5 loại ung thư cực hiếm nhưng cực kỳ nguy hiểm

5 loại ung thư cực hiếm nhưng cực kỳ nguy hiểm

(Kiến Thức) - Đừng chủ quan với các loại ung thư hiếm gặp sau bởi nó vô cùng nguy hiểm.

Có nhiều kiến thức về ung thư chúng ta chưa thể nhận biết hết. Qua 10 năm nghiên cứu của các loại bệnh ung thư thì có 60 trên 71 loại hiếm. Dưới đây là các loại ung thư hiếm gặp mà hầu như bạn chưa hề biết tới.
Có nhiều kiến thức về ung thư chúng ta chưa thể nhận biết hết. Qua 10 năm nghiên cứu của các loại bệnh ung thư thì có 60 trên 71 loại hiếm. Dưới đây là các loại ung thư hiếm gặp mà hầu như bạn chưa hề biết tới.
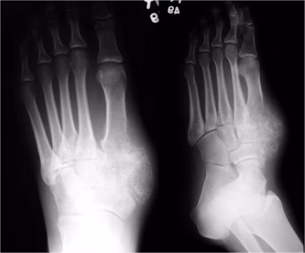
Ung thư chân. Rất hiếm người bị ung thư này vì nó không phổ biến, nhưng đừng bao giờ bỏ qua. Mọi người nên để ý đến những dấu hiệu bất thường ở chân như một nốt ruồi đang lớn dần, cảm giác lạ, đau ở chân. Đó có thể là dấu hiệu của ung thư da, mạch máu, xương hoặc dây thần kinh.
Ung thư chân. Rất hiếm người bị ung thư này vì nó không phổ biến, nhưng đừng bao giờ bỏ qua. Mọi người nên để ý đến những dấu hiệu bất thường ở chân như một nốt ruồi đang lớn dần, cảm giác lạ, đau ở chân. Đó có thể là dấu hiệu của ung thư da, mạch máu, xương hoặc dây thần kinh.
Trong đó, ung thư da là phổ biến nhất trên chân. Tuy nhiên, nó vẫn được xếp vào dạng hiếm khi chỉ có khoảng 10 ca mắc ở Mỹ mỗi năm. Ung thư da ở chân thường là dạng u hắc tố. Tỷ lệ những khối u này xuất hiện ở chân là 3 đến 5%. Nó liên quan nhiều hơn đến yếu tố di truyền hoặc hóa chất gây ung thư chứ không phải ánh sáng mặt trời.
Trong đó, ung thư da là phổ biến nhất trên chân. Tuy nhiên, nó vẫn được xếp vào dạng hiếm khi chỉ có khoảng 10 ca mắc ở Mỹ mỗi năm. Ung thư da ở chân thường là dạng u hắc tố. Tỷ lệ những khối u này xuất hiện ở chân là 3 đến 5%. Nó liên quan nhiều hơn đến yếu tố di truyền hoặc hóa chất gây ung thư chứ không phải ánh sáng mặt trời.
Ung thư tuyến nước bọt. Loại ung thư này chỉ chiếm 3-5% các trường hợp ung thư vùng đầu cổ. Triệu chứng của nó là một phần khuôn mặt bị tê cứng và phát triển các khối u ở mang tai, má, cằm hoặc trong miệng.
Ung thư tuyến nước bọt. Loại ung thư này chỉ chiếm 3-5% các trường hợp ung thư vùng đầu cổ. Triệu chứng của nó là một phần khuôn mặt bị tê cứng và phát triển các khối u ở mang tai, má, cằm hoặc trong miệng.
Khác với ung thư vùng đầu cổ khác, ung thư tuyến nước bọt không liên quan đến thuốc lá và cũng không có tính di truyền. Nó thường xuất hiện ở nam giới nhiều hơn và có liên quan đến sự ô nhiễm trong môi trường làm việc. Phương pháp xạ trị và phẫu thuật vẫn chưa có kết quả cao với loại ung thư này.
