Thủng tử cung vì đặt vòng tránh thai 30 năm
Mới đây, Bệnh viện Bạch Mai (Hà Nội) tiếp nhận và xử trí cho một nữ bệnh nhân 69 tuổi bị thủng tử cung do tiền sử đặt dụng cụ tránh thai 30 năm.
Báo Người Lao Động dẫn lời bác sĩ Triệu Văn Trường, Phó trưởng Khoa Ngoại tổng hợp, Bệnh viện Bạch Mai, cho biết bệnh nhân này đã đặt vòng tránh thai 30 năm. Gần đây, thấy ra dịch nhầy hồng âm đạo nên bà đến bệnh viện để tháo nhưng thất bại. Sau 4 ngày, bà đau hạ vị liên tục kèm nôn, ra dịch máu âm đạo, không trung tiện được, không sốt.
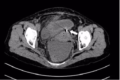
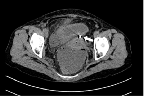
![]() |
| Hình ảnh chụp cho thấy dụng cụ tử cung xuyên qua thành tử cung vào ruột. Ảnh: Bệnh viện cung cấp/Người Lao Động. |
Khi vào viện, bệnh nhân có biểu hiện viêm phúc mạc như bụng chướng, ấn đau khắp bụng. Chụp cắt lớp vi tính thấy hình ảnh dịch khí tự do trong ổ bụng, tắc ruột cơ năng, dày thành ruột vị trí hố chậu phải và dị vật xuyên thủng đáy tử cung.
Các bác sĩ thực hiện ca mổ cấp cứu cho bệnh nhân, cắt tử cung bán phần, khâu lỗ thủng ruột non, rửa sạch ổ bụng. Tuy nhiên, sau mổ 6 ngày, bệnh nhân phải mổ lại lần thứ hai để đưa hai đầu ruột non ra ngoài tạm thời do bục lỗ khâu ruột non. Quá trình hậu phẫu ổn định, người bệnh vừa được xuất viện sau mổ lần thứ hai mười ngày.
Trước đó, nhiều trường hợp đã phải nhập viện cấp cứu do vòng tránh thai..."đi lạc".
Suýt thủng ruột vì vòng tránh thai "đi lạc"
Tháng 8/2023, Bệnh viện Sản Nhi Nghệ An cấp cứu hai trường hợp vòng tránh thai "chạy" lạc chỗ, đâm xuyên thành tử cung vào thành đại tràng Sigma và manh tràng.
Theo báo Sức khỏe và Đời sống, trường hợp thứ nhất là chị T.T.P (30 tuổi), vào viện vì đau bụng âm ỉ vùng chậu dưới rốn. Chị P. có tiền sử đặt vòng tránh thai cách 5 tháng tại phòng khám tư, đã đi kiểm tra lại nhưng đều được kết luận bình thường.
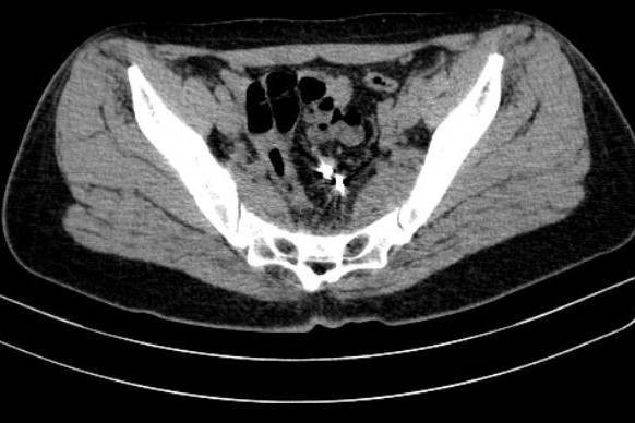
![]() |
| Các bác sĩ tiến hành phẫu thuật nội soi lấy vòng tránh thai "chạy" lạc chỗ. Ảnh: Sức khỏe và Đời sống. |
Sau khi hỏi bệnh, thăm khám và làm các xét nghiệm cần thiết, chụp cắt lớp vi tính cho thấy hình ảnh vòng tránh thai nằm 1 đầu ở buồng trứng và 1 đầu ở thanh mạc đại tràng. Với vị trí này, nếu không xử lý, nguy cơ thủng đại tràng là rất cao. Sau hội chẩn, các bác sĩ quyết định phẫu thuật nội soi để lấy dụng cụ tử cung lạc chỗ.
Trường hợp thứ 2 là chị N.T.H (29 tuổi), ở huyện Đô Lương (Nghệ An), đặt vòng tránh thai tại cơ sở y tế tư nhân gần nhà cách 7 tháng, sau đó chị H. không đi khám lại. Khi thường xuyên đau bụng dưới và rối loạn tiêu hóa, chị H. đi khám tại Bệnh viện Sản Nhi Nghệ An thì phát hiện dụng cụ tránh thai đã "đi lạc" chỗ vào thành manh tràng.
