![]() |
![]() |
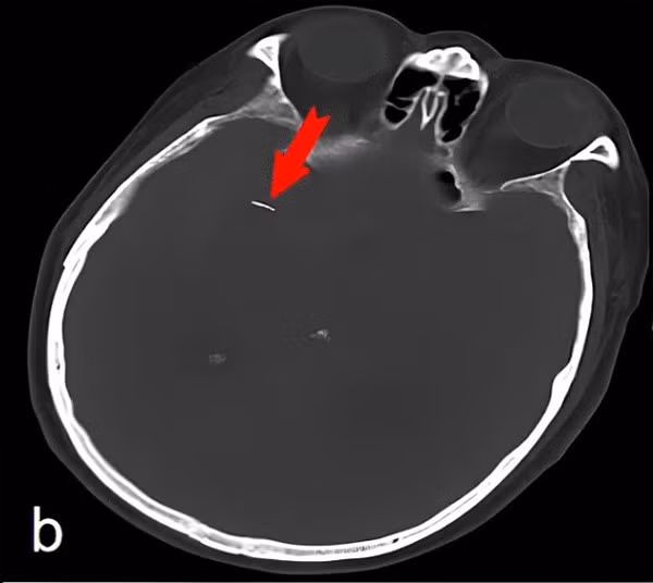
| Dị vật trong não bệnh nhân Trung Quốc. Ảnh: Daily Mail |
![]() |
![]() |
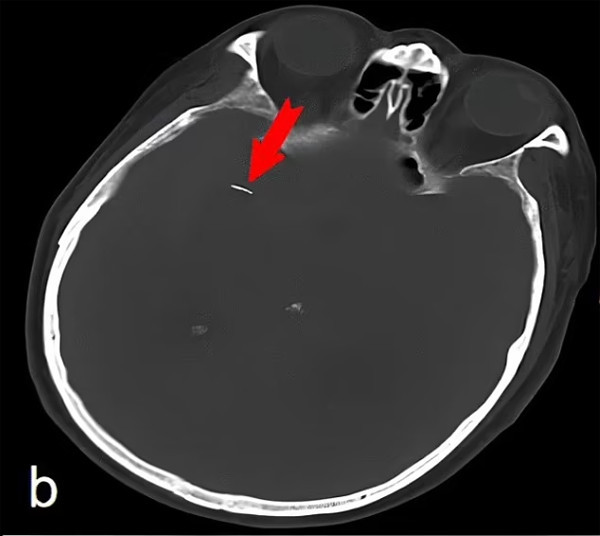
| Dị vật trong não bệnh nhân Trung Quốc. Ảnh: Daily Mail |
Dù là anh chị em nhưng không phải cái gì cũng có thể nói trước được, bởi vì khi còn nhỏ chơi với nhau, nhưng khi lớn lên, mỗi người sẽ có gia đình riêng.
Tôi và Quang sống chung với nhau đến nay là 3 năm, chúng tôi đều là dân tỉnh lẻ lên thành phố kiếm việc làm, quen nhau tại 1 nhà hàng. Quang là phụ bếp, tôi là nhân viên bưng bê, yêu nhau được 3 tháng thì Quang bảo tôi dọn về sống cùng anh để đỡ tốn kém tiền thuê nhà. Tình yêu của chúng tôi rất nhẹ nhàng bình dị. Hôm nào được nghỉ làm thì đưa nhau đi chơi, còn bình thường thì làm việc cùng nhau, tan làm chờ nhau rồi cùng về.
Tính Quang khá tốt, nhiều khi công việc gặp vấn đề, anh bị bếp trưởng mắng mỏ nhiều nhưng anh không bao giờ đem về nhà hay trút giận lên đầu tôi. Tôi có vô ý làm gì khiến anh khó chịu thì anh cũng nói để tôi rút kinh nghiệm chứ không quát tháo ầm ĩ. Ở với Quang 3 năm, tôi không có điều gì phải cằn nhằn phàn nàn về anh cả.
Chỉ có điều với mức lương hiện tại thì việc mua 1 căn nhà ở thành phố là điều quá khó với chúng tôi. Mỗi tháng sau khi trừ chi phí sinh hoạt, tiền thuê nhà, điện nước, rồi còn tiền gửi về quê phụ giúp bố mẹ 2 bên, thì chúng tôi tiết kiệm được 10 triệu. 1 năm chỉ có 120 triệu thì ít nhất phải hơn 10 năm sau mới có nhà cửa của riêng mình.
