PGS.TS, Phạm Cẩm Phương, Giám đốc Trung tâm Y học hạt nhân và Ung bướu - Bệnh viện Bạch Mai, đây là nam bệnh nhân 60 tuổi ở Hà Nội.
Trước đó, tháng 12/2020, bệnh nhân đến BV Bạch Mai khám vì đau tức bụng vùng hạ sườn phải. Cách đó 4 năm, bệnh nhân được chẩn đoán ung thư hạ họng đã điều trị hóa xạ trị ổn định.
Sau điều trị ung thư hạ họng, bệnh nhân đi tái khám định kì theo hẹn mỗi 3-6 tháng một lần.
Vào tháng 12/2020 bệnh nhân xuất hiện đau tức bụng hạ sườn phải, ăn uống kém, kèm gầy sút cân 2kg trong một tháng. Khi đến viện khám, bệnh nhân được bác sĩ chỉ định các xét nghiệm trong đó có siêu âm và đã phát hiện khối u ở gan nên được nhập viện tại Trung tâm Y học hạt nhân và Ung bướu, Bệnh viện Bạch Mai để chẩn đoán xác định và điều trị.
Kết quả xét nghiệm mô bệnh học cho thấy bệnh nhân ung thư biểu mô tế bào gan giai đoạn Barcelona A/Ung thư hạ họng đã hóa xạ trị năm 2016/Suy tim độ 2.
PGS.TS Phạm Cẩm Phương cho biết, các bác sĩ đã hội chẩn, quyết định chỉ định xạ trị trong chọn lọc bằng hạt vi cầu phóng xạ Y-90 cho bệnh nhân.
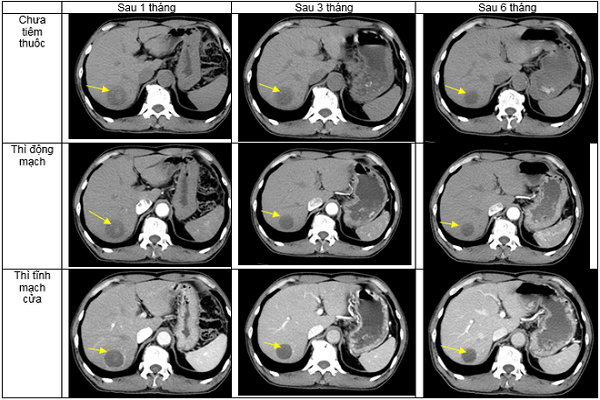
Bệnh nhân được đánh giá đáp ứng điều trị sau một tháng, sau 3 tháng và sau 6 tháng. Sau điều trị, triệu chứng cơ năng của bệnh nhân cải thiện nhiều, bệnh nhân ăn ngủ tốt, tăng 3kg, không còn đau tức hạ sườn phải.
Kết quả xét nghiệm máu cho thấy chất chỉ điểm u giảm dần theo thời gian và hiện tại đã trở về chỉ số bình thường.
![]() |
Theo PGS.TS Phạm Cẩm Phương, ung thư biểu mô tế bào gan (UTBMTBG) là bệnh ác tính, cùng với tỷ lệ tử vong cao và số người mắc mới hàng năm ngày càng tăng, đặc biệt ở các quốc gia đang phát triển.
Tiên lượng của UTBMTBG phụ thuộc vào chức năng gan, tình trạng di căn, số lượng và kích thước khối u gan, phương pháp điều trị. Những tiến bộ đáng kể thu được trong chẩn đoán và điều trị UTBMTBG hiện nay tập trung chủ yếu ở bệnh nhân có khối u ở giai đoạn sớm, không quá muộn.
Phương pháp xạ trị trong chọn lọc với hạt vi cầu phóng xạ Y-90 là sử dụng hạt vi cầu phóng xạ Ytrium-90 bơm vào động mạch nuôi khối u gan. Khi bơm vào động mạch, các hạt vi cầu này sẽ đi vào các nhánh động mạch nhỏ khắp trong khối u gây tắc mạch. Khi đó, khối u sẽ bị tiêu diệt theo 2 cơ chế: giảm nuôi dưỡng u và bức xạ bêta năng lượng 0,93MeV được phát ra từ đồng vị phóng xạ Ytrium-90 gắn trên các hạt vi cầu sẽ làm xơ hóa các mạch máu nuôi khối u gan và tiêu diệt các tế bào ung thư, làm giảm thể tích hoặc phá hủy hoàn toàn khối u gan mà rất ít ảnh hưởng đến tổ chức xung quanh.
Hiện nay, ung thư gan có rất nhiều phương pháp điều trị ung thư gan, càng phát hiện sớm, hiệu quả điều trị còn cao.
Các bác sĩ cũng khuyến cáo phòng bệnh hơn chữa bệnh. Mọi người nên tiêm vắc xin phòng viêm gan B, hạn chế rượu bia và nên có chương trình khám sàng lọc cho các đối tượng có nguy cơ cao để có thể phát hiện bệnh ở giai đoạn sớm, hiệu quả điều trị chắc chắn sẽ tốt hơn.
