Keo 502 dính vào tay nếu không xử lý đúng cách có thể gây đau rát, trầy xước da. Một vài mẹo đơn giản tại nhà có thể giúp bạn gỡ keo nhanh chóng, an toàn và không làm tổn thương da.
Ca bệnh kỳ tích hiếm gặp Pemphigus á u là bệnh da tự miễn liên quan đến khối u trong cơ thể ước tính tỷ lệ mắc pemphigus á u dưới 1/1.000.000 dân mỗi năm. Tại Việt Nam, chưa có bất cứ báo cáo ca bệnh nào được công bố.
Cha mẹ hãy cẩn trọng khi dùng thuốc cho con bởi trẻ có thể tiềm ẩn rất nhiều nguy cơ, đặc biệt là phản ứng dị ứng nghiêm trọng gây tổn thương da và niêm mạc, thậm chí đe dọa tính mạng.
Hầu hết các nốt ruồi là sự phát triển lành tính và có thể điều trị hoặc không cần điều trị. Thế nhưng, một số nốt ruồi sắc tố có thể trở thành ác tính.
Hầu hết các nốt ruồi là sự phát triển lành tính và có thể điều trị hoặc không cần điều trị. Thế nhưng, một số nốt ruồi sắc tố có thể trở thành ác tính.
(khoahocdoisong.vn) - TS Hoàng Thị Thu và cộng sự Viện Vật lý TPHCM đã nghiên cứu thành công quy trình sản xuất vật liệu nano bạc chứa chấm lượng tử graphene trên nền chitosan ở quy mô công nghiệp, đồng thời ứng dụng vật liệu này trong việc chế tạo chế phẩm điều trị các tổn thương ngoài da do vi khuẩn và virus.
(khoahocdoisong.vn) - Tổn thương da trong nhiễm Covid-19 đa dạng và một số triệu chứng da có liên quan đến mức độ nặng của bệnh. Nhận định tổn thương da có thể giúp ích trong chẩn đoán sớm nhiễm Covid-19 trong một số trường hợp ít triệu chứng toàn thân, đồng thời một số tổn thương có thể giúp tiên lượng được mức độ nặng của bệnh.
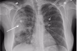
(khoahocdoisong.vn) - Các bệnh lý viêm nhiễm ở phổi thường do các tác nhân gây bệnh xâm nhập qua niêm mạc của đường hô hấp khi người bệnh hít phải các tác nhân này. Tuy nhiên, một “cửa ngõ” có thể là đường vào của nhiều loại vi khuẩn gây viêm phổi mà ít người để ý đó là da.
(khoahocdoisong.vn) - Ở trẻ nhỏ, những tổn thương ngoài da như viêm da, mụn nhọt, các ổ áp-xe, viêm phổi, tiêu chảy do vi khuẩn đường ruột, viêm màng não mủ… là con đường để vi khuẩn xâm nhập vào và đi vào máu gây nhiễm trùng huyết.
Các bác sĩ Bệnh viện Da liễu T.Ư mới tiếp nhận bệnh nhân nữ (22 tuổi) bị bội nhiễm virus, vi khuẩn nặng, tổn thương toàn bộ da mặt vì sử dụng bột rửa mặt mua qua mạng.
(khoahocdoisong.vn) - Cách chữa bệnh zona thần kinh bằng các nguyên liệu có sẵn tại nhà hiện nay đang là một trong những phương pháp ưa chuộng của nhiều người, đặc biệt là những ai đang mắc phải căn bệnh này. Dưới đây là một số nguyên liệu bạn có thể áp dụng để điều trị bệnh zona thần kinh đơn giản mà an toàn.
(Kiến Thức) - Một số thói quen bạn vẫn làm hàng ngày với mục đích bảo vệ da có thể mang lại những tác hại không mong muốn. Hãy cùng tìm hiểu những lí do cụ thể vì sao làn da lại không hài lòng với bạn!