Theo thông tin từ Trung tâm Y tế huyện Thanh Ba (Phú Thọ), bệnh nhân nam 57 tuổi, có tiền sử khỏe mạnh, sau khi đi khám sức khỏe định kỳ phát hiện u gan dù cơ thể không có triệu chứng bất thường nào.
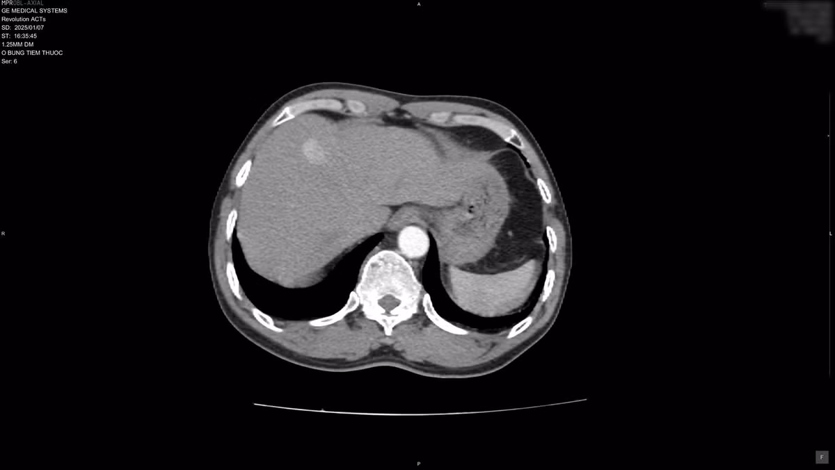
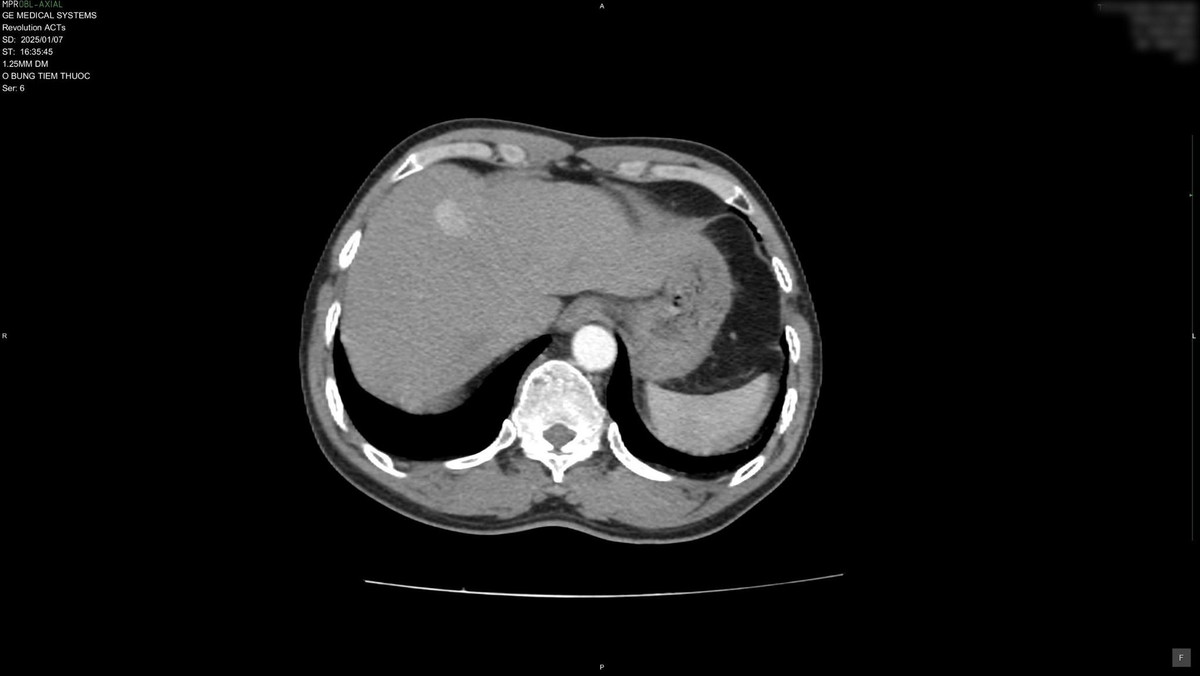
Tại đây, kết quả chụp CLVT ổ bụng có thuốc cản quang cho thấy khối u gan kích thước 22x13mm. Bệnh nhân được tư vấn lên tuyến truyền khám và điều trị chuyên sâu.
Theo BSCKII. Nguyễn Thị Hải Yến, Trưởng khoa Khám bệnh - TTYT huyện Thanh Ba cho biết: Trường hợp của người bệnh trên là ví dụ điển hình cho thấy lợi ích của khám sức khỏe định kỳ.
![]() |
| Kết quả chụp CLVT ổ bụng có thuốc cản quang cho thấy khối u gan kích thước 22x13mm. Ảnh TTYT huyện Thanh Ba (Phú Thọ) |
Đã có không ít trường hợp, người dân chỉ đến khám khi có triệu chứng bệnh bất thường về sức khỏe. Kết quả sau đó thường tình trạng bệnh đã nghiêm trọng và cho kết quả là ung thư. Điều này ảnh hưởng trực tiếp đến sức khỏe của người bệnh, khó khăn cho quá trình điều trị.
Qua đây, các bác sĩ khuyến cáo người dân: Cần tiến hành khám sức khỏe định kỳ 6 tháng một lần hoặc ít nhất mỗi năm một lần. Thông qua khám định kỳ, những bất thường về sức khỏe sẽ được phát hiện kịp thời. Bệnh lý được can thiệp sớm nên hiệu quả điều trị cao, hạn chế nguy cơ biến chứng, tiết kiệm chi phí điều trị.
Bên cạnh đó, khi đi khám sức khỏe, các bác sĩ sẽ tư vấn về chế độ dinh dưỡng, điều chỉnh chế độ làm việc, thay đổi lối sống nhằm loại bỏ các yếu tố nguy cơ gây bệnh, phòng tránh bệnh hiệu quả.
