7 dấu hiệu ban đầu tiềm ẩn ung thư bạch cầu

7 dấu hiệu ban đầu tiềm ẩn ung thư bạch cầu

(Kiến Thức) - Có thể những dấu hiệu rất thông thường như mệt mỏi, sút cân cũng lbáo hiệu sớm của bệnh ung thư bạch cầu.

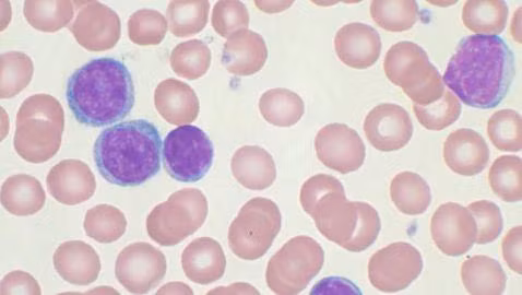
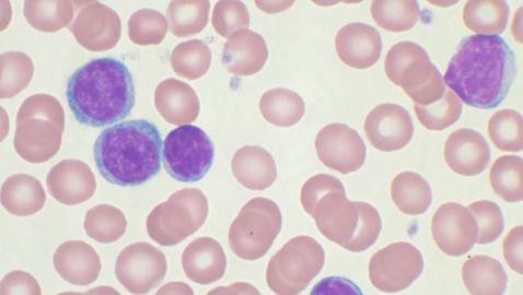
Ung thư bạch cầu (còn gọi là ung thư máu, bệnh bạch cầu) là một dạng ung thư ác tính. Thông thường, bạch cầu làm nhiệm vụ bảo vệ cơ thể, tuy nhiên khi mắc bệnh nó sẽ tăng lên đột biến và trở nên hung dữ, gây hại cho cơ thể. Khi đó, bạch cầu sẽ bị thiếu thức ăn, dẫn đến hiện tượng ăn hết hồng cầu khiến cho các hồng cầu bị phá hủy dần, người bệnh thiếu máu dẫn đến tử vong. Bệnh rất nguy hiểm, vì vậy bạn cần phải nhận biết rõ dấu hiệu sớm của nó.
Ung thư bạch cầu (còn gọi là ung thư máu, bệnh bạch cầu) là một dạng ung thư ác tính. Thông thường, bạch cầu làm nhiệm vụ bảo vệ cơ thể, tuy nhiên khi mắc bệnh nó sẽ tăng lên đột biến và trở nên hung dữ, gây hại cho cơ thể. Khi đó, bạch cầu sẽ bị thiếu thức ăn, dẫn đến hiện tượng ăn hết hồng cầu khiến cho các hồng cầu bị phá hủy dần, người bệnh thiếu máu dẫn đến tử vong. Bệnh rất nguy hiểm, vì vậy bạn cần phải nhận biết rõ dấu hiệu sớm của nó.
1. Có những triệu chứng giống như cúm. Nếu bạn có những triệu chứng như ớn lạnh dai dẳng, đêm đổ mồ hôi hay sốt và đau cơ thì đó có thể là dấu hiệu của bệnh bạch cầu. Nếu các triệu chứng này giảm dần sau vài ngày thì bạn không cần lo lắng quá.
1. Có những triệu chứng giống như cúm. Nếu bạn có những triệu chứng như ớn lạnh dai dẳng, đêm đổ mồ hôi hay sốt và đau cơ thì đó có thể là dấu hiệu của bệnh bạch cầu. Nếu các triệu chứng này giảm dần sau vài ngày thì bạn không cần lo lắng quá.
2. Mệt mỏi mãn tính. Vì mật mỏi rất phổ biến nên ai cũng bỏ qua dấu hiệu này. Khi số lượng hồng cầu khoẻ mạnh giảm, chúng không thể thực hiện nhiệm vụ đưa oxy tới khắp nơi trên cơ thể người. Kết quả là người bệnh sẽ bị thiếu máu và gặp các chứng như yếu cơ, ít sức vận động. Thường xuyên phải ngồi, nghỉ ngơi, không thể vận động như bình thường là những dấu hiệu bạn cần xem xét. Một số bệnh nhân còn cho biết họ gặp vấn đề với việc giữ thăng bằng.
2. Mệt mỏi mãn tính. Vì mật mỏi rất phổ biến nên ai cũng bỏ qua dấu hiệu này. Khi số lượng hồng cầu khoẻ mạnh giảm, chúng không thể thực hiện nhiệm vụ đưa oxy tới khắp nơi trên cơ thể người. Kết quả là người bệnh sẽ bị thiếu máu và gặp các chứng như yếu cơ, ít sức vận động. Thường xuyên phải ngồi, nghỉ ngơi, không thể vận động như bình thường là những dấu hiệu bạn cần xem xét. Một số bệnh nhân còn cho biết họ gặp vấn đề với việc giữ thăng bằng.
3. Giảm cân không rõ lý do. Mất khẩu vị là một dấu hiệu thông thường ở bệnh bạch cầu. Tình trạng này có thể diễn ra từ từ nên người bệnh có thể bị sút cân mà không nhận ra. Giảm cân không thông qua chế độ ăn uống hay luyện tập thì thật đáng ngờ. Trong trường hợp này, hãy đi khám bác sỹ để được kiểm tra rõ.
3. Giảm cân không rõ lý do. Mất khẩu vị là một dấu hiệu thông thường ở bệnh bạch cầu. Tình trạng này có thể diễn ra từ từ nên người bệnh có thể bị sút cân mà không nhận ra. Giảm cân không thông qua chế độ ăn uống hay luyện tập thì thật đáng ngờ. Trong trường hợp này, hãy đi khám bác sỹ để được kiểm tra rõ.
