Từ chối điều trị vì u nhỏ, năm sau đi khám đã to 20 cm
Các bác sĩ khoa Ngoại Theo yêu cầu – Bệnh viện Ung Bướu Hà Nội vừa phẫu thuật thành công, cắt bỏ khối u có kích thước lên đến 20 cm choán gần hết lồng ngực. Được biết, bệnh nhân đã phát hiện u cách đây 1 năm nhưng từ chối phẫu thuật.
Bệnh nhân L., 64 tuổi, ở Thái Nguyên cho biết, nguyên nhân không phẫu thuật cách đây 1 năm do thấy khối u nhỏ, không gây khó chịu gì. Gần đây, bệnh nhân có triệu chứng khó thở tăng dần nhưng vẫn chần chừ đi khám, đến khi sức khỏe giảm sút nghiêm trọng, sụt 5 kg thì mới đến viện.
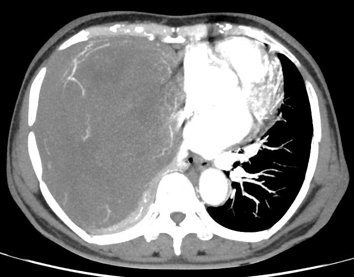
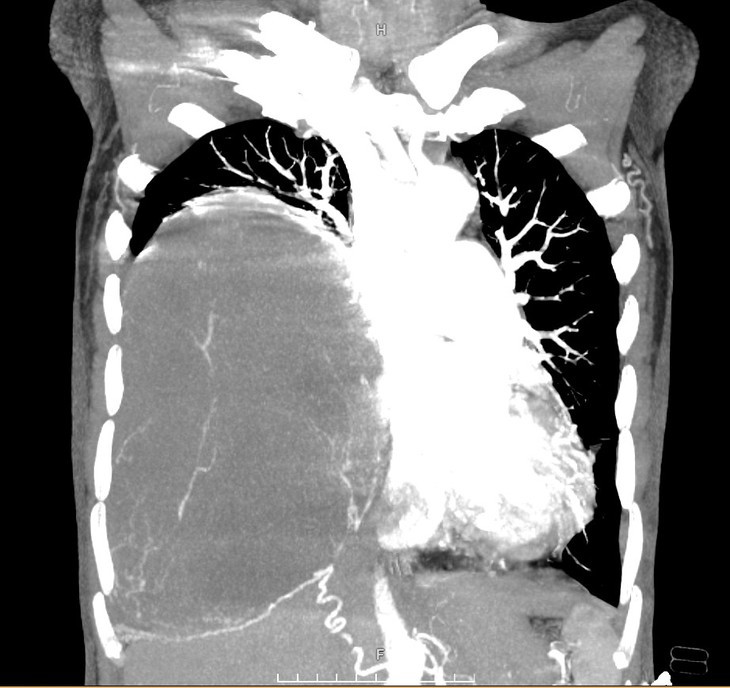
Kết quả chụp cắt lớp vi tính tại bệnh viện Ung Bướu Hà Nội cho thấy, lồng ngực phải có khối đặc kích thước 20x15 cm đè xẹp phổi, thâm nhiễm trung thất, thành ngực. Bệnh nhân được tiến hành sinh thiết khối u, kết quả giải phẫu bệnh là u xơ đơn độc.
Bệnh nhân sau đó được chỉ định phẫu thuật điều trị khối u, tuy nhiên tiên lượng phẫu thuật khó khăn do bệnh nhân gầy yếu, kích thước khối u lớn chiếm gần hết khoang lồng ngực, lại có nhiều mạch tân tạo.
![]() |
![]() |
| Hình ảnh khối u choán hết khoang lồng ngực của bệnh nhân - Ảnh BVCC |
TS.BS. Phan Lê Thắng, Trưởng khoa Ngoại Theo yêu cầu, Bệnh viện Ung Bướu Hà Nội cho biết, ê-kíp phẫu thuật đã phải hội chẩn tính toán kĩ trước mổ vì các thao tác phẫu thuật phải thực hiện trong trường mổ vô cùng chật hẹp. Khối u giàu mạch nuôi nên phẫu thuật viên phải phẫu tích tỉ mỉ, tìm và khống chế nguồn nuôi để đảm bảo an toàn cuộc mổ và hạn chế mất máu cho bệnh nhân.
Ca mổ được thực hiện thành công, khối u lấy ra có trọng lượng hơn 2 kg. Trong mổ, bệnh nhân không phải truyền thêm máu dự trù, hồi phục tốt, được rút dẫn lưu màng phổi ngày thứ 3 sau phẫu thuật, ra viện sau 5 ngày. Giải phẫu bệnh sau mổ: u xơ màng phổi đơn độc độ mô học 1.
Theo đánh giá của bác sĩ, trường hợp khối u kích thước lớn này khá hiếm gặp, việc bệnh nhân để lâu không điều trị không chỉ khiến việc phẫu thuật trở nên khó khăn mà còn có nguy cơ bệnh biến chuyển ác tính, ảnh hưởng tính mạng. Vì vậy, khi có chỉ định điều trị, bệnh nhân không nên chần chừ, bỏ lỡ “thời gian vàng” chữa bệnh.
U xơ đơn độc hiếm gặp nhưng đa phần lành tính
U xơ đơn độc màng phổi (Solitary Fibrous Tumor of the Pleura – SFTP) là một loại khối u hiếm gặp, phát sinh từ tế bào trung mô của màng phổi. Phần lớn u xơ đơn độc màng phổi là lành tính tuy nhiên khoảng 12-22% trường hợp có thể trở thành ác tính.
Triệu chứng u xơ đơn độc màng phổi thường không rõ ràng và chỉ xuất hiện khi khối u lớn, gây ra các triệu chứng chèn ép như khó thở, đau ngực hoặc ho kéo dài. Các thăm dò hình ảnh có vai trò quan trọng trong chẩn đoán, u xơ đơn độc màng phổi thường xuất hiện dưới dạng khối mờ, đơn độc trên X-quang hoặc CT ngực.
![]() |
| Hình ảnh khối u sau khi được phẫu thuật - Ảnh BVCC |
Khối u có thể có đường bờ rõ nét, hình tròn hoặc bầu dục và đôi khi có cuống. Sinh thiết khối u làm giải phẫu bệnh có vai trò quan trọng, thường được tiến hành trước khi điều trị giúp xác định chính xác bản chất của khối u.
Phẫu thuật đóng vai trò quyết định trong việc điều trị u xơ đơn độc màng phổi vì đây là phương pháp duy nhất giúp loại bỏ hoàn toàn khối u và giảm nguy cơ tái phát. Trong hầu hết các trường hợp, phẫu thuật triệt để cắt bỏ khối u mang lại tiên lượng tốt và tỷ lệ sống cao cho bệnh nhân.
Tiên lượng: U xơ đơn độc màng phổi lành tính thường có tiên lượng tốt sau phẫu thuật, nhưng cần theo dõi lâu dài vì nguy cơ tái phát hoặc chuyển thành ác tính.


