![]() |
| Đinh vít nằm trong tá tràng cháu bé. Ảnh: BV cung cấp |
![]() |
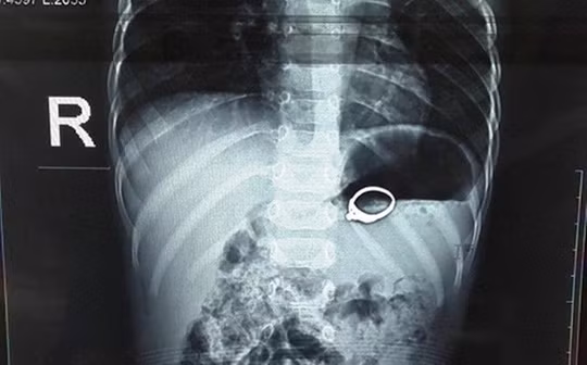
| Chiếc nhẫn nằm trong dạ dày bé 13 tháng tuổi - Ảnh: BV cung cấp |
![]() |
| Đinh vít nằm trong tá tràng cháu bé. Ảnh: BV cung cấp |
![]() |
| Chiếc nhẫn nằm trong dạ dày bé 13 tháng tuổi - Ảnh: BV cung cấp |
![]() |
| Đồng chí Lê Xuân Trường (trái) và đồng chí Đào Văn Long. |
![]() |
| Bệnh nhân được đưa vào viện cấp cứu trong tình trạng bị thanh sắt cắm vào cổ |
Sau khi được cán bộ Công an tuyên truyền và giải thích về thủ đoạn lừa đảo giả danh Công an, bà P đã dừng ngay việc chuyển tiền cho đối tượng.
Những cá thể động vật này được người dân tự nguyện giao nộp, Vườn Quốc gia Vũ Quang đã tiến hành chăm sóc, cứu hộ đảm bảo điều kiện để tái thả về tự nhiên.
Theo dự báo, hiện nay áp thấp nhiệt đới ở phía Đông Philippines sức gió cấp 6, giật cấp 8, di chuyển theo hướng Tây Tây Bắc khoảng 10 km/giờ.
Khi đến đoạn đường dốc thì chết máy. Tài xế dẫm lên bụi cỏ nhưng bị hụt chân khiến cả xe và 3 người trên xe rơi xuống vực sâu dẫn đến 1 người tử vong.
Thảo là đối tượng vừa ra tù trở về địa phương vào tháng 10/2025 nhưng không chịu tu chí làm ăn lương thiện mà tiếp tục tái phạm tội trộm cắp tài sản.
Đến khi bị phát hiện, nhóm này đã mua bán 44 tài khoản ngân hàng và thu thập 89 thông tin tài khoản của người dân, phục vụ cho hoạt động đánh bạc.
Tùng và các đồng phạm đã có hành vi lập dự án tiền ảo “KittyRun” (KTR) dụ dỗ người dân tham gia đầu tư, chiếm đoạt hàng chục tỷ đồng của những nạn nhân.
Khi lực lượng công an nhắc nhở khi Chu Văn Năm trêu ghẹo trẻ vị thanh niên, đối tượng không hợp tác, xô đẩy và tấn công khiến cán bộ công an bị thương.
Nam diễn viên Nguyễn Lâm Thái bị tình nghi trộm túi xách của Hoa hậu Mexico Leon Yuriar Angela Michelle khi cùng dự sự kiện ở Quảng trường Lâm Viên - Đà Lạt.
Một áp thấp nhiệt đới đang hoạt động trên vùng ven biển phía Đông của khu vực miền Trung Philippines, sức gió cấp 6, giật cấp 8.
Đang neo đậu ở vùng nước Cảng Hòn La, tàu cá ngư dân TP Hồ Chí Minh bị phá nước, chìm nhanh. Rất may 4 thuyền viên được ứng cứu kịp thời, đưa vào bờ an toàn.
