Đang khỏe mạnh, người đàn ông Camphuchia 41 tuổi phát hiện ung thư đại tràng di căn gan. Dùng thuốc giảm đau không có kết quả, bệnh nhân sang Việt Nam điều trị và nhận được kết quả bất ngờ.
Bệnh nhân nam 57 tuổi, đi khám sức khỏe định kỳ tại Trung tâm Y tế huyện Thanh Ba (Phú Thọ) bất ngờ phát hiện khối u gan dù cơ thể không có dấu hiệu bất thường nào.
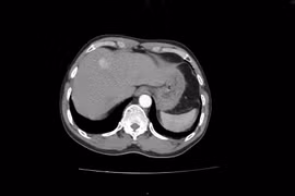
Các bác sĩ Bệnh viện Việt Nam – Thụy Điển Uông Bí vừa tiến hành phẫu thuật cắt khối u gan lớn kích thước 5x5cm cho bệnh nhân nam 70 tuổi ở Đông Triều – Quảng Ninh.
Các bác sĩ Bệnh viện Việt Nam – Thụy Điển Uông Bí vừa tiến hành phẫu thuật cắt khối u gan lớn kích thước 5x5cm, kịp thời cứu sống người bệnh nam 70 tuổi (Đông Triều – Quảng Ninh).
Các bác sĩ đã phải sử dụng hệ thống hỗ trợ tuần hoàn ngoài cơ thể để cắt bỏ gan phải, lấy huyết khối từ tĩnh mạch chủ dưới và tái tạo lại mạch máu cho bệnh nhân.
Các bác sĩ đã phải sử dụng hệ thống hỗ trợ tuần hoàn ngoài cơ thể để cắt bỏ hoàn toàn gan phải, lấy huyết khối từ tĩnh mạch chủ dưới và tái tạo lại mạch máu cho bệnh nhân. Người mắc viêm gan B cần cẩn thận.
Hơn 60% người ung thư gan liên quan đến mắc viêm gan B. Người mắc viêm gan B mạn thường thấy khỏe mạnh và không có triệu chứng. Do đó cần phát hiện kịp thời để ngăn ngừa các biến chứng suy gan, xơ gan, và ung thư gan.
Chỉ khoảng 20% bệnh nhân ung thư gan tại thời điểm chuẩn đoán có thể thực hiện phẫu thuật cắt gan. Đây là kỹ thuật khó nhưng là phương pháp điều trị triệt căn hiệu quả hàng đầu.
Người bệnh nhập viện trong tình trạng đau nhói vùng hạ sườn phải, sốt nhẹ không giảm và xuất hiện vàng da nhẹ. Gan của anh có một khối u và có dấu hiệu di căn.
Người bệnh nhập viện trong tình trạng đau nhói vùng hạ sườn phải, sốt nhẹ không giảm và xuất hiện vàng da nhẹ. Gan của anh có một khối u và có dấu hiệu di căn.
Thay vì phẫu thuật hở với vết mổ lớn, gây đau nhiều và lâu hồi phục, Bệnh viện Hữu nghị Việt Nam - Cuba Đồng Hới (Quảng Bình) đã cắt u gan bằng phương pháp nội soi với vết mổ nhỏ 4mm- 1cm. Thành công này giúp bệnh nhân đỡ phải chuyển lên tuyến trên.
(VietnamDaily) - Gan không có dây thần kinh cảm giác, vì vậy, khi bị bệnh thường không có triệu chứng nào. Bạn cần đặc biệt chú ý đến các dấu hiệu này, nếu không gan tổn thương càng thêm nặng.
(Kiến Thức) - Gan không có dây thần kinh cảm giác, vì vậy, khi bị bệnh thường không có triệu chứng nào. Bạn cần đặc biệt chú ý đến các dấu hiệu này, nếu không gan tổn thương càng thêm nặng.
(khoahocdoisong.vn) - Người bị ung thư thể can ngoài đau vùng gan còn căng thẳng thần kinh, rối loạn tiêu hóa nên cần theo phép biện chứng luận trị để trị liệu.
(khoahocdoisong.vn) - ThS.BS Đào Trung Hiếu, Phó Giám đốc Bệnh viện Nhi đồng 1 TPHCM cho biết, mới đây, các bác sĩ ở đây vừa phẫu thuật cắt u gan trên trẻ sơ sinh. Ca phẫu thuật này gần như hiếm gặp, chưa ghi nhận ở Việt Nam.
(khoahocdoisong.vn) - Bệnh viện Nhi T.Ư vừa phải cắt gan bảo toàn tính mạng cho bệnh nhi 14 ngày tuổi bị u máu gan lan tỏa chiếm toàn bộ nhu mô gan trái. U máu gan ở trẻ sơ sinh tuy lành tính nhưng lại gây nhiều biến chứng nguy hiểm như suy tim, suy hô hấp... vì vậy, cần phát hiện và điều trị sớm.