Năng lực vô song của tia sáng kỳ diệu nhất từng được phát minh

Năng lực vô song của tia sáng kỳ diệu nhất từng được phát minh

Là một trong những khám phá quan trọng nhất trong lĩnh vực vật lý, tia X là một công cụ mạnh mẽ giúp chúng ta nhìn xuyên qua những điều mắt thường không thể thấy, từ xương trong cơ thể đến các thiên hà xa xôi.

 1. Tia X được phát hiện tình cờ. Nhà vật lý Wilhelm Röntgen phát hiện ra tia X vào năm 1895 khi ông đang nghiên cứu tia âm cực. Ông gọi nó là "tia X" vì chưa biết rõ bản chất của nó. Ảnh: Pinterest.
1. Tia X được phát hiện tình cờ. Nhà vật lý Wilhelm Röntgen phát hiện ra tia X vào năm 1895 khi ông đang nghiên cứu tia âm cực. Ông gọi nó là "tia X" vì chưa biết rõ bản chất của nó. Ảnh: Pinterest.
 2. Mặt trời và thiên thể vũ trụ phát ra tia X. Tia X không chỉ được tạo ra nhân tạo mà còn xuất hiện trong tự nhiên, đặc biệt từ Mặt Trời, hố đen và các vụ nổ siêu tân tinh. Ảnh: Pinterest.
2. Mặt trời và thiên thể vũ trụ phát ra tia X. Tia X không chỉ được tạo ra nhân tạo mà còn xuất hiện trong tự nhiên, đặc biệt từ Mặt Trời, hố đen và các vụ nổ siêu tân tinh. Ảnh: Pinterest.
 3. Hố đen được phát hiện nhờ tia X. Các nhà thiên văn học phát hiện hố đen bằng cách quan sát bức xạ tia X từ vật chất bị hút vào hố đen. Ảnh: Pinterest.
3. Hố đen được phát hiện nhờ tia X. Các nhà thiên văn học phát hiện hố đen bằng cách quan sát bức xạ tia X từ vật chất bị hút vào hố đen. Ảnh: Pinterest.
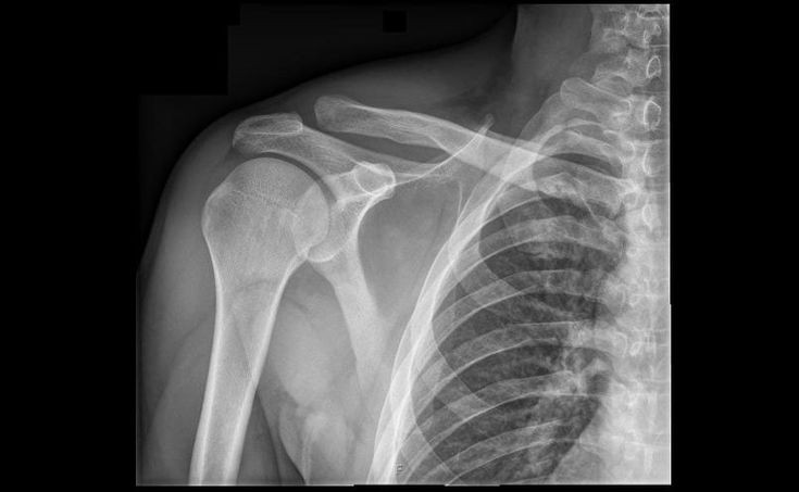
 4. Tia X có thể xuyên qua cơ thể con người. Tia X có bước sóng ngắn và năng lượng cao, cho phép chúng xuyên qua mô mềm nhưng bị xương và kim loại hấp thụ, tạo nên hình ảnh X-quang. Ảnh: Pinterest.
4. Tia X có thể xuyên qua cơ thể con người. Tia X có bước sóng ngắn và năng lượng cao, cho phép chúng xuyên qua mô mềm nhưng bị xương và kim loại hấp thụ, tạo nên hình ảnh X-quang. Ảnh: Pinterest.
 5. Tia X có thể gây hại cho cơ thể. Tiếp xúc quá nhiều với tia X có thể làm hỏng DNA và gây ung thư. Vì vậy, kỹ thuật chụp X-quang hiện đại sử dụng liều lượng thấp để giảm rủi ro. Ảnh: Pinterest.
5. Tia X có thể gây hại cho cơ thể. Tiếp xúc quá nhiều với tia X có thể làm hỏng DNA và gây ung thư. Vì vậy, kỹ thuật chụp X-quang hiện đại sử dụng liều lượng thấp để giảm rủi ro. Ảnh: Pinterest.
