Bé gái xương sống vẹo 170 độ sống sót sau 12 lần phẫu thuật

Bé gái xương sống vẹo 170 độ sống sót sau 12 lần phẫu thuật

(Kiến Thức) - Một bé gái bị cong vẹo cột sống rồi đè lên các cơ quan nội tạng cuối cùng đã có thể sống một cuộc sống bình thường sau 12 lần phẫu thuật.

Ellisha Hockham, 11 tuổi, được chẩn đoán là bị cong vẹo cột sống khi vẫn còn trong bụng mẹ. Khi mang thai được 20 tuần, cặp vợ chồng Sally và Shane sống tại Ipswich (Anh) còn được khuyên nên bỏ thai vì xương sống của thai nhi đang bị gập 80 độ và bé có thể sẽ không sống quá 10 tuổi.
Ellisha Hockham, 11 tuổi, được chẩn đoán là bị cong vẹo cột sống khi vẫn còn trong bụng mẹ. Khi mang thai được 20 tuần, cặp vợ chồng Sally và Shane sống tại Ipswich (Anh) còn được khuyên nên bỏ thai vì xương sống của thai nhi đang bị gập 80 độ và bé có thể sẽ không sống quá 10 tuổi.
Muốn cho con mình một cơ hội tốt nhất có thể, cặp vợ chồng này đã từ chối không nghe theo lời khuyên của bác sĩ. Khi mới 10 tháng tuổi, bé Ellisha đã được phẫu thuật lần đầu tiên. Những năm đầu đời của cô bé phải sống trong cảnh bó bột nhưng khi lên 6 tuổi, xương sống bị cong gập xấu nhất thành 170 độ, bác sĩ cho biết nếu không phẫu thuật thêm thì xương sống sẽ dần nghiến nát cô bé.
Muốn cho con mình một cơ hội tốt nhất có thể, cặp vợ chồng này đã từ chối không nghe theo lời khuyên của bác sĩ. Khi mới 10 tháng tuổi, bé Ellisha đã được phẫu thuật lần đầu tiên. Những năm đầu đời của cô bé phải sống trong cảnh bó bột nhưng khi lên 6 tuổi, xương sống bị cong gập xấu nhất thành 170 độ, bác sĩ cho biết nếu không phẫu thuật thêm thì xương sống sẽ dần nghiến nát cô bé.
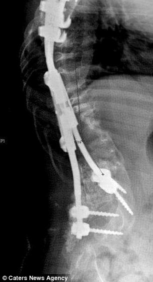
Kể từ đó Ellisha phải phẫu thuật thêm nhiều lần, trong đó có phẫu thuật làm giảm tốc độ gãy gập, phẫu thuật đưa thanh titan vào để ép thẳng xương sống rồi lại kéo dài những thanh nẹp này theo sự phát triển chiều cao của bé.
Kể từ đó Ellisha phải phẫu thuật thêm nhiều lần, trong đó có phẫu thuật làm giảm tốc độ gãy gập, phẫu thuật đưa thanh titan vào để ép thẳng xương sống rồi lại kéo dài những thanh nẹp này theo sự phát triển chiều cao của bé.
Cô Sally, mẹ của Ellisha cho biết nhìn thấy con trải qua một lần phẫu thuật đã không dễ chịu chút nào nhưng 12 lần thì quá đau đớn đối với một người mẹ. 12 lần phẫu thuật trong vòng 11 năm đối với một đứa trẻ còn nhiều hơn cả số lần phẫu thuật của một người bình thường trong suốt cuộc đời nhưng bé Ellisha chưa một lần tỏ ra khó chịu.
Cô Sally, mẹ của Ellisha cho biết nhìn thấy con trải qua một lần phẫu thuật đã không dễ chịu chút nào nhưng 12 lần thì quá đau đớn đối với một người mẹ. 12 lần phẫu thuật trong vòng 11 năm đối với một đứa trẻ còn nhiều hơn cả số lần phẫu thuật của một người bình thường trong suốt cuộc đời nhưng bé Ellisha chưa một lần tỏ ra khó chịu.
Ellisha hiện mang trong người 2 thanh titan, 8 đinh vít và 4 cái nẹp để cố định xương sống. Cô bé đang chuẩn bị phẫu thuật lần thứ 13 để tiếp tục kéo dài thanh kim loại.
Ellisha hiện mang trong người 2 thanh titan, 8 đinh vít và 4 cái nẹp để cố định xương sống. Cô bé đang chuẩn bị phẫu thuật lần thứ 13 để tiếp tục kéo dài thanh kim loại.

GALLERY MỚI NHẤT