Theo trang tin Ifeng của Trung Quốc, đây không phải lần đầu cô gái 25 tuổi đến gặp bác sĩ vì sự việc hi hữu mọc lông ở nướu. Trước đó, năm 2009, cô từng đi khám khi phát hiện những “sợi răng” lạ.
Thời điểm đó, bác sĩ chỉ định cô xét nghiệm máu và hormone sinh dục. Kết quả chỉ ra nồng độ hormone của cô gái tương đối cao, đặc biệt là testosterone và hormone tạo hoàng thể. Siêu âm còn phát hiện nhiều u nang ở vùng kín, buồng trứng, chẩn đoán mắc hội chứng buồng trứng đa nang.
Song song quá trình điều trị buồng trứng đa nang, bác sĩ cho bệnh nhân tẩy lông, phẫu thuật loại bỏ u và uống thuốc. Sau 4 tháng, nồng độ hormone của bệnh nhân thay đổi rõ rệt, “sợi răng” cũng không mọc lại.
![]() |
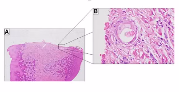
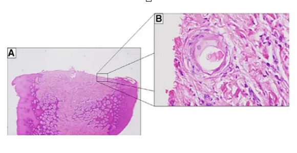
| Biểu mô rãnh nướu có sự phì đại nhẹ của biểu mô vảy. Một chân lông cũng được phát hiện trong mô nướu. Ảnh: Ifeng |
Suốt 6 năm, cô gái không trở lại tái khám. Lần khám thứ hai, bác sĩ chỉ định thực hiện sinh thiết. Sau khi thu hoạch biểu mô rãnh nướu, bác sĩ nhận thấy một đoạn của niêm mạc nướu (hình A, B) có sự phì đại nhẹ của biểu mô vảy và một chân lông trong mô nướu.
![]() |
| Cận cảnh "sợi răng" của cô gái được chụp lại. Ảnh: Ifeng |
Ở lần khám này, cô gái được điều trị tại khoa nội tiết. Sau 1 năm, tình trạng mọc lông răng không giảm mà còn tồi tệ hơn. Ngoài mọc nhiều “sợi răng”, các vùng cổ, cằm cô gái cũng mọc nhiều lông.
Được biết, tình trạng mọc lông ở nướu của cô gái tái phát là do cô ngừng dùng thuốc trị hội chứng buồng trứng đa nang. Bác sĩ tin rằng lông phát triển bất thường bắt nguồn tự sự mất cân bằng nội tiết. Về phương pháp điều trị, liệu pháp hormone có hiệu quả. Để đảm bảo sức khỏe, cô gái cần kiên trì dùng thuốc, không tự ý điều trị ngắt quãng.
Thực tế, không ít trường hợp phụ nữ mắc bệnh khiến râu, lông phát triển mạnh đã được ghi nhận trước đây. Những nơi lông, râu mọc nhiều gồm ngực, lưng, mặt. Tuy nhiên, lông mọc ở miệng lại cực kỳ hiếm. Y văn thế giới trước đó chỉ mới ghi nhận được 5 ca như vậy.
>>> Mời độc giả xem thêm video: Sâu răng có thể làm tăng nguy cơ đột quỵ não
Nguồn video: THĐT

