Mù mắt, hôn mê vì uống cồn pha nước
Theo thông tin từ Bệnh viện Đa khoa tỉnh Phú Thọ ngày 16/8, các bác sĩ tại đây đang cấp cứu, điều trị cho hai bệnh nhân ngộ độc cồn methanol.
Báo Vietnamnet đưa tin, trường hợp thứ nhất, người bệnh nam uống hết 100ml cồn 90 độ pha với 500ml nước lọc. Sau 1 ngày, người bệnh xuất hiện tình trạng đau bụng, nôn ra dịch nâu, thị lực mờ dần, ngày càng suy giảm.
![]() |
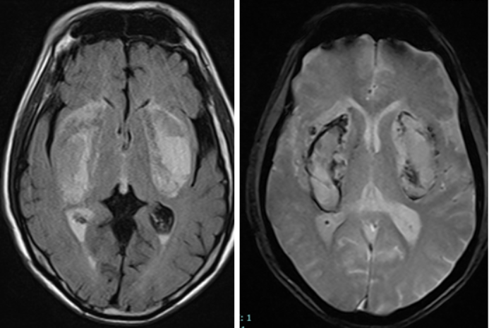
| Hình ảnh não tổn thương do tác dụng của methanol. Ảnh: BVCC/Vietnamnet. |
Người bệnh được chuyển tuyến đến Bệnh viện Đa khoa tỉnh Phú Thọ trong tình trạng mất thị lực. Kết quả xét nghiệm khí máu có tình trạng toan hóa máu, được chẩn đoán ngộ độc methanol. Người bệnh phải lọc máu cấp cứu. Dù sau đó được chuyển lên Khoa Chống độc, Bệnh viện Bạch Mai, điều trị nhưng người bệnh vẫn bị mất thị lực.
Về trường hợp thứ 2, theo VOV, bệnh nhân là nam, 66 tuổi, uống phải cồn giả pha nước lọc. Một ngày sau, ông bị đau đầu, mắt mờ dần, vật vã kích thích, sau đó hôn mê. Bệnh nhân nhập viện trong tình trạng hôn mê sâu, toan chuyển hóa nặng do ngộ độc methanol.
Kết quả chụp cộng hưởng từ sọ não cho thấy có tổn thương nhồi máu, hoại tử, chảy máu nhân bèo hai bên – dạng tổn thương não điển hình do ngộ độc methanol. Dù được hồi sức tích cực, lọc máu, thở máy nhưng tình trạng người bệnh vẫn rất nặng, hôn mê sâu, có nhiều nguy cơ lâm vào tình trạng sống thực vật.
Ngộ độc methanol nguy kiểm sao?
Thạc sĩ, bác sĩ Bùi Tất Luật - Khoa Cấp cứu, Bệnh viện Đa khoa tỉnh Phú Thọ cho biết, trong thời gian gần đây, tình trạng ngộ độc methanol đang có xu hướng gia tăng.
Theo tài liệu của Bộ Y tế, methanol là một loại cồn công nghiệp, có công thức hóa học là CH3OH. Methanol được sử dụng với nhiều mục đích khác nhau như làm sơn, làm dung môi như sơn, dung dịch tẩy rửa, chất chống đông lạnh,...
Các sản phẩm có chứa methanol bao gồm chất lỏng rửa kính chắn gió, chất chống đông đường khí, chất tẩy rửa bộ chế hòa khí, chất lỏng máy sao chép, nước hoa, nhiên liệu hâm nóng thức ăn và các loại nhiên liệu khác…
![]() |
| Ảnh minh họa. |
Vì có độc tính cao với cơ thể nên methanol chỉ được sử dụng với một lượng rất nhỏ trong các dung dịch công nghiệp chứ không được dùng làm rượu thực phẩm như ethanol.
Tuy nhiên, methanol được bán với giá rất rẻ nên dễ bị kẻ xấu sử dụng làm rượu giả, cồn giả pha nước (thay cho ethanol).
Methanol được hấp thu nhanh chóng và hoàn toàn qua đường tiêu hóa, thể tích phân bố 0,7 L/kg, không gắn với protein huyết tương; phần lớn được chuyển hóa qua gan nhưng chậm. Bản thân chất methanol tác dụng giống ethanol (các biểu hiện kiểu say rượu) nhưng sau đó methanol chuyển hóa thành acid formic, sau đó thành fomate, gây nhiễm toan chuyển hóa, gây độc với các tạng, đặc biệt là thần kinh và thị giác, có thể đe dọa tính mạng.
Khi trong rượu uống có cả ethanol và methanol thì chuyển hóa gây độc của methanol xuất hiện chậm hơn và biểu hiện nhiễm độc muộn, có thể bị bỏ sót giai đoạn ngộ độc thực sự về sau của methanol do chú ý hơn vào triệu chứng ngộ độc kiểu ethanol.
Ngộ độc methanol thường nặng, dễ gây tử vong nếu không được phát hiện kịp thời và điều trị tích cực.
Báo Sức khỏe và Đời sống dẫn lời bác sĩ cho biết thêm, ngộ độc methanol thường có 2 giai đoạn, giai đoạn kín đáo trong vòng vài giờ đến khoảng 30 giờ (ức chế thần kinh nhẹ, an thần, vô cảm) và sau đó là giai đoạn ngộ độc rõ. Biểu hiện thường gặp là:
+ Thần kinh: Nhiều bệnh nhân khi đến bệnh viện còn tỉnh táo nhưng rất đau đầu, chóng mặt sau đó có thể gặp các triệu chứng như quên, bồn chồn, hưng cảm, ngủ lịm, lẫn lộn, hôn mê, co giật. Khi ngộ độc nặng có thể có xuất huyết hoặc nhồi máu nhân bèo, tụt não.
+ Mắt: Lúc đầu nhìn bình thường, sau đó 12-14h nhìn mờ, nhìn đôi, cảm giác như có mây che trước mắt, sợ ánh sáng, đau mắt, giảm hoặc mất thị lực, ảo thị…
+ Các di chứng thần kinh: Rối loạn ý thức, hôn mê, hội chứng Parkinson, thiếu hụt nhận thức, viêm tủy cắt ngang, bệnh lý đa dây thần kinh, teo đĩa thị giác, giả liệt vận nhãn…
+ Tim mạch: Giãn mạch, tụt huyết áp và suy tim.
+ Hô hấp: Thở yếu, ngừng thở; thở nhanh, sâu nếu có nhiễm toan chuyển hóa.
+ Tiêu hóa: Viêm dạ dày xuất huyết, viêm tụy cấp biểu hiện đau thượng vị, nôn, tiêu chảy. Ngộ độc trung bình hoặc nặng có thể thay đổi chức năng gan.
+ Thận: Suy thận cấp, biểu hiện đái ít, vô niệu, nước tiểu đỏ hoặc sẫm màu nếu có tiêu cơ vân.
Ngoài ra, bệnh nhân còn có thể bị đau lưng, thân mình, cứng gáy (giống xuất huyết màng não), cứng cơ, da có thể lạnh, vã mồ hôi.
Các biến chứng xảy ra như hôn mê, suy hô hấp, tụt huyết áp, tổn thương não, mờ mắt, hạ thân nhiệt, hạ đường máu, viêm dạ dày, rối loạn nước, điện giải, sặc phổi, viêm phổi, tiêu cơ vân, suy thận và nguy cơ tử vong.
>>> Mời độc giả xem thêm video: 82 người tại Phú Yên ngộ độc thực phẩm
Nguồn video: THĐT

