Nội soi xác ướp tu sĩ thế kỷ 18, lộ bí mật động Trời

Nội soi xác ướp tu sĩ thế kỷ 18, lộ bí mật động Trời

Một tu sĩ người Áo sống vào thế kỷ 18 qua đời vì bệnh lao. Người này được ướp xác bằng cách khác thường giúp thi hài gần như vẹn nguyên theo thời gian.

Các chuyên gia đã phân tích xác ướp một tu sĩ người Áo sống vào thế kỷ 18 qua đó có khám phá bất ngờ về cách ướp xác. Theo họ, tu sĩ qua đời vì bệnh lao và được bảo quản bằng cách khác thường: nhét dăm gỗ, cành cây và vải vào bụng qua hậu môn. Ảnh: Andreas Nerlich.
Các chuyên gia đã phân tích xác ướp một tu sĩ người Áo sống vào thế kỷ 18 qua đó có khám phá bất ngờ về cách ướp xác. Theo họ, tu sĩ qua đời vì bệnh lao và được bảo quản bằng cách khác thường: nhét dăm gỗ, cành cây và vải vào bụng qua hậu môn. Ảnh: Andreas Nerlich.
Xác ướp tu sĩ trên được tìm thấy trong hầm mộ nhà thờ ở St. Thomas am Blasenstein - một ngôi làng nhỏ ở Áo gần sông Danube. Thi hài được cho là của một cha xứ tên là Franz Xaver Sidler von Rosenegg - người qua đời năm 1746, hưởng thọ 37 tuổi. Ảnh: Andreas Nerlich.
Xác ướp tu sĩ trên được tìm thấy trong hầm mộ nhà thờ ở St. Thomas am Blasenstein - một ngôi làng nhỏ ở Áo gần sông Danube. Thi hài được cho là của một cha xứ tên là Franz Xaver Sidler von Rosenegg - người qua đời năm 1746, hưởng thọ 37 tuổi. Ảnh: Andreas Nerlich.
Nguyên nhân cái chết của cha xứ Rosenegg là một bí ẩn trong suốt nhiều năm. Kết quả kiểm tra X-quang năm 2000 cho thấy xác ướp của ông có chứa một viên thuốc độc. Ảnh: Andreas Nerlich.
Nguyên nhân cái chết của cha xứ Rosenegg là một bí ẩn trong suốt nhiều năm. Kết quả kiểm tra X-quang năm 2000 cho thấy xác ướp của ông có chứa một viên thuốc độc. Ảnh: Andreas Nerlich.
Trong nghiên cứu mới công bố trên tạp chí Frontiers in Medicine ngày 2/5, các nhà nghiên cứu đã kiểm tra, phân tích kỹ lưỡng xác ướp và phát hiện phương pháp ướp xác "đặc biệt" chưa từng có trong bất kỳ ghi chép lịch sử nào. Ảnh: Andreas Nerlich.
Trong nghiên cứu mới công bố trên tạp chí Frontiers in Medicine ngày 2/5, các nhà nghiên cứu đã kiểm tra, phân tích kỹ lưỡng xác ướp và phát hiện phương pháp ướp xác "đặc biệt" chưa từng có trong bất kỳ ghi chép lịch sử nào. Ảnh: Andreas Nerlich.
"Nghiên cứu của chúng tôi đã phát hiện ra rằng, tình trạng bảo quản tuyệt vời này đến từ một cách ướp xác khác thường, được thực hiện bằng cách nhét dăm gỗ, cành cây và vải vào bụng thông qua ống trực tràng. Sau đó, người ta thêm kẽm clorua để làm khô bên trong", tác giả chính của nghiên cứu Andreas Nerlich, một nhà nghiên cứu tại Đại học Ludwig-Maximilians ở Munich, người chuyên nghiên cứu về xác ướp, cho biết trong một tuyên bố. Ảnh: Andreas Nerlich.
"Nghiên cứu của chúng tôi đã phát hiện ra rằng, tình trạng bảo quản tuyệt vời này đến từ một cách ướp xác khác thường, được thực hiện bằng cách nhét dăm gỗ, cành cây và vải vào bụng thông qua ống trực tràng. Sau đó, người ta thêm kẽm clorua để làm khô bên trong", tác giả chính của nghiên cứu Andreas Nerlich, một nhà nghiên cứu tại Đại học Ludwig-Maximilians ở Munich, người chuyên nghiên cứu về xác ướp, cho biết trong một tuyên bố. Ảnh: Andreas Nerlich.
Nhóm nghiên cứu cũng kiểm tra, phân tích mẫu da, mô và men răng để phân tích hóa học, nhằm xác định thời điểm tu sĩ chết, ông ta đã ăn những gì và liệu có bị đầu độc hay không. Ảnh: Andreas Nerlich.
Nhóm nghiên cứu cũng kiểm tra, phân tích mẫu da, mô và men răng để phân tích hóa học, nhằm xác định thời điểm tu sĩ chết, ông ta đã ăn những gì và liệu có bị đầu độc hay không. Ảnh: Andreas Nerlich.
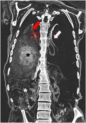
Kết quả kiểm tra cho thấy cha xứ Rosenegg có dấu vết của việc hút tẩu thuốc trong thời gian dài. Nhóm nghiên cứu cũng phát hiện người này có tình trạng vôi hóa và u nang trong phổi. Đây là những đặc điểm phổ biến ở những người mắc bệnh lao mãn tính. Ảnh: J. Wimmer.
Kết quả kiểm tra cho thấy cha xứ Rosenegg có dấu vết của việc hút tẩu thuốc trong thời gian dài. Nhóm nghiên cứu cũng phát hiện người này có tình trạng vôi hóa và u nang trong phổi. Đây là những đặc điểm phổ biến ở những người mắc bệnh lao mãn tính. Ảnh: J. Wimmer.
Những vấn đề về sức khỏe trên có thể dẫn tới xuất huyết phổi cấp tính. Nhóm nghiên cứu cho hay đây có thể là nguyên nhân tử vong của cha xứ Rosenegg do không tìm thấy bằng chứng nào về ngộ độc. Ảnh: S. Panzer.
Những vấn đề về sức khỏe trên có thể dẫn tới xuất huyết phổi cấp tính. Nhóm nghiên cứu cho hay đây có thể là nguyên nhân tử vong của cha xứ Rosenegg do không tìm thấy bằng chứng nào về ngộ độc. Ảnh: S. Panzer.
Vào những năm 1740, hầu hết mọi người không được ướp xác sau khi qua đời. Lý do cha xứ Rosenegg được ướp xác khiến nhiều người tò mò nhưng chưa tìm ra lời giải. Ảnh: Hulton Archive/Getty Images/File.
Vào những năm 1740, hầu hết mọi người không được ướp xác sau khi qua đời. Lý do cha xứ Rosenegg được ướp xác khiến nhiều người tò mò nhưng chưa tìm ra lời giải. Ảnh: Hulton Archive/Getty Images/File.
Mời độc giả xem video: Bí ẩn hình xăm trên cánh tay xác ướp công chúa 2.500 tuổi.

GALLERY MỚI NHẤT