Người đàn ông 63 tuổi bị ngộ độc methanol do uống rượu không nguồn gốc, nguy cơ tử vong cao vừa được Trung tâm Y tế khu vực Thanh Sơn lọc máu cứu sống.
Methanol là chất cực độc, chỉ cần một lượng nhỏ cũng có thể gây tổn thương não, mù vĩnh viễn, suy đa tạng, thậm chí tử vong... Cần nhận biết để phát hiện sớm.
(Vietnamdaily) - Sở Y tế Ninh Thuận xác định 8 du khách Tiền Giang bị ngộ độc methanol sau khi sử dụng rượu Sơri do đoàn mang theo. Các cơ sở ăn uống tại Ninh Thuận đều đạt tiêu chuẩn an toàn thực phẩm và không phục vụ loại rượu này.
Liên quan đến vụ ngộ độc rượu khiến 6 người phải nhập viện cấp cứu, chiều 1/4, Bệnh viện Chợ Rẫy TP Hồ Chí Minh thông tin, nạn nhân P.N.Q.K. (25 tuổi, ngụ tỉnh Tiền Giang) đã tử vong.
Liên quan đến vụ ngộ độc rượu khiến 6 người phải nhập viện cấp cứu, chiều 1/4, Bệnh viện Chợ Rẫy TP Hồ Chí Minh thông tin, nạn nhân P.N.Q.K. (25 tuổi, ngụ tỉnh Tiền Giang) đã tử vong.
Uống quá nhiều rượu, rượu không đảm bảo... chứa các chất độc hại, ảnh hưởng trực tiếp đến sức khỏe, thậm chí dẫn đến các trường hợp ngộ độc nghiêm trọng.
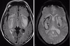
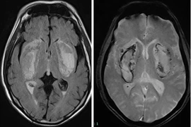
Trong gần 1 tháng qua, khoa cấp cứu BVĐK tỉnh Phú Thọ đã tiếp nhận 2 trường hợp ngộ độc nặng do dùng phải cồn giả pha nước để uống. Tình trạng nguy kịch do methanol đang gia tăng người dân cần biết cách phòng tránh.
(Vietnamdaily) - Sau tiệc nhậu, nhiều người ở huyện Ba Tri (Bến Tre) liên tục bị ngộ độc rượu nghiêm trọng. Có ít nhất 3 người tử vong, 3 bị mù hoặc giảm thị lực.