Đồ chay sáng tạo không chỉ ngon mà còn hỗ trợ lối sống lành mạnh trong các dịp lễ, thay thế món mặn, mang đến sự mới mẻ với nguyên liệu tươi ngon, màu sắc và hương vị hấp dẫn.
Rất nhiều người bị áp xe gan do ký sinh trùng mà không biết. Vì vậy, người dân cần chú ý tẩy giun sán định kỳ và đi viện kịp thời khi có triệu chứng đau bụng âm ỉ, nôn ói, đầy hơi,...
Để làm sạch rau trước khi ăn, chuyên gia hướng dẫn người dân cần loại bỏ các loại rau dập nát, cắt bỏ cả gốc, rễ... Sau đó, ngâm rau củ vào nước lạnh trong khoảng 5-10 phút...
Rau củ được nhiều người ưa chuộng bởi bổ dưỡng và cách chế biến đơn giản. Một số loại rau tuy giàu chất dinh dưỡng nhưng lại chứa nhiều ký sinh trùng gây hại sức khỏe, các bà nội trợ đặc biệt cẩn thận khi sơ chế và chế biến.
Thường xuyên ăn rau sống, người phụ nữ 65 tuổi ở Hạ Hòa, Phú Thọ không ngờ mình bị nhiễm cùng lúc 5 loại giun, sán nguy hiểm. Nhiễm giun sán không chỉ ảnh hưởng nghiêm trọng đến sức khỏe mà có thể đe dọa tính mạng người bệnh.
Sau khi ăn rau sống và thịt lợn hun khói thì ông M. xuất hiện đau bụng, nôn nhiều và đi ngoài. Các bác sĩ chẩn đoán bị sốc do hoại tử ruột non. Đây là bệnh lý rất nặng, tử vong cao, cần được xử trí kịp thời.
Mới đây trên một diễn đàn về ẩm thực, vị khách có tên N.P.T. chia sẻ hình ảnh về suất phở cuốn có giun còn sống, bò lổm ngổm khiến ai xem cũng cảm thấy kinh hãi.
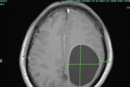
Người bệnh Hà Văn K (60 tuổi), tại huyện Thanh Sơn thường xuyên ăn tiết canh, rau sống… Khi bị đau đầu, liệt nửa người phải nhập viện thì được chẩn đoán mắc đa nang kén sán não.
Nhiễm giun sán là bệnh lý thường gặp nhất do ăn rau sống không được rửa sạch sẽ với tỷ lệ từ 5 - 7%. Người bệnh nhiễm giun sán có thể bị động kinh, liệt tay chân, rối loạn trí nhớ nếu không được điều trị kịp thời.
Nhiều người bị sán lá gan do nghiền ăn những món khoái khẩu như gỏi cá, gỏi tôm, rau sống… Sán lá gan nặng có thể gây xơ hóa, thoái hóa mỡ gan, cổ trướng với kích thước gan to gấp 2-3 lần bình thường – gây ung thư gan.
Không chỉ là một loại thực phẩm, loại rau này còn có nhiều lợi ích sức khỏe, đặc biệt có chứa beta carotene giúp làm chậm quá trình lão hóa, làm đẹp da hiệu quả.
Rau sống là món ăn khoái khẩu của không ít gia đình. Tuy nhiên, nếu không được chế biến đảm bảo an toàn vệ sinh, món ăn này sẽ gây nhiều bệnh cho người sử dụng.
Rau sống là món ăn khoái khẩu của không ít gia đình. Nhiều bà nội trợ cho rằng ngâm rau trong nước muối là có thể an tâm tuy nhiên điều này chưa chính xác.