Khi dùng tay xô đẩy bạn nhậu, Nguyễn Văn Hải (Hà Tĩnh) đã làm nạn nhân ngã đập đầu xuống nền sân bê tông, bị chấn thương sọ não với tỷ lệ thương tích là 64%.
Xạ phẫu bằng dao gamma quay được xem là “bước tiến vàng” trong điều trị u não và các bệnh lý sọ não. Ai là đối tượng phù hợp? Vì sao đây được coi là "cứu cánh" cho bệnh nhân không thể phẫu thuật?
Phẫu thuật thần kinh đòi hỏi độ chính xác cao nhất, đặc biệt khi xử lý các tổn thương sọ não do chấn thương hoặc dị vật nội sọ. Nhờ công nghệ tiên tiến định vị chính xác có thể lấy bỏ toàn bộ dị vật.
Ngay trong đêm, các bác sĩ Bệnh viện Đa khoa Hùng Vương Phú Thọ đã sử dụng hơn 40 chiếc đinh vít được sử dụng để hồi sinh khuôn mặt cho bệnh nhân chấn thương sọ não, chấn thương hàm mặt nghiêm trọng.
Một tai nạn hy hữu xảy ra khiến nam bệnh nhân bị đa chấn thương nguy kịch, đứt đôi khí quản kèm vỡ hàm mặt phức tạp, chấn thương sọ não, nguy cơ tử vong cận kề.
Các bác sĩ Bệnh viện Hữu nghị Việt Nam - Cu Ba Đồng Hới đã phẫu thuật cấp cứu, cứu chữa thành công một bệnh nhân bị chấn thương sọ não nặng GCS 4 điểm, tiên lượng rất nặng.
Dị vật xuyên màng não là cấp cứu ngoại khoa nghiêm trọng, tùy theo vị trí tổn thương của dị vật mà có thể dẫn đến các biến chứng nguy hiểm như: yếu liệt chi, rối loạn chức năng sống, áp xe não, thậm chí tử vong.
14 trường hợp đưa vào cấp cứu Bệnh viện E sau vụ tai nạn liên hoàn diễn ra ngày 5/4/2023 tại Xuân La, Tây Hồ, Hà Nội, hiện chỉ còn 8 trường hợp đang điều trị.
(Kiến Thức) - Hành vi đánh bé 12 tuổi ở Ciputra của ông Trần Đức Hà là hành vi đáng bị xử lý nghiêm bởi trẻ em là đối tượng đặc biệt được pháp luật Việt Nam và cả Công ước quốc tế bảo vệ. Tuy nhiên, để khởi tố vụ án, cơ quan công an cần làm rõ nhiều vấn đề, tình tiết liên quan.
(Kiến Thức) - Với vụ việc bé trai 12 tuổi bị đánh ở Ciputra việc Chủ tịch UBND TP Hà Nội có công văn chỉ đạo CATP Hà Nội và Công an quận Bắc Từ Liêm xác minh làm rõ để xử lý theo quy định pháp luật là điều dễ hiểu. Bởi vậy vụ việc này sẽ sớm có kết luận và có hình thức xử lý theo quy định pháp luật.
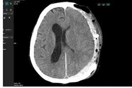
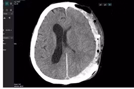
(khoahocdoisong.vn) - Chấn thương sọ não nặng được điều trị bằng phẫu thuật, hồi sức hoặc phối hợp. Kết quả hồi sức và điều trị bệnh nhân chấn thương sọ não nặng phụ thuộc vào nhiều yếu tố như tuổi, tình trạng bệnh nhân, tổn thương tại não, tổn thương phối hợp, thời điểm điều trị.
(khoahocdoisong.vn) - Chấn thương sọ não thường bắt nguồn từ các loại chấn thương về não bao gồm chảy máu, chấn động mạnh, rung động não hoặc não bị bầm.
(Kiến Thức) - Các chuyên gia khuyến cáo rằng nếu có các triệu chứng dưới đây xảy ra, ta nên đến bệnh viện kiểm tra ngay lập tức và chẩn đoán để loại trừ ung thư mũi họng.