tế bào não chết đi.
Đây là hình ảnh của não trong cơn đột quỵ. Ảnh chụp CT cho thấy vùng não bên phải của bệnh nhân đã bị liệt sau khi bị đột quỵ. Đột quỵ xảy ra khi lượng máu cung cấp cho một vùng não nào đó bị thiếu hoặc hoàn toàn không có khiến các tế bào não chết đi.
Đây là não của một bệnh nhân bị bệnh Parkinson. Hai cực điện của thiết bị kích thích não đã được cấy vào não để điều hòa nhịp tim. Thiết bị này gửi tín hiệu xung điện đến các vùng não màu xanh để cải thiện những triệu chứng của bệnh này.
Đây là não của một bệnh nhân bị bệnh Parkinson. Hai cực điện của thiết bị kích thích não đã được cấy vào não để điều hòa nhịp tim. Thiết bị này gửi tín hiệu xung điện đến các vùng não màu xanh để cải thiện những triệu chứng của bệnh này.
Đây là hình ảnh chụp 3D của hộp sọ, các động mạch, não và mặt của một bệnh nhân để đánh giá về xuất huyết dưới màng nhện khi bệnh nhân bị phình mạch máu. Xuất huyết dưới màng nhện là một dạng đột quỵ hiếm gặp vì gây chảy máu trên màng não.
Đây là hình ảnh chụp 3D của hộp sọ, các động mạch, não và mặt của một bệnh nhân để đánh giá về xuất huyết dưới màng nhện khi bệnh nhân bị phình mạch máu. Xuất huyết dưới màng nhện là một dạng đột quỵ hiếm gặp vì gây chảy máu trên màng não.
Cặp ốc tai cấy ghép cho những người mất thính lực có thể nhìn rõ qua hình ảnh này, gồm một bộ xử lý âm thanh gắn phía sau tai truyền tín hiệu đến bộ truyền âm gắn vào da đầu. Bộ truyền âm này lại tiếp tục gửi tín hiệu vào ốc tai ở phần tai trong rồi truyền tới não để bệnh nhân có thể nghe được.
Cặp ốc tai cấy ghép cho những người mất thính lực có thể nhìn rõ qua hình ảnh này, gồm một bộ xử lý âm thanh gắn phía sau tai truyền tín hiệu đến bộ truyền âm gắn vào da đầu. Bộ truyền âm này lại tiếp tục gửi tín hiệu vào ốc tai ở phần tai trong rồi truyền tới não để bệnh nhân có thể nghe được.
Hình ảnh não của một bệnh nhân bị vỡ sọ vì tai nạn giao thông. Người ta phải dùng đến những mảnh titan và ốc vít để cố định vết nứt trên sọ và dùng băng dính dán vào da đầu để giữ.
Hình ảnh não của một bệnh nhân bị vỡ sọ vì tai nạn giao thông. Người ta phải dùng đến những mảnh titan và ốc vít để cố định vết nứt trên sọ và dùng băng dính dán vào da đầu để giữ.
Ảnh chụp não của một bệnh nhân bị u màng não với quá nhiều mạch máu đổ về khối u. Các khối u này thường lành tính, chỉ có một số ít trường hợp là ung thư.
Ảnh chụp não của một bệnh nhân bị u màng não với quá nhiều mạch máu đổ về khối u. Các khối u này thường lành tính, chỉ có một số ít trường hợp là ung thư.
Ảnh chụp cắt lớp 3D của một bệnh nhân cho thấy các động mạnh bên trong và ngoài của não bên phải để đánh giá xuất huyết màng não.
Ảnh chụp cắt lớp 3D của một bệnh nhân cho thấy các động mạnh bên trong và ngoài của não bên phải để đánh giá xuất huyết màng não.

GALLERY MỚI NHẤT

Sai lầm khi dùng tai nghe nhét tai

Sai lầm khi dùng tai nghe nhét tai

Tai nghe nhét tai tiện lợi nhưng dễ tích tụ bụi bẩn, vi khuẩn. Vệ sinh sai cách hoặc bỏ qua thói quen này có thể ảnh hưởng đến sức khỏe tai.