Nhóm thanh niên đi xe mô tô với tốc độ cao đuổi đánh 2 thanh niên làm xe bị mất lái đâm vào tường bao, khiến 2 thanh niên bị thương tích nặng.
Lực lượng Công an Sơn La đã cứu hộ thành công xe tải chở cá rơi xuống lòng hồ thủy điện Sơn La tại khu vực bến đò tạm thuộc bản Pểnh, xã Mường La.
Theo Nghị định 310/2025, nếu cửa hàng không xuất hóa đơn cho 50 giao dịch trở lên thì phải chịu mức phạt 60 - 80 triệu đồng.
Vụ chìm tàu khiến gia đình ông Hoàng Anh Tý (tỉnh Quảng Trị) bị thiệt hại khoảng 250 triệu đồng.
Phát hiện nhiều tờ tiền mệnh giá lớn nằm trên đường, 2 người đàn ông ở Quảng Trị đã dừng xe, thu gom rồi đưa đến cơ quan Công an giao nộp.
Nhóm thanh niên đang say sưa “đập đá” trong nhà nghỉ, bất ngờ bị lực lượng Công an ập vào bắt quả tang, thu giữ nhiều vật dụng liên quan.
Người chứng kiến hoặc biết thông tin về hành vi bạo lực gia đình nhưng không báo cho cơ quan chức năng có thể bị xử phạt.
So với người làm công được giảm trừ gia cảnh 15,5 triệu đồng/tháng, chủ hộ kinh doanh vẫn phải nộp thuế nếu lợi nhuận chỉ 8-10 triệu đồng/tháng.
Sau khi lập hơn 10 dây hụi online, Nguyễn Hải Đảo (Cà Mau) yêu cầu các hụi viên chuyển tiền vào tài khoản ngân hàng của mình và chiếm đoạt hơn 1,7 tỷ đồng.
Sau khi được cán bộ Công an tuyên truyền và giải thích về thủ đoạn lừa đảo giả danh Công an, bà P đã dừng ngay việc chuyển tiền cho đối tượng.
Theo dự báo, hiện nay áp thấp nhiệt đới ở phía Đông Philippines sức gió cấp 6, giật cấp 8, di chuyển theo hướng Tây Tây Bắc khoảng 10 km/giờ.
Đang vận chuyển lượng lớn ma tuý từ Campuchia về Việt Nam, đối tượng Phạm Thanh Lương đã bị lực lượng chức năng tỉnh An Giang phát hiện, bắt giữ.
Nam diễn viên Nguyễn Lâm Thái bị tình nghi trộm túi xách của Hoa hậu Mexico Leon Yuriar Angela Michelle khi cùng dự sự kiện ở Quảng trường Lâm Viên - Đà Lạt.
Những cá thể động vật này được người dân tự nguyện giao nộp, Vườn Quốc gia Vũ Quang đã tiến hành chăm sóc, cứu hộ đảm bảo điều kiện để tái thả về tự nhiên.
Nam thanh niên ở tỉnh Đồng Tháp vừa bị phạt 7,5 triệu đồng với hành vi xúc phạm lực lượng Công an trên mạng xã hội.
Người đi ngược chiều có thể bị phạt tiền tới 40 triệu đồng, trừ điểm giấy phép lái xe, đặc biệt nghiêm trọng khi gây tai nạn hoặc đi trên cao tốc.
Trần Minh Phát (tỉnh Đồng Tháp) lên mạng đặt mua linh kiện chế tạo súng về lắp ráp, rồi bán cho khách với giá từ 3 – 4 triệu đồng/khẩu.
Đến khi bị phát hiện, nhóm này đã mua bán 44 tài khoản ngân hàng và thu thập 89 thông tin tài khoản của người dân, phục vụ cho hoạt động đánh bạc.
Nhóm đối tượng đang say sưa sát phạt nhau trên chiếu bạc, bất ngờ bị lực lượng chức năng tỉnh Đồng Tháp ập vào bắt quả tang.