Ba bé trai đã trải qua 43 ngày đầy thử thách tại Khoa Nhi - Sơ sinh, Bệnh viện Phụ sản TP Cần Thơ, nơi mỗi nhịp thở, mỗi cử động đều được nâng niu, vun đắp cho một tương lai khỏe mạnh...
Rối loạn chảy máu là một nhóm bệnh có biểu hiện chảy máu kéo dài, lâu cầm mà nguyên nhân do cơ thể người bệnh có khó khăn trong việc tạo ra cục máu đông.
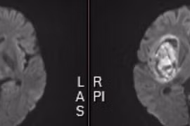
Đây là một ca máu tụ nội sọ kích thước và thể tích lớn trên nền bệnh nhân tăng huyết áp, béo phì... nếu không được phẫu thuật ngay hoặc quá trình vận chuyển không đảm bảo, tụt kẹt não dẫn đến tử vong.
Cả hai bệnh nhân đều trong tình trạng nguy kịch, rối loạn ý thức, huyết áp cao kịch ngưỡng. Dù bệnh nhân được cứu sống nhưng di chứng để lại vẫn rất nặng nề. Cần biết cách phòng tránh.
Khoảng 80% bệnh nhân bị xuất huyết não có tiền sử tăng huyết áp. Xuất huyết não thường gặp ở người cao tuổi có bệnh lý nền như tăng huyết áp và những bệnh nhân từng bị đột quỵ...
Việc tự ý ngừng uống thuốc khi đang điều trị các bệnh mạn tính có thể khiến người bệnh phải đổi mặt với nhiều hậu quả nghiêm trọng về sức khoẻ, thậm chí là tử vong.
Ngày 25/12, gia đình hai người bệnh chết não tại Bệnh viện đa khoa tỉnh Phú Thọ đã đồng lòng đưa ra quyết định hiến tạng của người thân để giúp nhiều người bệnh hiểm nghèo có cơ hội được “hồi sinh” cuộc sống mới.
Khi ngừng thuốc trị tăng huyết áp đột ngột, huyết áp có thể tăng lên quá cao, mạch máu não không chịu nổi áp lực cao có thể bị vỡ, lúc đó bệnh nhân bị xuất huyết não, gây liệt nửa người, liệt hoàn toàn,...
Tăng huyết áp là bệnh không bao giờ khỏi mà chỉ ổn định với thuốc. Chúng ta có thể sống hòa bình với bệnh với điều kiện chúng ta cần uống thuốc huyết áp đúng cách và đều đặn suốt đời.
Sau khi nhập viện khoảng 10 giờ, bệnh nhân D. bắt đầu có hiện tượng mờ 2 mắt, diễn tiến mù hoàn toàn. Dựa trên các kết quả cận lâm sàng, sau khi tiến hành hội chẩn, bác sĩ xác định bệnh nhân bị viêm đa xoang biến chứng mắt.
Sự hiểu về nguyên nhân, dấu hiệu cảnh báo bệnh đột quỵ não và cách phòng ngừa, không chỉ giúp cứu sống người bệnh kịp thời mà còn tăng tỷ lệ phục hồi sau cơn đột quỵ.
Dị dạng này là nguyên nhân gây xuất huyết não chủ yếu ở người trẻ và trẻ em với nguy cơ xuất huyết hàng năm là 2 – 4%. Tỉ lệ tử vong do xuất huyết là 10% và di chứng thần kinh là 30 – 50%.