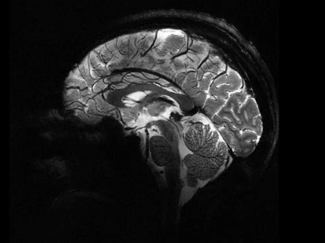
Siêu máy quét MRI cho hình ảnh rõ nét nhất về bộ não người

Những triển vọng được mở ra bởi cỗ máy độc đáo này trên thế giới là rất lớn, giúp các nhà khoa học thiết lập các chẩn đoán tốt hơn cho nhiều loại bệnh về não.

Sieu may quet MRI cho hinh anh ro net nhat ve bo nao nguoi

Bộ não người chụp từ máy quét MRI Iseult (Ảnh: CEA).

Những hình ảnh lịch sử này được chụp từ máy quét MRI Iseult, chụp cộng hưởng từ, trong trung tâm nghiên cứu CEA, Ủy ban Năng lượng Nguyên tử Pháp.

Giám đốc nghiên cứu tại CEA, Nicolas Boulant cho biết: "Đó là một thế giới chưa biết, mở ra trước mắt chúng ta và các nhà khoa học đang nóng lòng muốn khám phá nó.

Với những hình ảnh này, chúng ta có thể thấy những chi tiết khá ngoạn mục. Nó cho chúng ta biết về các chi tiết giải phẫu như tĩnh mạch hoặc các lớp vỏ não mà trước đây không thể đạt được".

Nhờ máy quét MRI Iseult, các nhà nghiên cứu có thể bóc tách bộ não của chúng ta với độ chính xác đáng kinh ngạc: khoảng một phần trăm triệu mét hay độ dày của bốn sợi tóc.

Những kết quả này đánh dấu đỉnh cao của các nhà nghiên cứu sau hơn 20 năm làm việc, với tổng chi phí khoảng 200 triệu euro.

Sieu may quet MRI cho hinh anh ro net nhat ve bo nao nguoi-Hinh-2

Phần trục của não người (Ảnh: CES).

Nhà nghiên cứu Anne Isabelle Etienvre (CEA), cho biết, cỗ máy này tạo ra từ trường kỷ lục (11,7 đơn vị Tesla), gấp 230.000 lần từ trường Trái Đất. Lưu ý rằng, từ trường càng cao thì độ phân giải của hình ảnh càng lớn.

Cỗ máy quét MRI hiện được đặt tại trung tâm hình ảnh thần kinh CEA Neurospin ở Saclay (Pháp).

Nó sở hữu một nam châm điện khổng lồ có đường kính 5 mét, dài 5 mét và nặng hơn 130 tấn, sử dụng năng lượng từ dòng điện lên đến 1.500 Ampe.

Kiệt tác này được tạo thành từ 182km dây hợp kim niobium-titan siêu dẫn, quấn trong một cuộn dây. Để hoạt động, nó phải được làm lạnh đến nhiệt độ âm 271,35⁰C, nhờ 7.500 lít heli siêu lỏng.

Hình ảnh về bộ não của những tình nguyện viên được giới thiệu tới công chúng vào ngày 2/4, là một khoảnh khắc lịch sử.

Lần đầu tiên trên thế giới, bộ não của chúng ta được chụp lại với độ chính xác cao. Nó hy vọng sẽ làm sáng tỏ kiến thức y học và khoa học, tiết lộ những hứa hẹn tuyệt vời cho tương lai.

Nhờ các phân tích chức năng, máy quét MRI này có thể giúp chúng ta hiểu rõ hơn cách thức hoạt động của não trong các quá trình nhận thức như đọc, học ngôn ngữ.

Đồng thời cỗ máy cũng có thể thăm dò hoạt động sinh hóa của não hay lập bản đồ phân bố của lithium, glucose, glutamate hoặc sắt có trong não bộ. Những chất này vốn liên quan đến các bệnh tâm thần khác nhau (rối loạn lưỡng cực, tâm thần phân liệt) hoặc các bệnh thoái hóa thần kinh.

Ví dụ, việc phát hiện lượng sắt dư thừa trong não sẽ giúp chẩn đoán bệnh Parkinson trước nhiều năm. Ngày nay, vấn đề chẩn đoán căn bệnh này đã rất muộn.

Việc các nhà khoa học có thể phát hiện các quá trình diễn ra trong não ở giai đoạn sớm hơn có thể giúp chúng ta hiểu rõ về căn bệnh này, hoặc thậm chí cho phép nghiên cứu, phát triển các phương pháp điều trị mới. 

Thường xuyên ngủ trưa có thể ngăn ngừa lão hóa

Một nghiên cứu được công bố trên tạp chí Sleep Health cho thấy việc chợp mắt vào ban ngày có thể tương quan với tổng thể tích não lớn hơn.

Theo Viện Y tế Quốc gia Mỹ, khi chúng ta già đi, bộ não giảm kích thước và trọng lượng khoảng 5% sau mỗi thập kỷ. Quá trình này bắt đầu thấy rõ khi bạn bước sang tuổi 40 và có thể nhanh hơn sau 70 tuổi. Khi đó, mọi người sẽ có những thay đổi trong chức năng nhận thức đi kèm với quá trình lão hóa.

Cách dọn "rác não"

Bạn tìm thấy chìa khóa ôtô trong tủ lạnh hay gọi nhầm tên con bạn thành tên chú cún, hoặc tệ hơn là quên ngày kỷ niệm ngày cưới thì đừng trách bản thân. Hãy chú ý não bộ của bạn.

Tiến sĩ Marc Milstein, cho biết: “Những điều này là vô cùng bình thường nhưng nếu tần suất chúng xảy ra tăng lên thì bạn cần phải để tâm đến nó”. Milstein là người có bằng tiến sĩ về hóa sinh học và là tác giả của cuốn sách The Age Proof Brain: New Strategies To Improve Memory, Protect Immunity & Fight Off Dementia (tạm dịch: Bộ não chứng minh tuổi tác).

“Bộ não của bạn được tạo thành từ 80 tỷ tế bào não và giữa những tế bào não đó là 100.000 tỷ kết nối. Đó là điều khiển cách bạn suy nghĩ, di chuyển, ước mơ, hy vọng của bạn. Khi già đi, chúng ta có thể mất một số kết nối đó”, Tiến sĩ Milstein giải thích.

Khoa học lý giải hiện tượng nổi da gà

Chúng ta thường nổi da gà khi bị lạnh hoặc dâng trào cảm xúc trước bài nhạc hoặc bộ phim hay. Hóa ra đây vốn là một chức năng phòng vệ thú vị.

Vì sao chúng ta nổi da gà?

Nổi da gà, ớn lạnh - bất kể bạn gọi chúng là gì - là một cảm giác dễ chịu kỳ lạ mà hầu hết chúng ta đều trải qua khi bị lạnh hay dâng trào cảm xúc. Hiện tượng này tạo ra những nốt nhỏ trên da thịt (giống như da gà vặt lông) và khiến chúng ta ớn lạnh sống lưng.

Đọc nhiều nhất

Tin mới

Sản phụ sau sinh ăn gì để lợi sữa?

Sản phụ sau sinh ăn gì để lợi sữa?

Mẹ bầu sau sinh cần một chế độ dinh dưỡng cân đối, khoa học giữa các nhóm chất dinh dưỡng như chất đạm, chất béo, chất bột đường, vi khoáng, chất xơ.