Bệnh nhân 21 tuổi ở Khánh Hoà bị vỡ tim, đa chấn thương nghiêm trọng sau tai nạn giao thông vừa được các bác sĩ Bệnh viện Nhiệt đới Trung ương cứu sống.
Các bác sĩ khoa Hồi sức tích cực và Chống độc - Bệnh viện Hữu Nghị vừa điều trị thành công cho một bệnh nhân bị suy hô hấp và rối loạn huyết động (sốc) do tắc động mạch phổi cấp.
Các bác sĩ khoa Hồi sức tích cực và Chống độc - Bệnh viện Hữu Nghị vừa điều trị thành công cho một bệnh nhân bị suy hô hấp và rối loạn huyết động (sốc) do tắc động mạch phổi cấp.
Các bác sĩ khoa Sơ sinh, Bệnh viện Sản Nhi tỉnh Phú Thọ cho biết, bệnh viện vừa thực hiện cứu sống một trường hợp trẻ sơ sinh bị tổn thương não do bị ngạt khi sinh bằng phương pháp hạ thân nhiệt chỉ huy.
Vết thương tim là một cấp cứu tối khẩn cấp, các vết thương do vật sắc nhọn xuyên vào lồng ngực thường gây ra các tổn thương nặng nề và có thể gây tử vong nhanh chóng.
(Vietnamdaily) - Bệnh nhân 44 tuổi bị nhồi máu cơ tim dẫn đến ngưng tim trên đường chuyển đến Bệnh viện Đa khoa Xuyên Á (TP.HCM) may mắn được các bác sĩ cứu sống kịp thời.
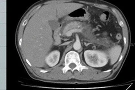
Ngày 14/1, Bệnh viện Đa khoa Trung ương Cần Thơ cho biết, Bệnh viện vừa cứu sống hai bệnh nhân bị chấn thương vùng bụng, đứt đôi dạ dày, vỡ đôi tụy, vỡ gan.
Bệnh viện Trung ương Huế công bố 6 người khỏi bệnh COVID-19, nhưng chỉ một người được xuất viện về nhà, còn 5 bệnh nhân tiếp tục ở lại điều trị bệnh nền.
(khoahocdoisong.vn) - Trước nguy cơ tử vong của bệnh nhân ngất xỉu do nhịp tim chậm, các bác sĩ bệnh viện Đa khoa Hà Tĩnh đã xin tài trợ lắp máy tạo nhịp tim vĩnh viễn để cứu sống người bệnh.
Gần 40 năm gắn bó với nghề y, bác sĩ Ngô Đức Đễ, Trưởng khoa Ngoại tổng hợp, Bệnh viện đa khoa Đồng Nai đã 2 lần được nhận bằng khen đột xuất của Thủ tướng.