2 tuần trước tôi phát hiện mình có bầu. Tôi rất lo lắng vì không biết phải làm sao nên giấu Quang, để suy nghĩ kĩ đã rồi mới cho anh biết. Sinh con trong thời điểm hiện tại không ổn chút nào. Huống chi chúng tôi còn chưa cưới xin gì, nhà cửa chưa có. Quê quán 2 đứa thì xa nhau đến 400 cây số nên mọi thứ rất khó khăn.
Thế mà sáng nay khi ngủ dậy, Quang bất ngờ lấy chiếc nhẫn ra cầu hôn tôi ngay trên giường. Anh bảo anh biết chuyện tôi có bầu rồi, anh muốn chúng tôi làm đám cưới để tôi có danh phận mà đàng hoàng sinh con. Anh biết bản thân chưa thể lo cho vợ con cuộc sống tốt hơn nhưng xin tôi cứ ở bên cạnh anh, cùng anh vượt qua những khó khăn trước mắt này.
Tôi rất ngạc nhiên hạnh phúc và đã đồng ý đeo nhẫn và chúng tôi dự tính sẽ tổ chức đám cưới vào tháng sau. Thế nhưng sau đó Quang nói rằng giờ mà ở lại thành phố sinh con thì tôi sẽ rất vất vả. Chúng tôi cũng không thể ở mãi trong căn nhà trọ nhỏ hẹp này được. Anh muốn vài tháng nữa khi bụng tôi to hơn, anh sẽ đưa tôi về quê sống cùng bố mẹ chồng, còn anh ở lại thành phố lo việc kiếm tiền. Hằng tháng anh sẽ về thăm 2 mẹ con.
Tôi không biết có nên nghe theo sự sắp xếp của Quang không? Về quê anh, có lẽ 2 mẹ con tôi sẽ đỡ là gánh nặng cho anh hơn, nhưng tôi chưa từng tiếp xúc với bố mẹ chồng, tôi không biết liệu mình có thể thoải mái không? Với lại, để chồng 1 mình ở lại thành phố thế này, tôi không yên tâm lắm!
Trong những năm gần đây, cộng đồng y tế đã tiến hành nghiên cứu chuyên sâu về tuổi thọ của bệnh nhân tiểu đường và phát hiện ra rằng những bệnh nhân tiểu đường có thể sống trên 80 tuổi thường có một số đặc điểm chung.
Từ trà xanh, nước chanh gừng đến nước ép cần tây, những đồ uống này giúp detox, giảm cân và làm dịu hệ tiêu hóa sau kỳ nghỉ lễ.
Học cách lựa chọn, sơ chế và kết hợp hải sản đúng cách để tránh ngộ độc, đảm bảo sức khỏe khi thưởng thức món ngon từ biển cả.
Sau Tết, nhiều gia đình dư bánh chưng nhưng lo bảo quản khó. Áp dụng 3 cách trữ đơn giản dưới đây giúp bánh để lâu, không mốc, không sượng mà vẫn dẻo ngon.
Thay vì phụ thuộc vào chì kẻ, hãy thử ngay những cách làm lông mày mọc nhanh từ nguyên liệu tự nhiên cực kỳ hiệu quả.
Chỉ với vài bước đơn giản, bưởi có thể trở thành món ăn, thức uống hoặc mứt, giúp bạn tận dụng tối đa trái cây và duy trì chế độ ăn lành mạnh.
Chỉ với nguyên liệu đơn giản, bạn có thể tạo ra món kimbap bánh chưng hấp dẫn, phù hợp cho bữa sáng, dã ngoại.
Rửa rau là bước quen thuộc nhưng nhiều thói quen tưởng sạch lại phản tác dụng, khiến rau mất dinh dưỡng, dễ nhiễm bẩn và tăng nguy cơ tồn dư hóa chất.
Thịt gà có tính ấm, khi kết hợp với cá chép hay tỏi có thể gây khó tiêu, nổi mụn hoặc nóng trong, ảnh hưởng sức khỏe và hương vị món ăn.
Hấp trong 5 phút, để rau nghỉ 10 phút, thêm chất béo lành mạnh giúp tăng khả năng hấp thụ vitamin và nâng cao lợi ích sức khỏe của rau.
