Những quan niệm khoa học tưởng “trên trời” hóa đúng (2)

Những quan niệm khoa học tưởng “trên trời” hóa đúng (2)

(Kiến Thức) - Màu ven do da, mô gây nên, con người dùng toàn bộ não ở nhiều thời điểm, Bắc Bán cầu nóng hơn vào mùa hè dù không gần Mặt trời…

Máu của chúng ta không bao giờ có màu xanh, sở dĩ ven có màu xanh là do da và mô gây nên.
Máu của chúng ta không bao giờ có màu xanh, sở dĩ ven có màu xanh là do da và mô gây nên.
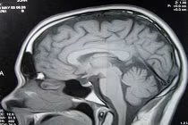
Con người sử dụng hơn 10% bộ não. Thực tế, chúng ta sử dụng toàn bộ bộ não, chỉ là các phần khác nhau của não được sử dụng ở nhiều thời điểm khác nhau.
Con người sử dụng hơn 10% bộ não. Thực tế, chúng ta sử dụng toàn bộ bộ não, chỉ là các phần khác nhau của não được sử dụng ở nhiều thời điểm khác nhau.
Bẻ đốt ngón tay kêu răng rắc không phải là nguyên nhân gây chứng viêm khớp, mà tuổi tác, chấn thương, béo phì và di truyền mới là nguyên nhân.
Bẻ đốt ngón tay kêu răng rắc không phải là nguyên nhân gây chứng viêm khớp, mà tuổi tác, chấn thương, béo phì và di truyền mới là nguyên nhân.
Không phải ai mắc hội chứng Tourette (hội chứng thần kinh) cũng đều hay văng ra những câu chửi thề, mà chỉ chiếm phần rất ít. Những người mắc hội chứng Tourette chỉ có hay có hành động vô ý thức và phát âm tật.
Không phải ai mắc hội chứng Tourette (hội chứng thần kinh) cũng đều hay văng ra những câu chửi thề, mà chỉ chiếm phần rất ít. Những người mắc hội chứng Tourette chỉ có hay có hành động vô ý thức và phát âm tật.
Cạo râu không khiến cho râu mọc nhiều hơn. Đôi khi bạn có cảm giác thô, đó là bởi vì râu vừa bị cạo cùn.
Cạo râu không khiến cho râu mọc nhiều hơn. Đôi khi bạn có cảm giác thô, đó là bởi vì râu vừa bị cạo cùn.
Một đồng xu rơi từ nóc nhà Empire State xuống đầu bạn sẽ không gây tử vong. Tốc độ của đồng xu đạt cực đại với tốc độ 80km/h, không nhanh đủ để giết chết người, mà chỉ hơi đau chút xíu.
Một đồng xu rơi từ nóc nhà Empire State xuống đầu bạn sẽ không gây tử vong. Tốc độ của đồng xu đạt cực đại với tốc độ 80km/h, không nhanh đủ để giết chết người, mà chỉ hơi đau chút xíu.
Bức xạ từ lò vi sóng không gây bệnh ung thư. Chỉ một vài bức xạ có thể gây ra căn bệnh không có thuốc chữa trên, nhưng nó còn phụ thuộc vào liều lượng.
Bức xạ từ lò vi sóng không gây bệnh ung thư. Chỉ một vài bức xạ có thể gây ra căn bệnh không có thuốc chữa trên, nhưng nó còn phụ thuộc vào liều lượng.
Bắc Bán cầu của Trái đất không gần Mặt trời vào mùa hè, nhưng nó nóng hơn vào mùa hè bởi Bắc Bán cầu nghiêng về phía Mặt trời.
Bắc Bán cầu của Trái đất không gần Mặt trời vào mùa hè, nhưng nó nóng hơn vào mùa hè bởi Bắc Bán cầu nghiêng về phía Mặt trời.
Lượng thuốc trừ sâu ở thực phẩm hữu cơ không miễn nhiễm hoàn toàn, nhưng vô cùng thấp, ở cả thực phẩm hữu cơ lẫn vô cơ.
Lượng thuốc trừ sâu ở thực phẩm hữu cơ không miễn nhiễm hoàn toàn, nhưng vô cùng thấp, ở cả thực phẩm hữu cơ lẫn vô cơ.
Cả mèo và chó đều không nhìn thấy thang màu xám, chúng chỉ nhìn thấy màu chuyển giữa xanh biển và xanh lá cây.
Cả mèo và chó đều không nhìn thấy thang màu xám, chúng chỉ nhìn thấy màu chuyển giữa xanh biển và xanh lá cây.

GALLERY MỚI NHẤT

Hàng nghìn người hưởng ứng “Hành động Xanh - Chọn tương lai Xanh”

Hàng nghìn người hưởng ứng “Hành động Xanh - Chọn tương lai Xanh”

Sáng 4/4, hàng nghìn người dân và thanh niên trên khắp cả nước cùng tham gia hoạt động dọn dẹp vệ sinh khu phố và thu gom đồ dùng cũ, hưởng ứng lời kêu gọi “Hành động Xanh - Chọn tương lai Xanh” do Quỹ Vì Tương lai xanh do Tập đoàn Vingroup phát động. Đây là một trong những hoạt động tiêu biểu mở màn cho chuỗi chiến dịch “Thứ 4 Ngày Xanh” được Quỹ triển khai xuyên suốt năm 2026 với thông điệp “Hành động Xanh - Chọn tương lai Xanh”.