![]() |
| Ảnh minh hoạ: Internet. |
TS. BS Lê Thanh Dũng – Phó trưởng khoa Chẩn đoán hình ảnh, Bệnh viện Hữu nghị Việt Đức cho biết, bệnh nhi 11 tuổi, nhập viện trong tình trạng nôn ra máu nhiều lần không tự cầm.
Kết quả trên phim chụp cắt lớp vi tính cho thấy ổ giả phình lớn động mạch vị tá tràng (có chức năng cung cấp máu cho tá tràng – tụy và dạ dày).
Sau khi hội chẩn, các bác sĩ nhận định đây là trường hợp nặng, nguy cơ chảy máu ồ ạt đe dọa tính mạng người bệnh. Bệnh nhi đã được can thiệp cấp cứu ngay sau đó. Sau 20 phút can thiệp với 5 coils ổ giả phình đã được loại bỏ hoàn toàn.
Bệnh nhi hết nôn máu, huyết động ổn, sau đó được chuyển về khoa Nhi tiếp tục điều trị tình trạng viêm tụy cấp.
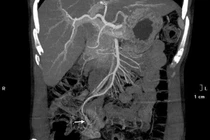
![]() |
| Hình ảnh sau nút mạch cho bệnh nhân. |
Theo TS. Dũng, viêm tụy cấp là tình trạng viêm cấp tính ở tụy do sự hoạt hóa men tụy ồ ạt ngay trong nhu mô tụy. Bệnh có thể xảy ra ở nhiều mức độ nặng – nhẹ khác nhau tùy thể lâm sàng. Bệnh có thể để lại những biến chứng vô cùng nguy hiểm trong đó có tổn thương mạch máu dẫn đến ổ giả phình động mạch.
"Những ổ giả phình mạch gây ra do men tụy phá vỡ cấu trục mạch máu bình thường, chúng có thể vỡ gây chảy máu ồ ạt, thậm chí đe dọa tính mạng chỉ trong vài giây"- TS. Dũng cho hay.
Theo các bác sĩ, bệnh viêm tuỵ cấp vốn thường xảy ra ở người lớn do các nguyên nhân như nghiện rượu, do chế độ ăn, hoặc có thể là một biến chứng của sỏi mật. Cũng vì vậy mà bệnh thường xảy ra ở người lớn, trẻ em ít gặp hơn và có thể liên quan đến một số biến đổi giải phẫu tụy.

