Gắp sán lá gan 20mm trong ống mật chủ cô gái 29 tuổi
Khoa Nội soi Bệnh viện Đa khoa Xuyên Á vừa gắp một con sán lá gan kích thước 20mm sống trong ống mật chủ bằng kỹ thuật nội soi mật tuỵ ngược dòng (ERCP). Đây chính là thủ phạm khiến cô gái H. N. X. (29 tuổi, Tây Ninh) đau quặn thắt vùng thượng vị hạ sườn phải trong nhiều ngày liên tục.
Tại khoa Ngoại Tổng Quát Bệnh viện Xuyên Á, các bác sĩ đã tiến hành thăm khám và chỉ định thực hiện các cận lâm sàng. Trên hình ảnh chụp CT scan ổ bụng, các bác sĩ đã nhận thấy có dấu hiệu giãn đường mật ngoài gan, có nốt tăng tỷ trọng nhẹ ở đoạn cuối ống mật chủ. Qua hội chẩn liên chuyên khoa, chị X. được chẩn đoán bị nhiễm trùng đường mật nghi do sỏi đoạn cuối ống mật chủ và bệnh nhân được chỉ định nội soi mật tụy ngược dòng ERCP để điều trị.
![]() |
| Nội soi mật tụy ngược dòng gắp được con sán 20mm. |
Theo BS. Nguyễn Đình Tùng, Phó Trưởng Khoa Nội soi Bệnh viện Đa khoa Xuyên Á cho biết: “Trong quá trình nội soi mật tuỵ ngược dòng, quan sát dưới màn hình C-Arm nhận thấy ống mật chủ của bệnh nhân dãn khoảng 10mm, đoạn cuối có bóng nhỏ không ngấm thuốc.
Sau đó, các bác sĩ tiến hành cắt nhú vater, dùng bóng kéo ra được con sán lá gan kích thước khoảng 20mm ra khỏi cơ thể người bệnh (mẫu sán được xét nghiệm định danh là sán lá gan lớn).
Thủ thuật kết thúc an toàn, bệnh nhân được chuyển về khoa Ngoại Tổng Quát để tiếp tục điều trị chống nhiễm trùng và điều trị đặc hiệu diệt sán lá gan. Sau 3 ngày điều trị, người bệnh ổn định sức khoẻ và được xuất viện.”
Bệnh sán lá gan lớn do loài sán lá lớn (Fasciola hepatica hoặc Fasciola gigantica) gây nên. Sán này sống kí sinh chủ yếu ở các động vật ăn cỏ như bò, trâu… Và khi vào cơ thể người, sán lá gan thường ký sinh trong đường mật, một số ít trường hợp có thể ký sinh trong cơ bắp, dưới da, phúc mạc…
Sán lá gan lớn khi ký sinh trong đường mật sẽ phá huỷ tổ chức gan, tạo ra những ổ tổn thương trong gan. Đặc biệt, bệnh sán lá gan nếu không được phát hiện và điều trị triệt để có thể gây áp xe gan, viêm gan đường mật, ứ mật, thậm chí có thể dẫn đến ung thư đường mật.
Một số triệu chứng phổ biến ở người nhiễm sán lá gan
Đau âm ỉ ở bụng ( vị trí gan), cơn đau lan ra lưng hoặc vùng thượng vị.
Đầy bụng, buồn nôn.
Rối loạn tiêu hoá.
Da xanh xao, vàng da, nổi mề đay.
Có dịch trong bụng.
Mệt mỏi, chán ăn, sụt cân…
Cách phòng bệnh sán lá gan.
