Trí tuệ nhân tạo (AI) đang bước vào giai đoạn cạnh tranh khốc liệt nhất từ trước đến nay, với các "bộ não nhân tạo" như ChatGPT (OpenAI), Gemini (Google), Claude (Anthropic), DeepSeek, Copilot (Microsoft) và Meta AI.
Nghiên cứu mới công bố hé lộ một đám mây tro nóng trên 510 độ C xuất hiện sau vụ phun trào núi lửa Vesuvius năm 79 sau Công nguyên đã biến não người thành thủy tinh.
Sinh vật này là một trong những loài thông minh nhất trong thế giới động vật, với khả năng giải quyết vấn đề, ngụy trang và thậm chí học hỏi từ việc quan sát sự vật hiện tượng xung quanh.
Bạch tuộc là một trong những sinh vật thông minh nhất trong thế giới động vật, với khả năng giải quyết vấn đề, ngụy trang và thậm chí học hỏi từ việc quan sát sự vật hiện tượng xung quanh.
Phát hiện này không chỉ làm sáng tỏ về mối liên kết thần kinh giữa hai loài khác nhau mà còn mở ra những hướng nghiên cứu tiềm năng về các rối loạn xã hội ở con người, đặc biệt là rối loạn phổ tự kỷ (ASD).
Mặc dù khoa học đã có nhiều tiến bộ, bản chất thực sự của giấc mơ vẫn chưa được giải mã hoàn toàn. Nhiều giả thuyết đã được đưa ra để lý giải tại sao chúng ta nằm mơ.
Mặc dù khoa học đã có nhiều tiến bộ, bản chất thực sự của giấc mơ vẫn chưa được giải mã hoàn toàn. Nhiều giả thuyết đã được đưa ra để lý giải tại sao chúng ta nằm mơ.
Trung bình trong cuộc đời con người, gần 1/3 thời gian đó là dành cho việc ngủ, và khi ngủ, đầu óc không phải lúc nào cũng trống rỗng. Nhiều lần, chúng ta sẽ mơ.
Các nhà nghiên cứu đã phát hiện ra bộ não của nhóm động vật lớn nhất còn nguyên vẹn sau khi tìm thấy hài cốt của một sinh vật cực nhỏ giống loài giun sống cách đây nửa tỷ năm.
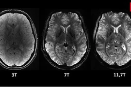
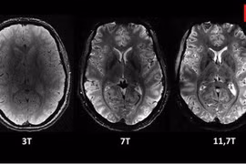
Những triển vọng được mở ra bởi cỗ máy độc đáo này trên thế giới là rất lớn, giúp các nhà khoa học thiết lập các chẩn đoán tốt hơn cho nhiều loại bệnh về não.
Với sự phát triển không ngừng của công nghệ, giới chuyên gia dự báo, sớm nhất là vào năm 2030, con người có thể tiến gần hơn đến sự bất tử nhờ sự hỗ trợ của 4 công nghệ dưới đây.
Ngày nay, Internet đã có mặt ở khắp các công sở, nhà hàng, từng gia đình. Ở bất cứ đâu, không khó để bắt gặp hình ảnh một cô bé hoặc cậu bé ngồi chăm chú cầm chiếc điện thoại thông minh, không quan tâm đến mọi thứ xung quanh.