20h ngày 8/5, bé Nguyễn Ngọc Gia Hân (13 tháng tuổi, ở Kiến An, Hải Phòng) được gia đình đưa đến Bệnh viện Trẻ em Hải Phòng cấp cứu. Khi đó, bé gái bị ti vi rơi vào đầu dẫn đến hôn mê, có cơn ngừng thở, vết thương ở vùng đầu sưng nề, không chảy máu, có nguy cơ tử vong cao.
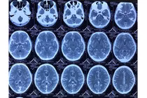
Các bác sĩ đã cấp cứu ngừng thở, chụp CT vùng đầu. Kết quả cho thấy bé bị dập não, vỡ xương sọ vùng chẩm, chưa thấy khối máu tụ. Sau 4 giờ được cấp cứu tích cực, sức khỏe của cháu bé tiến triển xấu.
![]() |
| Bé Hân tiếp tục được theo dõi ở bệnh viện. Ảnh: Tùng Chi. |
Lần chụp CT thứ 2 cho thấy hình ảnh khối máu tụ ở vùng tiểu não, đe dọa tính mạng. Các bác sĩ hội chẩn và quyết định phẫu thuật mở hộp sọ ngay trong đêm. Kíp mổ đã tìm thấy điểm tụ máu, điểm máu chảy và cầm máu vùng tiểu não. Sau ca mổ, các chỉ số sinh tồn của cháu bé ổn định, tiến triển tốt.
Chị Nguyễn Thị Nhớ (30 tuổi, mẹ của bé Gia Hân) cho biết do bố mẹ đi làm về muộn nên anh em bé được gửi bà nội trông. Bà mải việc nhà, để hai cháu nhỏ chơi trong phòng ngủ. Hai đứa trẻ nô đùa khiến chiếc tivi 43 inch ở trên bàn rơi trúng đầu bé Hân. Khi bà phát hiện, bé đã bất tỉnh.
