Trường hợp này là một lời cảnh báo về việc ký sinh trùng không chỉ gây bệnh ở đường tiêu hóa mà chúng còn xâm nhập vào các cơ quan quan trọng như mắt, não, phổi, gan, hoặc tim...
Sỏi thận là một bệnh lý thường gặp ở đường tiết niệu, chiếm tỷ lệ lớn nhất khoảng 48%. Có nhiều nguyên nhân gây bệnh, trong đó có một số thói quen xấu trong ăn uống.
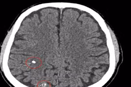
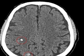
Mới đây, Trung tâm y tế huyện Thanh Sơn (Phú Thọ) đã tiếp nhận người bệnh Đ.V.C. (66 tuổi, trú tại xã Thượng Cửu, huyện Thanh Sơn) trong tình trạng cổ to bất thường, kèm theo chóng mặt, đau đầu.
Theo PGS.TS.BS. Lâm Vĩnh Niên, Trưởng Khoa Dinh dưỡng - Tiết chế (Bệnh viện Đại học Y Dược TP.HCM), có hai thói quen ăn uống không tốt đó là ăn quá nhanh và ăn quá chậm.
Những thói quen ăn uống tưởng chừng như vô hại lại chính là nguyên nhân đang âm thầm tàn phá các bộ phận trên cơ thể. Nếu không thay đổi sớm sẽ dẫn đến những căn bệnh nguy hiểm, khó điều trị.
Tết là thời điểm của nhiều bệnh thường gặp ở trẻ em do thói quen ăn uống và sinh hoạt thường bị xáo trộn và đặc tính hoạt động mạnh của một số loại virus.
Dinh dưỡng thực sự đóng vai trò vô cùng quan trọng trong việc giữ gìn sức khỏe và sắc đẹp của phụ nữ. Có những thói quen ăn uống khiến chị em có gen trẻ lâu cỡ nào cũng nhanh thoái hóa.
Có rất nhiều nguyên nhân dẫn đến việc hình thành sỏi thận, trong đó thói quen ăn uống không hợp lý có mối liên quan mật thiết đến bệnh lý này. Dưới đây là một số sai lầm trong thói quen ăn uống dễ gây sỏi thận cần bỏ ngay.