Dụng cụ tránh thai cắm xuyên dạ dày
Tháng 5/2023, một người phụ nữ ở Hải Phòng nhập viện trong tình trạng đau bụng. Các bác sĩ phát hiện dụng cụ tránh thai không ở tử cung mà cắm xuyên dạ dày bệnh nhân.
Theo thông tin trên báo Vietnamnet, một bệnh viện tại Hải Phòng đã tiếp nhận bệnh nhân nữ, 57 tuổi, trong tình trạng đau bụng thượng vị, chướng bụng, ăn kém từ hơn một tháng. Qua thăm khám, nội soi thực quản, dạ dày, tá tràng và chụp CT scanner, các bác sĩ nhận thấy dị vật dạng dụng cụ tránh thai đâm xuyên thành dạ dày.
![]() |
| Hình ảnh vòng tránh thai "đi lạc" sang dạ dày. Ảnh: BV cung cấp/Vietnamnet. |
Các bác sĩ đã hội chẩn và nhận thấy nếu dị vật không được lấy ra kịp thời có thể để lại hậu quả nghiêm trọng như tạo ổ viêm, ổ áp-xe, hoại tử gây thủng ruột. Thậm chí, bệnh nhân có thể gặp biến chứng về mạch máu và dẫn tới tử vong. Các bác sĩ tại bệnh viện này sau đó tiến hành mổ nội soi gấp để lấy dị vật ra khỏi dạ dày cho người bệnh.
Vòng tránh thai đâm thủng đại tràng
Vào tháng 3/2023, bệnh nhân H.H.L (38 tuổi) phải nhập viện cấp cứu vì vòng tránh thai đâm xuyên thành tử cung vào đại tràng.
Vietnamnet đưa tin về trường hợp này cho biết, trước khi vào viện, chị L. bị đau bụng vùng chậu dưới rốn âm ỉ, kèm đi ngoài ra máu. Trong suốt 3 năm đặt vòng tránh thai chị không đi kiểm tra lại.
Sau khi có kết quả xét nghiệm, chiếu chụp, các bác sĩ Khoa Phẫu Thuật Tiêu hóa - Gan mật tụy, Bệnh viện Bạch Mai (Hà Nội), quyết định phẫu thuật để lấy vòng tránh thai lạc chỗ và xử lý chỗ thủng đại tràng cho người phụ nữ này. Bệnh nhân được xuất viện sau 6 ngày.
![]() |
| Hình ảnh vòng tránh thai trong đại tràng. Ảnh: BVCC/Vietnamnet. |
Bác sĩ khuyến cáo
Theo bác sĩ Triệu Văn Trường, Phó trưởng Khoa Ngoại tổng hợp, Bệnh viện Bạch Mai, dụng cụ tử cung, hay vòng tránh thai là phương pháp tránh thai phổ biến nhất trên thế giới. Có đến 14,3% phụ nữ trong độ tuổi sinh sản hiện đang sử dụng dụng cụ tử cung. Tuy nhiên, dụng cụ này khi được đặt vào buồng tử cung cũng có thể gây ra một số biến chứng như đau, chảy máu bất thường, dụng cụ lạc chỗ gây thủng ruột non, thủng đại tràng hoặc thủng bàng quang,...
Ngoài ra, biến chứng liên quan đến thủ thuật tháo vòng có thể gặp như thủng tử cung, nhiễm trùng với tỉ lệ khoảng 1/1000 nhưng hậu quả rất nghiêm trọng. Tai biến này có thể kèm theo thủng ruột và bàng quang.
Bác sĩ Trường khuyên, với các chị em đặt vòng tránh thai, khi mãn kinh nên lấy vòng ra khỏi cơ thể để phòng tránh các biến chứng hoặc sau 5 năm nên tháo ra một lần.
Ngoài ra, để tránh biến chứng do vòng tránh thai lạc chỗ và xử lý kịp thời khi lạc chỗ, cần lưu ý:
- Tránh đặt vòng tránh thai trong thời kỳ hậu sản;
- Làm thủ thuật bằng dụng cụ phù hợp và tránh thô bạo;
- Đặt vòng tránh thai cần được thực hiện bởi người có kinh nghiệm và đặc biệt là tại cơ sở y tế uy tín;
- Khám và theo dõi định kỳ theo lịch hẹn của bác sĩ
>>> Mời độc giả xem thêm video: Dấu hiệu, biểu hiện của viêm nhiễm phụ khoa?
Nguồn video: Sức khỏe và Đời sống



