Phương pháp thẩm mỹ răng nào an toàn và được lựa chọn nhiều nhất?

Phương pháp thẩm mỹ răng nào an toàn và được lựa chọn nhiều nhất?

(Kiến Thức) - Bọc răng sứ, niềng răng, trám răng, dán răng sứ hay trồng răng implant là 5 phương pháp thẩm mỹ nha khoa phổ biến và được nhiều người tin tưởng, lựa chọn nhất hiện nay.
 

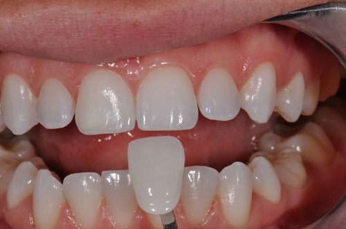
Bọc răng sứ có lẽ là phương pháp thẩm mỹ răng đang được nhiều người, cả nam giới và nữ giới ưa chuộng nhất hiện nay. Ảnh: nhakhoanucuoiduyen.
Bọc răng sứ có lẽ là phương pháp thẩm mỹ răng đang được nhiều người, cả nam giới và nữ giới ưa chuộng nhất hiện nay. Ảnh: nhakhoanucuoiduyen.
Phương pháp bọc răng sứ giúp khắc phục hiệu quả tình trạng răng bị sứt mẻ, gãy vỡ, hô móm nhẹ, vàng ố,...Ảnh: vatgia.
Phương pháp bọc răng sứ giúp khắc phục hiệu quả tình trạng răng bị sứt mẻ, gãy vỡ, hô móm nhẹ, vàng ố,...Ảnh: vatgia.
Niềng răng cũng là phương pháp thẩm mỹ răng phổ biến có tác dụng sắp xếp lại vị trí các răng cũng như thay đổi hình dáng cung hàm. Ảnh: dep.
Niềng răng cũng là phương pháp thẩm mỹ răng phổ biến có tác dụng sắp xếp lại vị trí các răng cũng như thay đổi hình dáng cung hàm. Ảnh: dep.
Đây là phương pháp an toàn và hiệu quả với những trường hợp lệch lạc về răng như hô, móm, răng mọc chen chúc…Ảnh: nhakhoanhatminh.
Đây là phương pháp an toàn và hiệu quả với những trường hợp lệch lạc về răng như hô, móm, răng mọc chen chúc…Ảnh: nhakhoanhatminh.
Dán răng sứ là phương pháp an toàn, nhanh chóng giúp khắc phục hiệu quả mọi khiếm khuyết của răng nên được khá nhiều người lựa chọn hiện nay bên cạnh phương pháp bọc răng sứ và niềng răng. Ảnh: nhakhoamientay.
Dán răng sứ là phương pháp an toàn, nhanh chóng giúp khắc phục hiệu quả mọi khiếm khuyết của răng nên được khá nhiều người lựa chọn hiện nay bên cạnh phương pháp bọc răng sứ và niềng răng. Ảnh: nhakhoamientay.
Việc dán răng sứ dễ thực hiện và đơn giản hơn nhiều các phương pháp khác. Ảnh: niengrangkhongmaccai.
Việc dán răng sứ dễ thực hiện và đơn giản hơn nhiều các phương pháp khác. Ảnh: niengrangkhongmaccai.
Phương pháp trồng răng implant có tác dụng phục hồi lại răng bị mất hoàn toàn. Ảnh: nhakhoanacera.
Phương pháp trồng răng implant có tác dụng phục hồi lại răng bị mất hoàn toàn. Ảnh: nhakhoanacera.
Để trồng răng implant đúng kỹ thuật, ngoài giỏi nghề, còn đòi hỏi sự khéo léo, cẩn thận của bác sĩ. Ảnh: mediacdn.
Để trồng răng implant đúng kỹ thuật, ngoài giỏi nghề, còn đòi hỏi sự khéo léo, cẩn thận của bác sĩ. Ảnh: mediacdn.
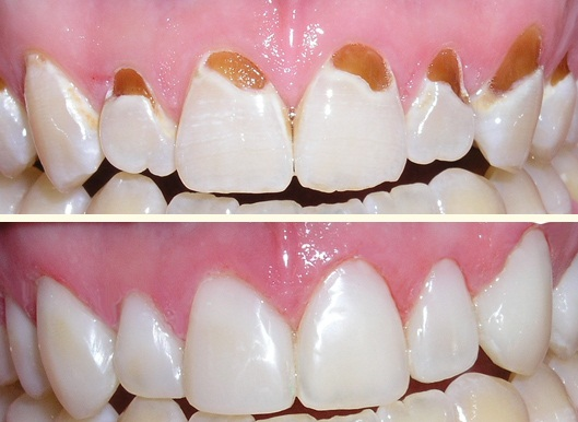
Trong khi đó, phương pháp trám răng có thể cải thiện hình dáng răng nếu chúng bị sứt mẻ, vỡ, ố hoặc nứt thành khe lớn. Ảnh: imgur.
Trong khi đó, phương pháp trám răng có thể cải thiện hình dáng răng nếu chúng bị sứt mẻ, vỡ, ố hoặc nứt thành khe lớn. Ảnh: imgur.
Các vết trám tồn tại được vài năm nhưng nó vẫn có thể bị mài mòn, mẻ hoặc ố màu. Ảnh: cloudfront.
Các vết trám tồn tại được vài năm nhưng nó vẫn có thể bị mài mòn, mẻ hoặc ố màu. Ảnh: cloudfront.
Mô tả video: Những thực phẩm giúp hàm răng trắng đẹp hơn

GALLERY MỚI NHẤT