Loạt triệu chứng phát hiện sớm bệnh u não

Loạt triệu chứng phát hiện sớm bệnh u não

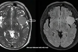
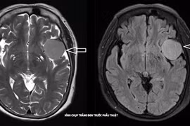
Khối u não có thể hình thành trong các tế bào não hoặc bắt đầu từ nơi khác và di căn đến não. Phát hiện bệnh sớm thông qua các triệu chứng ban đầu giúp bệnh nhân có thể được cứu sống.
Phát hiện sớm u não

Phát hiện sớm u não

U não là những khối u hình thành do sự phát triển bất thường của các tế bào trong não. Phát hiện sớm u não để điều trị sớm.