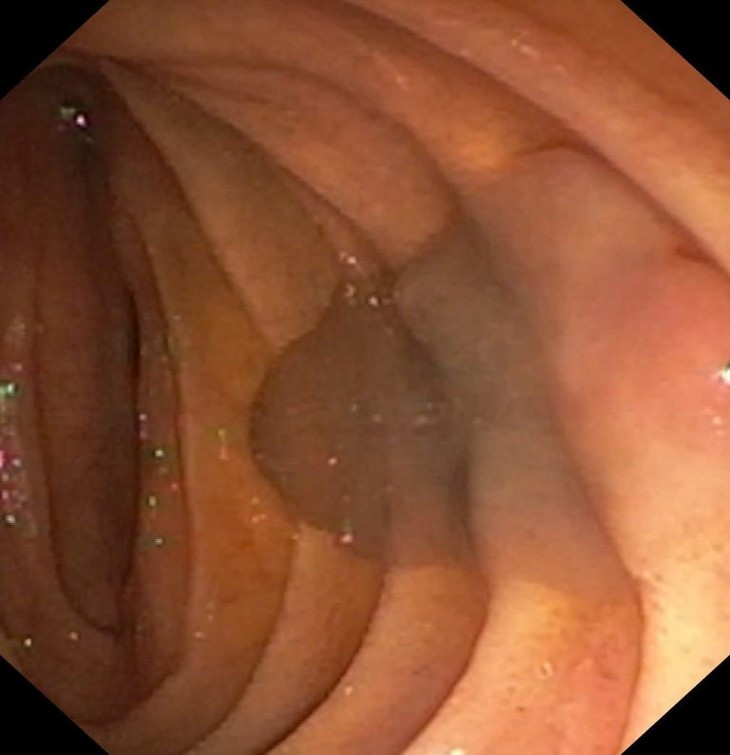
![]() |
| Hình ảnh sán lá gan trong quá trình nội soi - Ảnh BVCC |
Rất dễ tử vong do vỡ bao gan
GS.TS Nguyễn Văn Đề, Nguyên trưởng Bộ môn ký sinh trùng trường ĐH Y Hà Nội cho biết, thực tế có rất nhiều bệnh nhân bị sán lá gan lớn được chẩn đoán nhầm là ung thư gan. Sán lá gan lớn Fasciola trước khi vào ký sinh trong đường mật, chúng phá hủy tổ chức gan gây ra những ổ tổn thương dạng u hay áp xe với tổ chức hoại tử không đồng nhất. Gan có thể to ra với mặt nhẵn.
Khi chúng vào đường mật, nói chung đường mật bị giãn và phồng lên với thành dày gây viêm và xơ hóa. Niêm mạc túi mật xuất hiện nhú. Thành túi mật dày đến tận lớp cơ và xơ lan tỏa.
Bệnh sỏi rất thường gặp khi nhiễm sán lá gan lớn. Tĩnh mạch cửa phồng lên và phù nề với sự xâm nhiễm của tế bào lympho và bạch cầu ái toan. Biểu hiện bệnh học của sán lạc chỗ là những tổn thương, hoại tử tổ chức với phản ứng viêm và xơ hóa.
Ký sinh trùng có thể canxi hóa và trở thành mảnh vụn trong các hạt nhỏ. Sán lá gan lớn ký sinh trong gan tạo nên những khối u hay ổ áp xe làm xung huyết gan.
Đặc biệt, bệnh sán lá gan lớn có khi gây nên những triệu chứng cấp tính rầm rộ như sốt, đau hạ sườn phải hoặc vùng thượng vị nên dễ nhầm với các bệnh về gan mật hoặc dạ dày.
Người bệnh mệt mỏi, kém ăn, rối loạn tiêu hóa, xét nghiệm máu bạch cầu ái toan tăng, siêu âm phát hiện thấy các tổn thương về gan, nhưng cũng có khi không biểu hiện triệu chứng gì, chỉ khi khám sức khỏe định kỳ phát hiện khối u trong gan. Hoặc có trường hợp chỉ mẩn ngứa, nổi mề đay hay ho kéo dài, thậm chí có trường hợp còn tràn dịch màng phổi hay màng tim hay u phổi.
Hậu quả bệnh sán lá gan lớn có thể dẫn tới tử vong do vỡ bao gan, xuất huyết hoặc sốc nhiễm trùng do viêm phúc mạc...