Khác với ung thư vùng đầu cổ khác, ung thư tuyến nước bọt không liên quan đến thuốc lá và cũng không có tính di truyền. Nó thường xuất hiện ở nam giới nhiều hơn và có liên quan đến sự ô nhiễm trong môi trường làm việc. Phương pháp xạ trị và phẫu thuật vẫn chưa có kết quả cao với loại ung thư này.
Ung thư âm đạo. Khi phụ nữ đến tuổi, tế bào trong âm đạo thay đổi và có khả năng biến thành ung thư. Tuy nhiên, những trường hợp này rất hiếm. Và phần lớn chúng đến từ ung thư da tế bào vảy. Nó phát triển một khối u trong âm đạo gần cổ tử cung và xuất hiện sau thời kỳ mãn kinh.
Ung thư âm đạo. Khi phụ nữ đến tuổi, tế bào trong âm đạo thay đổi và có khả năng biến thành ung thư. Tuy nhiên, những trường hợp này rất hiếm. Và phần lớn chúng đến từ ung thư da tế bào vảy. Nó phát triển một khối u trong âm đạo gần cổ tử cung và xuất hiện sau thời kỳ mãn kinh.
Các khối u âm đạo thường nhỏ và có thể điều trị bằng phẫu thuật, xạ trị cũng được áp dụng. Những phụ nữ đã từng có mụn cóc sinh dục có khả năng bị ung thư này cao hơn những người khác.
Các khối u âm đạo thường nhỏ và có thể điều trị bằng phẫu thuật, xạ trị cũng được áp dụng. Những phụ nữ đã từng có mụn cóc sinh dục có khả năng bị ung thư này cao hơn những người khác.
U hộp sọ và cột sống. Đây là một loại ung thư xương trong hộp sọ hay cột sống. Tỷ lệ người mắc ung thư này là 1/1 triệu. U này phát triển từ tàn tích rất nhỏ của sụn khớp và có thể người bệnh đã mang nó từ trong bụng mẹ.
U hộp sọ và cột sống. Đây là một loại ung thư xương trong hộp sọ hay cột sống. Tỷ lệ người mắc ung thư này là 1/1 triệu. U này phát triển từ tàn tích rất nhỏ của sụn khớp và có thể người bệnh đã mang nó từ trong bụng mẹ.
Ung thư sụn trung mô. Loại ung thư này cực hiếm và chỉ có khoảng 1000 trường hợp mắc bệnh từ năm 1959. Mặc dù hiếm, ung thư sụn trung mô rất nguy hiểm và tiến triển nhanh. Nó tấn công hạch bạch huyết và lây lan ra các cơ quan khác nếu không phát hiện sớm.
Ung thư sụn trung mô. Loại ung thư này cực hiếm và chỉ có khoảng 1000 trường hợp mắc bệnh từ năm 1959. Mặc dù hiếm, ung thư sụn trung mô rất nguy hiểm và tiến triển nhanh. Nó tấn công hạch bạch huyết và lây lan ra các cơ quan khác nếu không phát hiện sớm.
Sụn trung mô tập trung 2/3 ở xương sống, xương sườn và hàm, một số ở cơ bắp và mô mỡ. Các khối u ung thư có thể xuất hiện bất cứ vị trí nào và ít triệu chứng xác định. Chỉ biết, nếu khối u ở cột sống thì bệnh nhân sẽ mất cảm giác và tê liệt phần lưng.
Sụn trung mô tập trung 2/3 ở xương sống, xương sườn và hàm, một số ở cơ bắp và mô mỡ. Các khối u ung thư có thể xuất hiện bất cứ vị trí nào và ít triệu chứng xác định. Chỉ biết, nếu khối u ở cột sống thì bệnh nhân sẽ mất cảm giác và tê liệt phần lưng.
http://www.prevention.com/health/5-types-of-cancer-youve-never-heard-of

GALLERY MỚI NHẤT