Đứng cao tới 1,8 mét và nặng tới 200 kg, thế nhưng "cậu nhỏ" của khỉ đột lại có kích thước khiêm tốn. Một nghiên cứu khoa học đã đưa ra một kết quả đáng kinh ngạc khi đánh giá hệ thống sinh sản của khỉ đột.
Tỷ lệ tử vong của ung thư vú phụ thuộc nhiều vào thời điểm phát hiện. Người bệnh được chẩn đoán ở giai đoạn càng sớm thì khả năng sống sót càng cao và ngược lại. Việc xác định khi nào cần sàng lọc ung thư vú rất quan trọng.
Ung thư đại tràng có thể di căn từ thời điểm chẩn đoán, trong quá trình điều trị và 50% sau điều trị. Vì vậy phát hiện sớm di căn là điều rất quan trọng để có chiến lược điều trị tối ưu.
Đơn vị can thiệp bào thai đã phát hiện 1 trường hợp thai nhi hết ối do mất chức năng 2 thận bởi đột biến gen ACE. Đây là trường hợp đầu tiên được phát hiện tại Việt Nam, xác định được gen hiếm gây bệnh loạn sản ống thận.
(Vietnamdaily) - Mì ăn liền tôm chua thương hiệu Gấu Đỏ của Công ty cổ phần Thực phẩm Á Châu (Bình Dương) bị Cơ quan Quản lý thực phẩm và dược phẩm Đài Loan (TFDA) công bố chứa hàm lượng chất cấm etylen oxit, nguy hại sức khỏe thế nào?
Để điều trị thuốc đích bệnh nhân ung thư phổi phải xét nghiệm đột biến gen. Nhưng sử dụng phương pháp nào để đảm bảo chính xác là điều bệnh nhân luôn băn khoăn không rõ.
(Kiến Thức) - Mắc phải căn bệnh lạ do đột biến gen và kết hôn cận huyết, những người trong gia đình này không thể di chuyển bằng hai chân mà chỉ có thể bò bằng cả chân và tay.
(khoahocdoisong.vn) - Với sự khác biệt chỉ 1%, bộ gene mã hóa protein của con người và tinh tinh rất giống nhau. Tìm hiểu những đặc điểm sinh học hình thành con người hiện đang là xu hướng nghiên cứu hấp dẫn và tranh luận gay gắt.
Tin từ BV Sản nhi Quảng Ninh cho hay, BV đang điều trị cho một trường hợp trẻ sơ sinh với toàn thân bị bao phủ bởi một lớp da dày bị rạn nứt thành từng mảng.
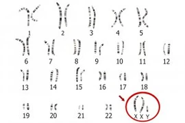
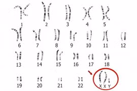
(khoahocdoisong.vn) - Đột biến mất đoạn gene trên nhiễm sắc thể Y ở nam giới là nguyên nhân của 10 - 15% trường hợp vợ chồng vô sinh, hiếm muộn tại Việt Nam về mặt di truyền. Khoảng 40% nguyên nhân vô sinh xuất phát từ nam giới.
(khoahocdoisong.vn) - Bằng cách phân tích bộ gene của virus từ hơn 7.500 người bị nhiễm Covid-19, các nhà nghiên cứu đưa ra cấu trúc các kiểu gene đa dạng của virus SARS-CoV-2, xác định những mục tiêu cụ thể cho thuốc và văcxin.
(khoahocdoisong.vn) - Các bệnh lý di truyền đang trở thành vấn đề mới nổi cùng với nhiều khó khăn trong chẩn đoán, điều trị. Mặc dù được biết đến là các bệnh lý hiếm gặp với tần suất mắc thấp, từ 1/200.000 đến 1/2.000 nhưng do có hơn 8.000 bệnh lý di truyền khác nhau nên ước tính cứ 17 người trên thế giới thì có 1 người mắc bệnh lý di truyền.
(Kiến Thức) - Các chuyên gia nói rằng, mặc dù hiện tượng này rất hiếm gặp, tuy nhiên không cần lo lắng nhiều, vì con rùa biển này có hai đầu do đột biến gen, không phải do tác động từ môi trường sinh thái.