4. Cơ thể có những vết bầm tím và chảy máu. Những người bị căn bệnh này sẽ có xu hướng dễ bầm tím và chảy máu hơn dù là một vết cắt rất nhỏ vì chứng giảm tiểu cầu sẽ ngăn máu đông. Những vết bầm có thể đột nhiên xuất hiện ở những nơi lạ như ngón tay, bàn tay, bụng, lưng. Các vấn đề liên quan tới chảy máu gồm có: Đứt tay khó lành, thường xuyên chảy máu cam hay kinh nguyệt dài kì bất thường ởphụ nữ.
4. Cơ thể có những vết bầm tím và chảy máu. Những người bị căn bệnh này sẽ có xu hướng dễ bầm tím và chảy máu hơn dù là một vết cắt rất nhỏ vì chứng giảm tiểu cầu sẽ ngăn máu đông. Những vết bầm có thể đột nhiên xuất hiện ở những nơi lạ như ngón tay, bàn tay, bụng, lưng. Các vấn đề liên quan tới chảy máu gồm có: Đứt tay khó lành, thường xuyên chảy máu cam hay kinh nguyệt dài kì bất thường ởphụ nữ.
5. Có nốt đỏ trên da. Những đốm xuất huyết màu đỏ hoặc đỏ tía thường xuất hiện thành đám trên ngực, lưng, mặt và cánh tay của người bệnh. Đó là triệu chứng cho thấy máu không đông. Dấu hiệu này có thể bị nhầm lẫn với chứng phát ban nhưng thực chất, chúng là những mạch máu bị vỡ do giảm tiểu cầu.
5. Có nốt đỏ trên da. Những đốm xuất huyết màu đỏ hoặc đỏ tía thường xuất hiện thành đám trên ngực, lưng, mặt và cánh tay của người bệnh. Đó là triệu chứng cho thấy máu không đông. Dấu hiệu này có thể bị nhầm lẫn với chứng phát ban nhưng thực chất, chúng là những mạch máu bị vỡ do giảm tiểu cầu.
6. Thường xuyên bị nhiễm trùng. Bệnh bạch cầu cấp hoặc mãn tính đều làm giảm sức đề kháng của cơ thể gây nên tình trạng sốt kéo dài. Ngoài ra, bạn có thể hay bị nhiễm trùng hơn thông thường như nhiễm trùng họng, nhiễm trùng tai, nhiễm trùng da.
6. Thường xuyên bị nhiễm trùng. Bệnh bạch cầu cấp hoặc mãn tính đều làm giảm sức đề kháng của cơ thể gây nên tình trạng sốt kéo dài. Ngoài ra, bạn có thể hay bị nhiễm trùng hơn thông thường như nhiễm trùng họng, nhiễm trùng tai, nhiễm trùng da.
Nguyên do của dấu hiệu này là vì cơ thể đang gặp khó khăn trong việc chiến đấu với các tế bào ung thư và các tế bào này khi chiến thắng đã đẩy bạch cầu khoẻ mạnh ra ngoài, không để chúng thực hiện chức năng của mình.
Nguyên do của dấu hiệu này là vì cơ thể đang gặp khó khăn trong việc chiến đấu với các tế bào ung thư và các tế bào này khi chiến thắng đã đẩy bạch cầu khoẻ mạnh ra ngoài, không để chúng thực hiện chức năng của mình.
7. Đau xương và đau cơ. Đau xương và cơ không rõ lý do thì nên đi khám bạch cầu. Cơn đau xảy ra khi tủy xương nở do sự tích lũy bạch cầu bất thường. Người bệnh có thể thấy đau nhói hoặc âm ỉ, tùy thuộc vào chỗ đau. Xương dài nơi chân và cánh tay là những vị trí đau phổ biến nhất. Điều này là kết quả của tủy xương bị lấp đầy bởi các tế bào bất thường.
7. Đau xương và đau cơ. Đau xương và cơ không rõ lý do thì nên đi khám bạch cầu. Cơn đau xảy ra khi tủy xương nở do sự tích lũy bạch cầu bất thường. Người bệnh có thể thấy đau nhói hoặc âm ỉ, tùy thuộc vào chỗ đau. Xương dài nơi chân và cánh tay là những vị trí đau phổ biến nhất. Điều này là kết quả của tủy xương bị lấp đầy bởi các tế bào bất thường.
http://www.wikihow.com/Recognize-the-Signs-of-Leukemia

GALLERY MỚI NHẤT