Phát hiện đỉa sống nhiều tháng trong khe mũi

Theo các bác sĩ Bệnh viện Đa khoa tỉnh Vĩnh Phúc, việc thực hiện thủ thuật cho bệnh nhân này không dễ dàng do con vật còn sống, có khả năng di chuyển và nằm ở vị trí hẹp, sâu.

Trường hợp này là bà T.T.T (53 tuổi, ở Lập Thạch, Vĩnh Phúc), đến khám tại Bệnh viện Đa khoa tỉnh Vĩnh Phúc với tâm lý lo lắng do chảy máu mũi kéo dài không rõ nguyên nhân vào ngày 28/11.

Cách đây không lâu, bà T. đi rừng lấy măng. Trong quá trình lao động, người phụ nữ này đã uống nước ở khe suối. Sau 2 tháng kể từ ngày đi rừng, bà T. xuất hiện dấu hiệu nôn, khạc ra máu, chảy máu mũi.

Phat hien dia song nhieu thang trong khe mui
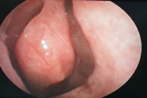
Con đỉa còn sống được gắp ra khỏi khe mũi người bệnh.

Người phụ nữ này đã đến khám, nội soi tai mũi họng tại một phòng khám tư nhân. Sau khi thăm khám, bác sĩ chẩn đoán bà bị viêm xoang và được kê thuốc điều trị. Tuy nhiên, dấu hiệu chảy máu không giảm.

Tại Bệnh viện Đa khoa tỉnh Vĩnh Phúc, các bác sĩ kiểm tra và tiến hành nội soi đã phát hiện có dị vật sống trong khe mũi bên trái của người bệnh. Bệnh nhân được can thiệp bằng phương pháp nội soi.

Thủ thuật gặp khó khăn do dị vật là động vật còn sống, có khả năng di chuyển và nằm ở vị trí hẹp, sâu. Với sự hỗ trợ của máy siêu âm, dị vật sống đã được loại bỏ khỏi xoang mũi của người bệnh.

Sau thủ thuật, người bệnh được theo dõi tại khoa tai mũi họng trong tình trạng tỉnh táo, dừng chảy máu mũi và được xuất viện ngay trong ngày.

BS.CKI Nguyễn Trường Sơn, Bệnh viện Đa khoa tỉnh Vĩnh Phúc, khuyến cáo người dân khi đi rừng, suối không nên rửa mặt, hay uống nước suối. Khi có những biểu hiện khó chịu vùng mũi, họng, nên đến ngay cơ sở y tế để được thăm khám và kiểm tra.

Liên tục chảy máu mũi, người đàn ông đi khám phát hiện dị vật khủng khiếp

Thông tin từ Trung tâm Y tế huyện Đoan Hùng (Phú Thọ) cho biết các bác sĩ vừa thực hiện thành công ca gắp con đỉa sống ngoe nguẩy trong mũi bệnh nhân nhiều ngày.

Sáng 22/10, anh N.S.Q. (xã Hào Phú, Sơn Dương, Tuyên Quang) đến Trung tâm Y tế huyện Đoan Hùng kiểm tra vì bị chảy máu mũi nhiều. Tại đây, bác sĩ Nguyễn Văn Hiếu, chuyên khoa Tai Mũi Họng, phát hiện có dị vật trong mũi của người bệnh. Sau khi thực hiện nội soi, bác sĩ phát hiện dị vật là một con đỉa dài khoảng 4 cm vẫn còn sống.

Thường xuyên rửa mặt bằng nước suối, kết quả gặp chuyện rợn người

Trong quá trình thăm khám, bác sĩ phát hiện trong khoang mũi phải của anh Mông có một con đỉa hút máu ký sinh.

Bác sĩ điểm danh 9 căn bệnh của "cậu nhỏ" mà quý ông dễ mắc

Để tránh các biến chứng nguy hại và những hệ lụy cho sức khỏe, cánh mày râu cần phải quan tâm đến những bệnh lý "cậu nhỏ" thường mắc phải.
 

Đọc nhiều nhất

Người mắc bệnh tuyến giáp kiêng ăn gì?

Người mắc bệnh tuyến giáp kiêng ăn gì?

Người bệnh tuyến giáp cần nắm rõ các loại thực phẩm cần tránh như đậu nành, đồ đóng hộp, nội tạng động vật để kiểm soát bệnh, nâng cao chất lượng cuộc sống.

Tin mới

Người mắc bệnh tuyến giáp kiêng ăn gì?

Người mắc bệnh tuyến giáp kiêng ăn gì?

Người bệnh tuyến giáp cần nắm rõ các loại thực phẩm cần tránh như đậu nành, đồ đóng hộp, nội tạng động vật để kiểm soát bệnh, nâng cao chất lượng cuộc sống.

Hiểu lầm phổ biến về 'detox' sau Tết

Hiểu lầm phổ biến về 'detox' sau Tết

Thay vì các phương pháp “detox” nguy hiểm, hãy duy trì thói quen uống đủ nước, ăn rau quả, ngủ đủ giấc và vận động nhẹ nhàng để giữ gìn sức khỏe lâu dài.