Lạc chỗ, chu du khắp nơi
Theo GSTS Nguyễn Văn Đề, chuyện sán lá gan lớn dễ nhầm lẫn với u gan và ung thư gan không là chuyện hiếm với các nhà chuyên môn. Nhưng những con sán lá gan lớn đục xuyên từ gan ra bên ngực, rồi chui vào tuyến vú gây bệnh cảnh giống như áp xe vú (sưng, nóng, đỏ, đau) nhưng chọc dò hút mủ lại không có mủ, sau đó vài hôm, sán lá gan lớn tự chui ra ngoài qua lỗ chọc dò và bệnh nhân bắt được.
Đó là trường hợp chị Nguyễn Thị H., (sinh năm 1957) (Tuyên Hoá, Quảng Bình) với con sán lá gan lớn có kích thước 1 x 2 cm, còn cử động khoẻ...Hoặc là bệnh nhân Lê Thanh H. (Thanh Oai, Hà Tây cũ) 11 tuổi bị khối u ở gan, rồi sau đó sưng to khớp gối và có con sán lá gan lớn chui ra từ khớp gối...
Sán lá gan lớn không phải là bệnh mới nhưng ngày càng xuất hiện nhiều, trung bình mỗi tháng riêng GSTS Đề xác định đã có khoảng trên 10 bệnh nhân. Hiện 52 tỉnh thành có bệnh nhân sán lá gan lớn.
Các tỉnh có nhiều bệnh nhân nhất là: Bình Định, Quảng Ngãi, Phú Yên, Khánh Hòa,,Hà Tĩnh, Nghệ An, Hà Nội, Gia Lai..., trong đó Khánh Hòa có tỷ lệ nhiễm tới 11%. Điều đáng nói, hầu hết bệnh nhân đều được chẩn đoán nhầm là “ung thư gan” hoặc "áp xe gan”. .
Được biết, sán này chủ yếu ký sinh ở động vật ăn cỏ như trâu, bò, cừu, lạc đà...và có thể ký sinh gây bệnh ở người. Sán ký sinh trong hệ thống gan mật, chúng đẻ trứng theo dịch mật xuống ruột và theo phân ra ngoài môi trường.
Ở ngoài môi trường, trứng sán rơi xuống nước, nở ấu trùng lông chui vào ốc thích hợp (ốc Lymnae – loài ốc không có nắp) phát triển thành ấu trùng đuôi bơi tự do trong nước và bám vào rau cỏ thuỷ sinh. Hiện nay, mọi người hay ăn sống thực vật thủy sinh như rau ngổ, rau cải xoong, rau muống nước, rau cần hay uống nước lã có ấu trùng....sẽ bị nhiễm bệnh.
Khi ăn phải ấu trùng sán lá gan lớn vào đường tiêu hoá, sau 1 giờ, ấu trùng thoát kén và xuyên qua thành ruột. Sau 2 giờ xuất hiện trong ổ bụng, chúng tiếp tục xuyên vào gan và đến gan vào ngày thứ 6 và nằm trong nhu mô gan gây những ổ hoại tử lớn.
Trên động vật ăn cỏ, sán lá gan lớn di chuyển vào ống mật để ký sinh và đẻ trứng ở đó và tiếp tục chu kỳ mới. Còn ở người, chỉ có một số trường hợp là sán lá gan lớn tới ống mật và chỉ vào được ống mật chúng mới đẻ trứng và chúng có thể tồn tại ở người từ 9 – 13,5 năm.
Do người chưa phải là vật chủ thích hợp, nên sán non còn di chuyển đi nhiều nơi như xuống đại tràng hoặc ra thành ngực hoặc đến tuyến vú, khớp gối, thậm chí chui cả xuống buồng trứng, tinh hoàn, màng phổi...
Để phòng bệnh tuyệt đối không nên ăn rau sống thủy sinh bởi ấu trùng sán thường nằm trong cọng lá, không thể rửa sạch. Không uống nước lã và diệt mầm bệnh trên súc vật bằng cách tẩy sán lá gan lớn định kỳ cho trâu, bò. Khi nghi ngờ mắc bệnh, cần đến các cơ sở chuyên khoa ký sinh trùng để xét nghiệm chẩn đoán và điều trị.