 6. Ứng dụng rộng rãi trong y học. Tia X được sử dụng trong chụp X-quang, chụp cắt lớp vi tính (CT scan) và xạ trị để chẩn đoán và điều trị bệnh. Ảnh: Pinterest.
6. Ứng dụng rộng rãi trong y học. Tia X được sử dụng trong chụp X-quang, chụp cắt lớp vi tính (CT scan) và xạ trị để chẩn đoán và điều trị bệnh. Ảnh: Pinterest.
 7. Tia X được dùng trong an ninh sân bay. Máy quét hành lý tại sân bay sử dụng tia X để kiểm tra bên trong vali mà không cần mở ra. Ảnh: Pinterest.
7. Tia X được dùng trong an ninh sân bay. Máy quét hành lý tại sân bay sử dụng tia X để kiểm tra bên trong vali mà không cần mở ra. Ảnh: Pinterest.
 8. Tia X giúp khám phá cấu trúc DNA. Năm 1952, Rosalind Franklin sử dụng nhiễu xạ tia X để chụp ảnh DNA, góp phần vào việc khám phá cấu trúc xoắn kép của nó. Ảnh: Pinterest.
8. Tia X giúp khám phá cấu trúc DNA. Năm 1952, Rosalind Franklin sử dụng nhiễu xạ tia X để chụp ảnh DNA, góp phần vào việc khám phá cấu trúc xoắn kép của nó. Ảnh: Pinterest.
 9. Tia X được sử dụng để phân tích tranh vẽ cổ. Các nhà khoa học sử dụng tia X để kiểm tra các lớp sơn bên dưới tranh cổ, giúp phát hiện tác phẩm bị che giấu hoặc xác minh tính xác thực của tranh. Ảnh: Pinterest.
9. Tia X được sử dụng để phân tích tranh vẽ cổ. Các nhà khoa học sử dụng tia X để kiểm tra các lớp sơn bên dưới tranh cổ, giúp phát hiện tác phẩm bị che giấu hoặc xác minh tính xác thực của tranh. Ảnh: Pinterest.
 10. Máy gia tốc hạt có thể tạo ra tia X cực mạnh. Các phòng thí nghiệm sử dụng máy gia tốc synchrotron để tạo ra tia X cường độ cao nhằm nghiên cứu cấu trúc vật liệu ở cấp độ nguyên tử. Ảnh: Pinterest.
10. Máy gia tốc hạt có thể tạo ra tia X cực mạnh. Các phòng thí nghiệm sử dụng máy gia tốc synchrotron để tạo ra tia X cường độ cao nhằm nghiên cứu cấu trúc vật liệu ở cấp độ nguyên tử. Ảnh: Pinterest.
Mời quý độc giả xem video: Đa dạng ứng dụng của công nghệ blockchain. Nguồn: VTV24.

GALLERY MỚI NHẤT

Amazon sa thải 30.000 nhân viên vì AI

Amazon sa thải 30.000 nhân viên vì AI

Amazon bước vào cuộc tái cấu trúc lớn nhất lịch sử, sa thải 30.000 nhân viên và yêu cầu 80% lập trình viên phải dùng AI mỗi tuần để tăng hiệu suất.