Ăn uống thất thường dịp Tết khiến nhiều người tăng cân, đầy bụng. Một số thức uống như trà xanh, nước gừng, cà phê đen giúp hỗ trợ chuyển hóa, giảm tích mỡ.
Ăn uống thất thường dịp Tết khiến nhiều người tăng cân, đầy bụng. Một số thức uống như trà xanh, nước gừng, cà phê đen giúp hỗ trợ chuyển hóa, giảm tích mỡ.
Hấp trong 5 phút, để rau nghỉ 10 phút, thêm chất béo lành mạnh giúp tăng khả năng hấp thụ vitamin và nâng cao lợi ích sức khỏe của rau.
Chỉ với nguyên liệu đơn giản, bạn có thể tạo ra món kimbap bánh chưng hấp dẫn, phù hợp cho bữa sáng, dã ngoại.
Từ trà xanh, nước chanh gừng đến nước ép cần tây, những đồ uống này giúp detox, giảm cân và làm dịu hệ tiêu hóa sau kỳ nghỉ lễ.
Sau Tết, nhiều gia đình dư bánh chưng nhưng lo bảo quản khó. Áp dụng 3 cách trữ đơn giản dưới đây giúp bánh để lâu, không mốc, không sượng mà vẫn dẻo ngon.
Rửa rau là bước quen thuộc nhưng nhiều thói quen tưởng sạch lại phản tác dụng, khiến rau mất dinh dưỡng, dễ nhiễm bẩn và tăng nguy cơ tồn dư hóa chất.
Chỉ với vài bước đơn giản, bưởi có thể trở thành món ăn, thức uống hoặc mứt, giúp bạn tận dụng tối đa trái cây và duy trì chế độ ăn lành mạnh.
Thịt gà có tính ấm, khi kết hợp với cá chép hay tỏi có thể gây khó tiêu, nổi mụn hoặc nóng trong, ảnh hưởng sức khỏe và hương vị món ăn.
Thay vì phụ thuộc vào chì kẻ, hãy thử ngay những cách làm lông mày mọc nhanh từ nguyên liệu tự nhiên cực kỳ hiệu quả.
Học cách lựa chọn, sơ chế và kết hợp hải sản đúng cách để tránh ngộ độc, đảm bảo sức khỏe khi thưởng thức món ngon từ biển cả.
Chỉ với nguyên liệu đơn giản, món lẩu cháo bánh chưng giúp tận dụng bánh thừa, tạo nên món ăn nhẹ nhàng, dinh dưỡng, phù hợp cho bữa sau Tết.
Gan là cơ quan thầm lặng nhưng giữ vai trò giải độc, chuyển hóa quan trọng. Một số loại trái cây quen thuộc có thể hỗ trợ bảo vệ gan và giảm nguy cơ tổn thương.
Rau khoai lang giàu vitamin, hợp chất sinh học giúp chống oxy hóa, kiểm soát đường huyết, bảo vệ gan và hỗ trợ phòng ngừa ung thư.
Gỏi gà là món ăn thanh mát, dễ làm, phù hợp cho bữa cơm gia đình hoặc tụ họp bạn bè. Dưới đây là 3 công thức gỏi gà thơm ngon, chuẩn vị, dễ thực hiện tại nhà.
Một ngày không điện thoại mang đến nhiều thay đổi tích cực cho giấc ngủ, tinh thần và khả năng tập trung.
Ưu tiên thực phẩm giàu carbs phức hợp, vitamin và lợi khuẩn giúp bạn duy trì thể lực, đề kháng tốt và tận hưởng trọn vẹn chuyến đi đầu năm.
Nhịp sống chậm nơi làng quê giúp tâm hồn bình yên, giảm căng thẳng, gắn kết con người và thiên nhiên trong từng khoảnh khắc giản dị.
Lông thú cưng bám vào sofa gây mất thẩm mỹ, ảnh hưởng đến sức khỏe hô hấp. Áp dụng tuyệt chiêu dưới đây để đánh bay chúng chỉ trong "một nốt nhạc".
Nhiều gia đình cho rau vào tủ lạnh ngay sau khi mua nhưng cách này khiến rau nhanh hỏng. Chỉ cần thêm một tờ giấy ăn đúng chỗ, rau có thể giữ độ tươi hàng tuần.
Điều chỉnh thói quen, tạo không khí vui vẻ và đặt ra mục tiêu nhỏ giúp trẻ cảm thấy thoải mái, hào hứng khi trở lại trường sau Tết.