Thời tiết nồm ẩm như hiện nay là nguyên nhân gia tăng các bệnh da do vi khuẩn, nấm, mụn trứng cá,... Hãy lưu lại những lời khuyên dưới đây để phòng ngừa xuất hiện các bệnh về da.
Mưa bão, ngập lụt kéo theo nhiều yếu tố gây hại cho da như độ ẩm cao, môi trường ô nhiễm, nước bẩn ... Bên cạnh bệnh da, nguy cơ bỏng do nước nóng, hóa chất, bỏng điện do chập cháy trong mùa bão cũng tăng lên đáng kể.
Mùa hè, nhóm bệnh da nhiễm khuẩn cũng có khuynh hướng gia tăng, như viêm da nhiễm trùng da (chốc), viêm nang lông, tình trạng nhiễm nấm trên da. Trẻ nhỏ còn tăng tình trạng rôm sảy.
Mùa hè, nhóm bệnh da nhiễm khuẩn cũng có khuynh hướng gia tăng, như viêm da nhiễm trùng da (chốc), viêm nang lông, tình trạng nhiễm nấm trên da. Trẻ nhỏ còn tăng tình trạng rôm sảy.
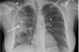
(khoahocdoisong.vn) - Các bệnh lý viêm nhiễm ở phổi thường do các tác nhân gây bệnh xâm nhập qua niêm mạc của đường hô hấp khi người bệnh hít phải các tác nhân này. Tuy nhiên, một “cửa ngõ” có thể là đường vào của nhiều loại vi khuẩn gây viêm phổi mà ít người để ý đó là da.
Khí hậu nóng ẩm, ra mồ hôi nhiều… của mùa hè là điều kiện thuận lợi làm bùng phát một số bệnh ngoài da. Vậy đó là những bệnh nào và xử trí đúng các bệnh này ra sao?